DEF-3 rabbit pAb, Rabbit, Polyclonal

Catalog Number: EBT-ES4433
Article Name: DEF-3 rabbit pAb, Rabbit, Polyclonal
Biozol Catalog Number: EBT-ES4433
Supplier Catalog Number: ES4433
Alternative Catalog Number: EBT-ES4433-50, EBT-ES4433-100
Manufacturer: ELK Biotechnology
Host: Rabbit
Category: Antikörper
Application: ELISA, IF, IHC, WB
Species Reactivity: Human, Mouse
Immunogen: The antiserum was produced against synthesized peptide derived from human RBM6. AA range:991-1040
Alternative Names: RBM6, DEF3, RNA-binding protein 6, Lung cancer antigen NY-LU-12, Protein G16, RNA-binding motif protein 6, RNA-binding protein DEF-3
disease:Defects in RBM6 are found in non-small cell lung cancer (NSCLC) cell lines.,function:Specifically binds poly(G) RNA homopolymers in vitro.,PTM:Phosphorylated upon DNA damage, probably by ATM or ATR.,similarity:Contains 1 G-patch domain.,similarity:Contains 1 RRM (RNA recognition motif) domain.,tissue specificity:Ubiquitous in adults.,
Clonality: Polyclonal
Concentration: 1 mg/ml
Molecular Weight: 150kD
NCBI: 10180
UniProt: P78332
Application Dilute: Western Blot: 1/500 - 1/2000. Immunohistochemistry: 1/100 - 1/300. Immunofluorescence: 1/200 - 1/1000. ELISA: 1/20000. Not yet tested in other applications.
Immunohistochemical analysis of paraffin-embedded Human brain. Antibody was diluted at 1:100(4 overnight). High-pressure and temperature Tris-EDTA,pH8.0 was used for antigen retrieval. Negetive contrl (right) obtaned from antibody was pre-absorbed by immunogen peptide.
Immunofluorescence analysis of COS7 cells, using RBM6 Antibody. The picture on the right is blocked with the synthesized peptide.
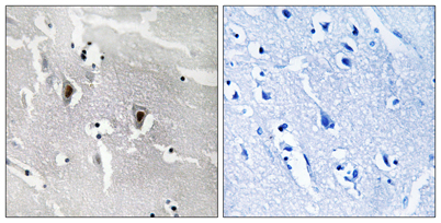
Immunohistochemistry analysis of paraffin-embedded human brain tissue, using RBM6 Antibody. The picture on the right is blocked with the synthesized peptide.
Western blot analysis of lysates from HUVEC cells, using RBM6 Antibody. The lane on the right is blocked with the synthesized peptide.