ALDH1A2 rabbit pAb, Rabbit, Polyclonal

Catalog Number: EBT-ES7892
Article Name: ALDH1A2 rabbit pAb, Rabbit, Polyclonal
Biozol Catalog Number: EBT-ES7892
Supplier Catalog Number: ES7892
Alternative Catalog Number: EBT-ES7892-50, EBT-ES7892-100
Manufacturer: ELK Biotechnology
Host: Rabbit
Category: Antikörper
Application: ELISA, IF, IHC, WB
Species Reactivity: Human, Mouse, Rat
Immunogen: The antiserum was produced against synthesized peptide derived from human ALDH1A2. AA range:412-461
Alternative Names: ALDH1A2, RALDH2, Retinal dehydrogenase 2, RALDH 2, RalDH2, Aldehyde dehydrogenase family 1 member A2, Retinaldehyde-specific dehydrogenase type 2, RALDH(II)
This protein belongs to the aldehyde dehydrogenase family of proteins. The product of this gene is an enzyme that catalyzes the synthesis of retinoic acid (RA) from retinaldehyde. Retinoic acid, the active derivative of vitamin A (retinol), is a hormonal signaling molecule that functions in developing and adult tissues. The studies of a similar mouse gene suggest that this enzyme and the cytochrome CYP26A1, concurrently establish local embryonic retinoic acid levels which facilitate posterior organ development and prevent spina bifida. Four transcript variants encoding distinct isoforms have been identified for this gene. [provided by RefSeq, May 2011],
Clonality: Polyclonal
Concentration: 1 mg/ml
Molecular Weight: 52kD
NCBI: 8854
UniProt: O94788
Application Dilute: Western Blot: 1/500 - 1/2000.IHC-p:1:50-300 ELISA: 1/20000. Not yet tested in other applications.
Western blot analysis of lysates from K562 cells, using ALDH1A2 Antibody. The lane on the right is blocked with the synthesized peptide.
Western blot analysis of the lysates from COLO205 cells using ALDH1A2 antibody.
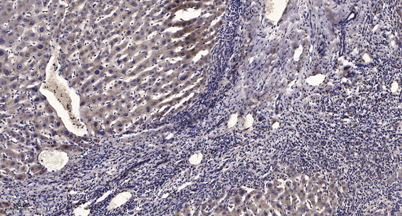
Immunohistochemical analysis of paraffin-embedded human liver cancer. 1, Antibody was diluted at 1:200(4 overnight). 2, Tris-EDTA,pH9.0 was used for antigen retrieval. 3,Secondary antibody was diluted at 1:200(room temperature, 45min).