EGFR Mouse Monoclonal Antibody [7-F2-F8], IgG2b, Unconjugated

Catalog Number: HBO-EM1901-67
Article Name: EGFR Mouse Monoclonal Antibody [7-F2-F8], IgG2b, Unconjugated
Biozol Catalog Number: HBO-EM1901-67
Supplier Catalog Number: EM1901-67
Alternative Catalog Number: HBO-EM1901-67
Manufacturer: HUABIO
Host: Mouse
Category: Antikörper
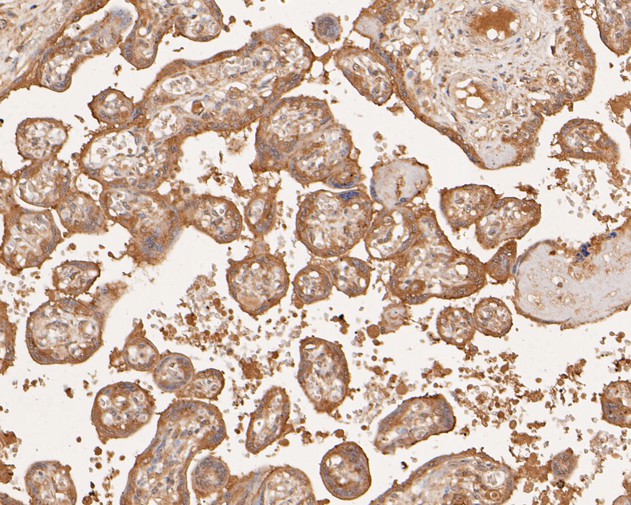
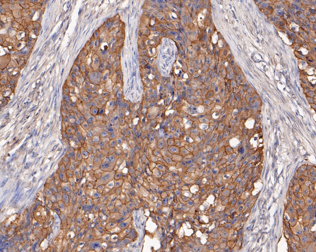
Application: FC, IHC-P, WB
Species Reactivity: Human
Immunogen: Recombinant protein within human EGFR aa 900-1150.
Conjugation: Unconjugated
Alternative Names: Avian erythroblastic leukemia viral (v erb b) oncogene homolog antibody Cell growth inhibiting protein 40 antibody Cell proliferation inducing protein 61 antibody EGF R antibody EGFR antibody EGFR_HUMAN antibody Epidermal growth factor receptor (avian er
The EGF receptor family comprises several related receptor tyrosine kinases that are frequently overexpressed in a variety of carcinomas. Members of this receptor family include EGFR (HER1), Neu (ErbB-2, HER2), ErbB-3 (HER3) and ErbB-4 (HER4), which form
Clonality: Monoclonal
Concentration: 2 mg/mL.
Clone Designation: [7-F2-F8]
Molecular Weight: Predicted band size: 134 kDa
Isotype: IgG2b
UniProt: P00533
Buffer: 1*PBS (pH7.4), 0.2% BSA, 50% Glycerol. Preservative: 0.05% Sodium Azide.
Purity: Protein A affinity purified.
Form: Liquid
Target: EGFR
Antibody Type: Primary Antibody
Application Dilute: WB: 1:2,000 ,IHC-P: 1:50-1:200 ,FC: 1:1,000