Gab 2 (phospho Ser159) rabbit pAb, Rabbit, Polyclonal

Catalog Number: EBT-ES8107
Article Name: Gab 2 (phospho Ser159) rabbit pAb, Rabbit, Polyclonal
Biozol Catalog Number: EBT-ES8107
Supplier Catalog Number: ES8107
Alternative Catalog Number: EBT-ES8107-50, EBT-ES8107-100
Manufacturer: ELK Biotechnology
Host: Rabbit
Category: Antikörper
Application: ELISA, IF, IHC, WB
Species Reactivity: Human, Mouse, Rat
Immunogen: The antiserum was produced against synthesized peptide derived from human GRB2 around the phosphorylation site of Ser159. AA range:125-174
Alternative Names: GAB2, KIAA0571, GRB2-associated-binding protein 2, GRB2-associated binder 2, Growth factor receptor bound protein 2-associated protein 2, pp100
GRB2 associated binding protein 2(GAB2) Homo sapiens This gene is a member of the GRB2-associated binding protein (GAB) gene family. These proteins contain pleckstrin homology (PH) domain, and bind SHP2 tyrosine phosphatase and GRB2 adapter protein. They act as adapters for transmitting various signals in response to stimuli through cytokine and growth factor receptors, and T- and B-cell antigen receptors. The protein encoded by this gene is the principal activator of phosphatidylinositol-3 kinase in response to activation of the high affinity IgE receptor. Two alternatively spliced transcripts encoding different isoforms have been described for this gene. [provided by RefSeq, Nov 2009],
Clonality: Polyclonal
Concentration: 1 mg/ml
Molecular Weight: 100kD
NCBI: 9846
UniProt: Q9UQC2
Application Dilute: Western Blot: 1/500 - 1/2000. Immunohistochemistry: 1/100 - 1/300. ELISA: 1/40000. Not yet tested in other applications.
Enzyme-Linked Immunosorbent Assay (Phospho-ELISA) for Immunogen Phosphopeptide (Phospho-left) and Non-Phosphopeptide (Phospho-right), using GRB2 (Phospho-Ser159) Antibody
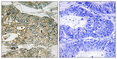
Immunohistochemistry analysis of paraffin-embedded human colon carcinoma, using GRB2 (Phospho-Ser159) Antibody. The picture on the right is blocked with the phospho peptide.
Western blot analysis of lysates from HT29 cells treated with serum 20% 15, using GRB2 (Phospho-Ser159) Antibody. The lane on the right is blocked with the phospho peptide.