p130 Cas (phospho Tyr165) rabbit pAb, Rabbit, Polyclonal

Catalog Number: EBT-ES8061
Article Name: p130 Cas (phospho Tyr165) rabbit pAb, Rabbit, Polyclonal
Biozol Catalog Number: EBT-ES8061
Supplier Catalog Number: ES8061
Alternative Catalog Number: EBT-ES8061-50, EBT-ES8061-100
Manufacturer: ELK Biotechnology
Host: Rabbit
Category: Antikörper
Application: ELISA, IF, IHC, WB
Species Reactivity: Human, Mouse, Rat
Immunogen: The antiserum was produced against synthesized peptide derived from human p130 Cas around the phosphorylation site of Tyr165. AA range:131-180
Alternative Names: BCAR1, CAS, CASS1, CRKAS, Breast cancer anti-estrogen resistance protein 1, CRK-associated substrate, Cas scaffolding protein family member 1, p130cas
BCAR1, or CAS, is an Src (MIM 190090) family kinase substrate involved in various cellular events, including migration, survival, transformation, and invasion (Sawada et al., 2006 [PubMed 17129785]).[supplied by OMIM, May 2009],
Clonality: Polyclonal
Concentration: 1 mg/ml
Molecular Weight: 130kD
NCBI: 9564
UniProt: P56945
Application Dilute: Western Blot: 1/500 - 1/2000. Immunohistochemistry: 1/100 - 1/300. ELISA: 1/5000. Not yet tested in other applications.
Enzyme-Linked Immunosorbent Assay (Phospho-ELISA) for Immunogen Phosphopeptide (Phospho-left) and Non-Phosphopeptide (Phospho-right), using p130 Cas (Phospho-Tyr165) Antibody
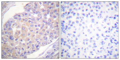
Immunohistochemistry analysis of paraffin-embedded human breast carcinoma, using p130 Cas (Phospho-Tyr165) Antibody. The picture on the right is blocked with the phospho peptide.
Western blot analysis of lysates from HepG2 cells treated with EGF 200ng/ml 30, using p130 Cas (Phospho-Tyr165) Antibody. The lane on the right is blocked with the phospho peptide.