CPI-17 rabbit pAb, Rabbit, Polyclonal

Catalog Number: EBT-ES8044
Article Name: CPI-17 rabbit pAb, Rabbit, Polyclonal
Biozol Catalog Number: EBT-ES8044
Supplier Catalog Number: ES8044
Alternative Catalog Number: EBT-ES8044-50, EBT-ES8044-100
Manufacturer: ELK Biotechnology
Host: Rabbit
Category: Antikörper
Application: ELISA, IF, IHC, WB
Species Reactivity: Human, Mouse, Rat
Immunogen: The antiserum was produced against synthesized peptide derived from human CPI17 alpha. AA range:5-54
Alternative Names: PPP1R14A, CPI17, PPP1INL, Protein phosphatase 1 regulatory subunit 14A, 17 kDa PKC-potentiated inhibitory protein of PP1, Protein kinase C-potentiated inhibitor protein of 17 kDa, CPI-17
The protein encoded by this gene belongs to the protein phosphatase 1 (PP1) inhibitor family. This protein is an inhibitor of smooth muscle myosin phosphatase, and has higher inhibitory activity when phosphorylated. Inhibition of myosin phosphatase leads to increased myosin phosphorylation and enhanced smooth muscle contraction. Alternatively spliced transcript variants encoding different isoforms have been noted for this gene. [provided by RefSeq, Sep 2011],
Clonality: Polyclonal
Concentration: 1 mg/ml
Molecular Weight: 22kD
NCBI: 94274
UniProt: Q96A00
Application Dilute: Western Blot: 1/500 - 1/2000. Immunohistochemistry: 1/100 - 1/300. Immunofluorescence: 1/200 - 1/1000. ELISA: 1/20000. Not yet tested in other applications.
Immunofluorescence analysis of HeLa cells, using CPI17 alpha Antibody. The picture on the right is blocked with the synthesized peptide.
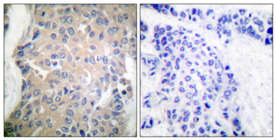
Immunohistochemistry analysis of paraffin-embedded human breast carcinoma tissue, using CPI17 alpha Antibody. The picture on the right is blocked with the synthesized peptide.
Western blot analysis of lysates from HT-29 cells, using CPI17 alpha Antibody. The lane on the right is blocked with the synthesized peptide.