p130 Cas (phospho Tyr410) rabbit pAb, Rabbit, Polyclonal

Catalog Number: EBT-ES8060
Article Name: p130 Cas (phospho Tyr410) rabbit pAb, Rabbit, Polyclonal
Biozol Catalog Number: EBT-ES8060
Supplier Catalog Number: ES8060
Alternative Catalog Number: EBT-ES8060-50, EBT-ES8060-100
Manufacturer: ELK Biotechnology
Host: Rabbit
Category: Antikörper
Application: ELISA, IF, IHC, WB
Species Reactivity: Human, Mouse, Rat
Immunogen: The antiserum was produced against synthesized peptide derived from human p130 Cas around the phosphorylation site of Tyr410. AA range:376-425
Alternative Names: BCAR1, CAS, CASS1, CRKAS, Breast cancer anti-estrogen resistance protein 1, CRK-associated substrate, Cas scaffolding protein family member 1, p130cas
BCAR1, or CAS, is an Src (MIM 190090) family kinase substrate involved in various cellular events, including migration, survival, transformation, and invasion (Sawada et al., 2006 [PubMed 17129785]).[supplied by OMIM, May 2009],
Clonality: Polyclonal
Concentration: 1 mg/ml
Molecular Weight: 130kD
NCBI: 9564
UniProt: P56945
Application Dilute: Western Blot: 1/500 - 1/2000. Immunohistochemistry: 1/100 - 1/300. ELISA: 1/5000. Not yet tested in other applications.
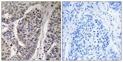
Immunohistochemical analysis of paraffin-embedded Human breast cancer. Antibody was diluted at 1:100(4 overnight). High-pressure and temperature Tris-EDTA,pH8.0 was used for antigen retrieval. Negetive contrl (right) obtaned from antibody was pre-absorbed by immunogen peptide.
Immunohistochemistry analysis of paraffin-embedded human breast carcinoma, using p130 Cas (Phospho-Tyr410) Antibody. The picture on the right is blocked with the phospho peptide.
Western blot analysis of lysates from NIH/3T3 cells, using p130 Cas (Phospho-Tyr410) Antibody. The lane on the right is blocked with the phospho peptide.