PABP3 rabbit pAb, Rabbit, Polyclonal

Catalog Number: EBT-ES6454
Article Name: PABP3 rabbit pAb, Rabbit, Polyclonal
Biozol Catalog Number: EBT-ES6454
Supplier Catalog Number: ES6454
Alternative Catalog Number: EBT-ES6454-50, EBT-ES6454-100
Manufacturer: ELK Biotechnology
Host: Rabbit
Category: Antikörper
Application: ELISA, IF, IHC, WB
Species Reactivity: Human, Mouse, Rat
Immunogen: The antiserum was produced against synthesized peptide derived from human PABPC3. AA range:352-401
Alternative Names: PABPC3, PABP3, PABPL3, Polyadenylate-binding protein 3, PABP-3, Poly(A)-binding protein 3, Testis-specific poly(A)-binding protein
Messenger RNA stability and translation initiation are extensively under the control of poly(A)-binding proteins (PABP). See PABPC1 (MIM 604679) for background information.[supplied by OMIM, Jul 2002],
Clonality: Polyclonal
Concentration: 1 mg/ml
Molecular Weight: 70kD
NCBI: 5042
UniProt: Q9H361
Application Dilute: Western Blot: 1/500 - 1/2000.IHC-p:1:50-300 ELISA: 1/20000. Not yet tested in other applications.
Western Blot analysis of 3T3 cells using PABP3 Polyclonal Antibody
Western blot analysis of PABPC3 Antibody. The lane on the right is blocked with the PABPC3 peptide.
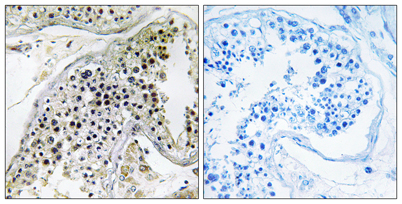
Immunohistochemistryt analysis of paraffin-embedded human testis, using PABPC3 Antibody. The lane on the right is blocked with the PABPC3 peptide.