Carbonyl Reductase 1 rabbit pAb, Rabbit, Polyclonal

Catalog Number: EBT-ES7869
Article Name: Carbonyl Reductase 1 rabbit pAb, Rabbit, Polyclonal
Biozol Catalog Number: EBT-ES7869
Supplier Catalog Number: ES7869
Alternative Catalog Number: EBT-ES7869-50, EBT-ES7869-100
Manufacturer: ELK Biotechnology
Host: Rabbit
Category: Antikörper
Application: ELISA, IF, IHC, WB
Species Reactivity: Human, Mouse, Rat
Immunogen: The antiserum was produced against synthesized peptide derived from human CBR1. AA range:181-230
Alternative Names: CBR1, CBR, CRN, Carbonyl reductase [NADPH] 1, 15-hydroxyprostaglandin dehydrogenase [NADP(+)], NADPH-dependent carbonyl reductase 1, Prostaglandin 9-ketoreductase, Prostaglandin-E(2) 9-reductase
The protein encoded by this gene belongs to the short-chain dehydrogenases/reductases (SDR) family, which function as NADPH-dependent oxidoreductases having wide specificity for carbonyl compounds, such as quinones, prostaglandins, and various xenobiotics. Alternatively spliced transcript variants have been found for this gene. [provided by RefSeq, Nov 2013],
Clonality: Polyclonal
Concentration: 1 mg/ml
Molecular Weight: 32kD
NCBI: 873
UniProt: P16152
Application Dilute: Western Blot: 1/500 - 1/2000. Immunohistochemistry: 1/100 - 1/300. ELISA: 1/40000. Not yet tested in other applications.
Western Blot analysis of 293T HELA using Carbonyl Reductase 1 Polyclonal Antibody. Antibody was diluted at 1:1000
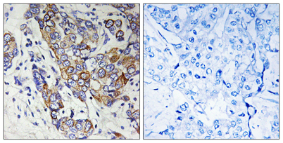
Immunohistochemistry analysis of paraffin-embedded human breast carcinoma tissue, using CBR1 Antibody. The picture on the right is blocked with the synthesized peptide.
Western blot analysis of lysates from HeLa cells, using CBR1 Antibody. The lane on the right is blocked with the synthesized peptide.