ADAMTS-18 rabbit pAb, Rabbit, Polyclonal

Catalog Number: EBT-ES8418
Article Name: ADAMTS-18 rabbit pAb, Rabbit, Polyclonal
Biozol Catalog Number: EBT-ES8418
Supplier Catalog Number: ES8418
Alternative Catalog Number: EBT-ES8418-50, EBT-ES8418-100
Manufacturer: ELK Biotechnology
Host: Rabbit
Category: Antikörper
Application: ELISA, IF, IHC, WB
Species Reactivity: Human, Mouse
Immunogen: Synthesized peptide derived from ADAMTS-18 . at AA range: 1030-1110
Alternative Names: ADAMTS18, ADAMTS21, A disintegrin and metalloproteinase with thrombospondin motifs 18, ADAM-TS 18, ADAM-TS18, ADAMTS-18
This gene encodes a member of the ADAMTS (a disintegrin and metalloproteinase with thrombospondin motifs) protein family. ADAMTS family members share several distinct protein modules, including a propeptide region, a metalloproteinase domain, a disintegrin-like domain, and a thrombospondin type 1 (TS) motif. Individual members of this family differ in the number of C-terminal TS motifs, and some have unique C-terminal domains. The encoded preproprotein is proteolytically processed to generate the mature protein, which may regulate hemostatic balance and function as a tumor suppressor. Mutations in this gene may be associated with microcornea, myopic chorioretinal atrophy, and telecanthus (MMCAT) and cone-rod dystrophy in human patients. [provided by RefSeq, May 2016],
Clonality: Polyclonal
Concentration: 1 mg/ml
Molecular Weight: 135kD
NCBI: 170692
UniProt: Q8TE60
Application Dilute: Western Blot: 1/500 - 1/2000. IHC-p: 1:100-1:300. ELISA: 1/10000. Not yet tested in other applications.
Western blot analysis of 3T3 using ADAMTS-18 antibody. Secondary antibody(catalog:RS0002) was diluted at 1:20000
Immunohistochemical analysis of paraffin-embedded human-brain, antibody was diluted at 1:200
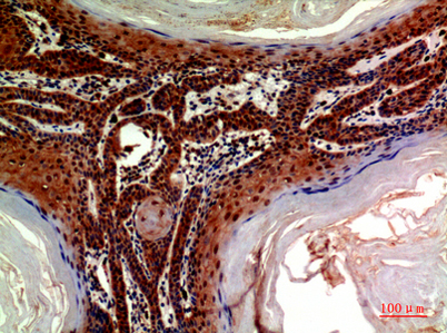
Immunohistochemical analysis of paraffin-embedded human-skin, antibody was diluted at 1:200