SCAMP1 rabbit pAb, Rabbit, Polyclonal

Catalog Number: EBT-ES8050
Article Name: SCAMP1 rabbit pAb, Rabbit, Polyclonal
Biozol Catalog Number: EBT-ES8050
Supplier Catalog Number: ES8050
Alternative Catalog Number: EBT-ES8050-50, EBT-ES8050-100
Manufacturer: ELK Biotechnology
Host: Rabbit
Category: Antikörper
Application: IHC, WB
Species Reactivity: Human, Mouse, Rat
Immunogen: The antiserum was produced against synthesized peptide derived from human SCAMP1. AA range:273-322
Alternative Names: SCAMP1, SCAMP, Secretory carrier-associated membrane protein 1, Secretory carrier membrane protein 1
This gene product belongs to the SCAMP family of proteins, which are secretory carrier membrane proteins. They function as carriers to the cell surface in post-golgi recycling pathways. Different family members are highly related products of distinct genes, and are usually expressed together. These findings suggest that these protein family members may function at the same site during vesicular transport rather than in separate pathways. A pseudogene of this gene has been defined on chromosome 1. Alternative splicing results in multiple transcript variants. [provided by RefSeq, Mar 2014],
Clonality: Polyclonal
Concentration: 1 mg/ml
Molecular Weight: 32kD
NCBI: 9522
UniProt: O15126
Application Dilute: WB 1:500-2000,IHC-p 1:50-300
Western blot analysis of lysates from NIH/3T3 cells, using SCAMP1 Antibody. The lane on the right is blocked with the synthesized peptide.
Western blot analysis of the lysates from HeLa cells using SCAMP1 antibody.
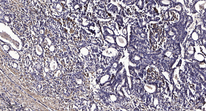
Immunohistochemical analysis of paraffin-embedded human Gastric adenocarcinoma. 1, Antibody was diluted at 1:200(4 overnight). 2, Tris-EDTA,pH9.0 was used for antigen retrieval. 3,Secondary antibody was diluted at 1:200(room temperature, 45min).