ACY1 Mouse Monoclonal Antibody [15G2], IgG2a, Unconjugated

Catalog Number: HBO-EM1901-86
Article Name: ACY1 Mouse Monoclonal Antibody [15G2], IgG2a, Unconjugated
Biozol Catalog Number: HBO-EM1901-86
Supplier Catalog Number: EM1901-86
Alternative Catalog Number: HBO-EM1901-86
Manufacturer: HUABIO
Host: Mouse
Category: Antikörper
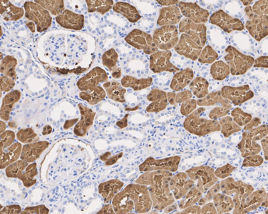
Application: FC, IHC-P, WB
Species Reactivity: Human, Mouse, Rat
Immunogen: Recombinant protein within Human ACY1 aa 55-256 / 408.
Conjugation: Unconjugated
Alternative Names: ACY 1 antibody ACY-1 antibody Acy1 antibody ACY1_HUMAN antibody ACY1D antibody ACYLASE antibody Acylase I antibody Aminoacylase 1 antibody Aminoacylase-1 antibody EC 3.5.1.14 antibody epididymis secretory protein Li 5 antibody HEL-S-5 antibody N acyl L a
Aminoacylase is involved in the regulation of the urea cycle. N-acetyl-L-glutamate is an allosteric activator of carbamoyl phosphate synthetase, a crucial enzyme that commits NH4+ molecules to the urea cycle. The urea cycle gets rid of excess ammonia (NH
Clonality: Monoclonal
Concentration: 2 mg/ml.
Clone Designation: [15G2]
Molecular Weight: Predicted band size: 46 kDa
Isotype: IgG2a
UniProt: Q03154
Buffer: 1*PBS (pH7.4), 0.2% BSA, 50% Glycerol. Preservative: 0.05% Sodium Azide.
Purity: Protein A affinity purified.
Form: Liquid
Target: ACY-1,Aminoacylase-1,N-acyl-L-amino-acid amidohydrolase,ACY1
Antibody Type: Primary Antibody
Application Dilute: WB: 1:500-1:1,000 ,IHC-P: 1:2,000 ,FC: 1:50-1:100