NTF2 rabbit pAb, Rabbit, Polyclonal

Catalog Number: EBT-ES4440
Article Name: NTF2 rabbit pAb, Rabbit, Polyclonal
Biozol Catalog Number: EBT-ES4440
Supplier Catalog Number: ES4440
Alternative Catalog Number: EBT-ES4440-50, EBT-ES4440-100
Manufacturer: ELK Biotechnology
Host: Rabbit
Category: Antikörper
Application: ELISA, IF, IHC, WB
Species Reactivity: Human, Mouse, Rat
Immunogen: The antiserum was produced against synthesized peptide derived from human NUTF2. AA range:67-116
Alternative Names: NUTF2, NTF2, Nuclear transport factor 2, NTF-2, Placental protein 15, PP15
This gene encodes a cytosolic factor that facilitates protein transport into the nucleus. The encoded protein is required for nuclear import of the small Ras-like GTPase, Ran which is involved in numerous cellular processes. This protein also interacts with the nuclear pore complex glycoprotein p62. [provided by RefSeq, Apr 2016],
Clonality: Polyclonal
Concentration: 1 mg/ml
Molecular Weight: 15kD
NCBI: 10204
UniProt: P61970
Application Dilute: Western Blot: 1/500 - 1/2000. Immunohistochemistry: 1/100 - 1/300. ELISA: 1/20000. Not yet tested in other applications.
Western Blot analysis of HeLa cells using NTF2 Polyclonal Antibody
Western Blot analysis of Hela cells using NTF2 Polyclonal Antibody
Western blot analysis of NUTF2 Antibody. The lane on the right is blocked with the NUTF2 peptide.
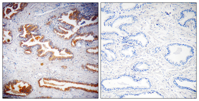
Immunohistochemistryt analysis of paraffin-embedded human prostate, using NUTF2 Antibody. The lane on the right is blocked with the NUTF2 peptide.