MAPKAPK-2 (phospho Thr334) rabbit pAb, Rabbit, Polyclonal

Catalog Number: EBT-ES8003
Article Name: MAPKAPK-2 (phospho Thr334) rabbit pAb, Rabbit, Polyclonal
Biozol Catalog Number: EBT-ES8003
Supplier Catalog Number: ES8003
Alternative Catalog Number: EBT-ES8003-50, EBT-ES8003-100
Manufacturer: ELK Biotechnology
Host: Rabbit
Category: Antikörper
Application: ELISA, IF, IHC, WB
Species Reactivity: Human, Mouse, Rat
Immunogen: The antiserum was produced against synthesized peptide derived from human MAPKAPK2 around the phosphorylation site of Thr334. AA range:300-349
Alternative Names: MAPKAPK2, MAP kinase-activated protein kinase 2, MAPK-activated protein kinase 2, MAPKAP kinase 2, MAPKAP-K2, MAPKAPK-2, MK-2, MK2
This gene encodes a member of the Ser/Thr protein kinase family. This kinase is regulated through direct phosphorylation by p38 MAP kinase. In conjunction with p38 MAP kinase, this kinase is known to be involved in many cellular processes including stress and inflammatory responses, nuclear export, gene expression regulation and cell proliferation. Heat shock protein HSP27 was shown to be one of the substrates of this kinase in vivo. Two transcript variants encoding two different isoforms have been found for this gene. [provided by RefSeq, Jul 2008],
Clonality: Polyclonal
Concentration: 1 mg/ml
Molecular Weight: 49kD
NCBI: 9261
UniProt: P49137
Application Dilute: Western Blot: 1/500 - 1/2000. Immunohistochemistry: 1/100 - 1/300. ELISA: 1/20000. Not yet tested in other applications.
Immunohistochemical analysis of paraffin-embedded Human breast cancer. Antibody was diluted at 1:100(4 overnight). High-pressure and temperature Tris-EDTA,pH8.0 was used for antigen retrieval. Negetive contrl (right) obtaned from antibody was pre-absorbed by immunogen peptide.
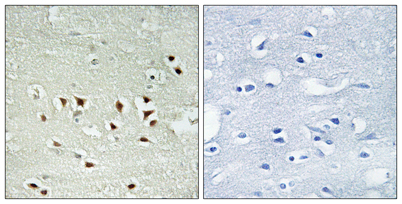
Immunohistochemistry analysis of paraffin-embedded human brain, using MAPKAPK2 (Phospho-Thr334) Antibody. The picture on the right is blocked with the phospho peptide.
Western blot analysis of lysates from NIH/3T3 cells, using MAPKAPK2 (Phospho-Thr334) Antibody. The lane on the right is blocked with the phospho peptide.