DC-LAMP rabbit pAb, Rabbit, Polyclonal

Catalog Number: EBT-ES8699
Article Name: DC-LAMP rabbit pAb, Rabbit, Polyclonal
Biozol Catalog Number: EBT-ES8699
Supplier Catalog Number: ES8699
Alternative Catalog Number: EBT-ES8699-50, EBT-ES8699-100
Manufacturer: ELK Biotechnology
Host: Rabbit
Category: Antikörper
Application: ELISA, IF, IHC, WB
Species Reactivity: Human, Mouse, Rat
Immunogen: Synthetic peptide from human protein at AA range: 261-310
Alternative Names: Lysosome-associated membrane glycoprotein 3 (LAMP-3,Lysosomal-associated membrane protein 3,DC-lysosome-associated membrane glycoprotein,DC LAMP,Protein TSC403,CD antigen CD208)
Dendritic cells (DCs) are the most potent antigen-presenting cells. Immature DCs efficiently capture antigens and differentiate into interdigitating dendritic cells (IDCs) in lymphoid tissues that induce primary T-cell responses (summary by de Saint-Vis et al., 1998 [PubMed 9768752]).[supplied by OMIM, Dec 2010],
Clonality: Polyclonal
Concentration: 1 mg/ml
Molecular Weight: 44kD
NCBI: 27074
UniProt: Q9UQV4
Application Dilute: WB 1:500-2000,IHC-p 1:500-200, ELISA 1:10000-20000
Western blot analysis of mouse-lung mouse-heart 293T Hela 3T3 lysate, antibody was diluted at 500. Secondary antibody(catalog:RS0002) was diluted at 1:20000
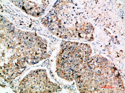
Immunohistochemical analysis of paraffin-embedded human-lung-cancer, antibody was diluted at 1:200
Immunohistochemical analysis of paraffin-embedded human-lung-cancer, antibody was diluted at 1:200