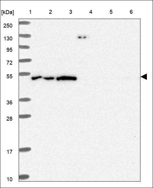
Anti-FBXW9, Rabbit, Polyclonal
Catalog Number:
ATA-HPA051030
| Article Name: |
Anti-FBXW9, Rabbit, Polyclonal |
| Biozol Catalog Number: |
ATA-HPA051030 |
| Supplier Catalog Number: |
HPA051030 |
| Alternative Catalog Number: |
ATA-HPA051030-100 |
| Manufacturer: |
Atlas Antibodies |
| Host: |
Rabbit |
| Category: |
Antikörper |
| Application: |
WB |
| Species Reactivity: |
Human |
| Alternative Names: |
Fbw9, MGC10870 |
| Rabbit Polyclonal FBXW9 Antibody against Human F-box and WD repeat domain containing 9. Validated for Western Blot |
| Clonality: |
Polyclonal |
| Concentration: |
0.05 |
| NCBI: |
84261 |
| UniProt: |
Q5XUX1 |
| Buffer: |
40% glycerol and PBS (pH 7.2). 0.02% sodium azide is added as preservative. |
| Sequence: |
MELPLGRCDDSRTWDDDSDPESETDPDAQAKAYVARVLSPPKSGLAFSRPSQLSTPAASPSASEPRAASRVSAVSEPG |