MPP10 rabbit pAb, Rabbit, Polyclonal

Catalog Number: EBT-ES3809
Article Name: MPP10 rabbit pAb, Rabbit, Polyclonal
Biozol Catalog Number: EBT-ES3809
Supplier Catalog Number: ES3809
Alternative Catalog Number: EBT-ES3809-50, EBT-ES3809-100
Manufacturer: ELK Biotechnology
Host: Rabbit
Category: Antikörper
Application: ELISA, IHC, WB
Species Reactivity: Human, Mouse, Rat
Immunogen: Synthesized peptide derived from MPP10 . at AA range: 60-140
Alternative Names: MPHOSPH10, MPP10, U3 small nucleolar ribonucleoprotein protein MPP10, M phase phosphoprotein 10
This gene encodes a protein that is phosphorylated during mitosis. The protein localizes to the nucleolus during interphase and to the chromosomes during M phase. The protein associates with the U3 small nucleolar ribonucleoprotein 60-80S complexes and may be involved in pre-rRNA processing. [provided by RefSeq, Dec 2010],
Clonality: Polyclonal
Concentration: 1 mg/ml
Molecular Weight: 78kD
NCBI: 10199
UniProt: O00566
Application Dilute: WB 1:500-2000,IHC-p 1:50-300, ELISA 2000-20000
Western Blot analysis of extracts from Jurkat cells, using MPP10 Polyclonal Antibody. Secondary antibody(catalog:RS0002) was diluted at 1:20000 cells nucleus extracted by Minute TM Cytoplasmic and Nuclear Fractionation kit (SC-003,Inventbiotech,MN,USA).
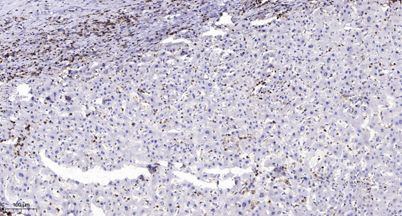
Immunohistochemical analysis of paraffin-embedded human liver cancer. 1, Antibody was diluted at 1:200(4 overnight). 2, Tris-EDTA,pH9.0 was used for antigen retrieval. 3,Secondary antibody was diluted at 1:200(room temperature, 45min).