Annexin A3 Mouse Monoclonal Antibody [A1F7], IgG1, Unconjugated
Catalog Number:
HBO-EM1901-73
Product Overview
Article Name:
Annexin A3 Mouse Monoclonal Antibody [A1F7], IgG1, Unconjugated
Biozol Catalog Number:
HBO-EM1901-73
Supplier Catalog Number:
EM1901-73
Alternative Catalog Number:
HBO-EM1901-73
Manufacturer:
HUABIO
Host:
Mouse
Category:
Antikörper
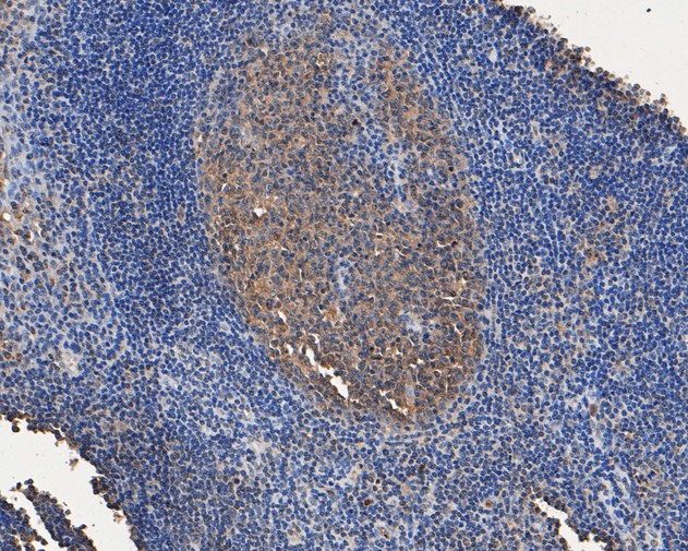
Application:
FC, IF, IHC-P, WB
Species Reactivity:
Human, Mouse, Rat
Immunogen:
Recombinant protein within Human Annexin A3 aa 1-323 / 323.
Conjugation:
Unconjugated
Alternative Names:
2-cyclic phosphate 2-phosphohydrolase antibody 35-alpha calcimedin antibody Annexin A3 antibody Annexin III antibody Annexin-3 antibody ANX3 antibody ANXA 3 antibody Anxa3 antibody ANXA3_HUMAN antibody Calcimedin 35 alpha antibody Inositol 1 2 cyclic pho
Product Description
Annexin A3 is a protein that in humans is encoded by the ANXA3 gene. It is abnormally expressed in fetuses of both IVF and ICSI, which may contribute to the increase risk of birth defects in these ART. This gene encodes a member of the annexin family. Me
Product Properties
Clonality:
Monoclonal
Concentration:
2 mg/mL.
Clone Designation:
[A1F7]
Molecular Weight:
Predicted band size: 36 kDa
Isotype:
IgG1
UniProt:
P12429
Buffer:
1*PBS (pH7.4), 0.2% BSA, 50% Glycerol. Preservative: 0.05% Sodium Azide.
Purity:
Protein G affinity purified.
Form:
Liquid
Target:
ANXA3
Antibody Type:
Primary Antibody
Application Notes
Application Dilute:
WB: 1:2,000 ,IF-Cell:1:50-1:100 ,IHC-P:1:50-1:500 ,FC:1:50-1:100