Anti-PURA
Catalog Number:
ATA-HPA035704
| Article Name: |
Anti-PURA |
| Biozol Catalog Number: |
ATA-HPA035704 |
| Supplier Catalog Number: |
HPA035704 |
| Alternative Catalog Number: |
ATA-HPA035704-100,ATA-HPA035704-25 |
| Manufacturer: |
Atlas Antibodies |
| Host: |
Rabbit |
| Category: |
Sonstiges |
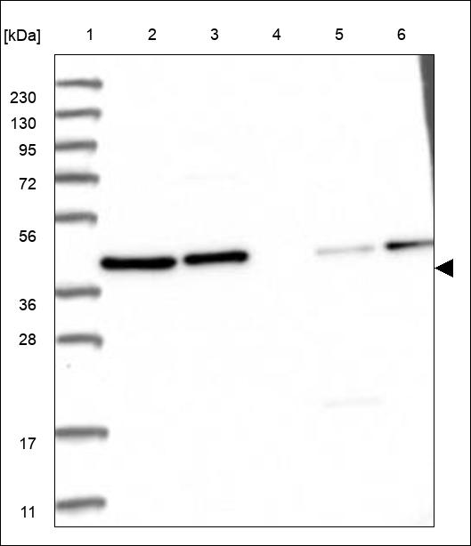
| Application: |
WB |
| Species Reactivity: |
Human |
| Alternative Names: |
PUR-ALPHA, PUR1, PURALPHA |
| Rabbit Polyclonal PURA Antibody against Human purine rich element binding protein A. Validated for Western Blot |
| Clonality: |
Polyclonal |
| Concentration: |
0.1 |
| NCBI: |
5813 |
| UniProt: |
Q00577 |
| Buffer: |
40% glycerol and PBS (pH 7.2). 0.02% sodium azide is added as preservative. |
| Sequence: |
SEVKPTYRNSITVPYKVWAKFGHTFCKYSEEMKKIQEKQREKRAACEQLHQQQQQQQEETAAATLLLQGEEEG |
|
WB Image Caption 1 |