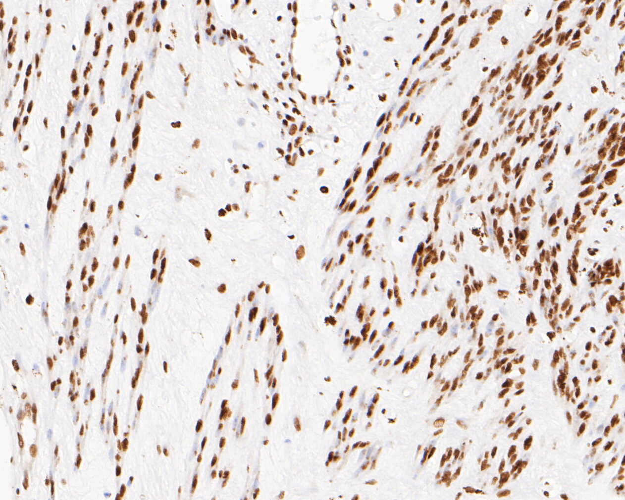
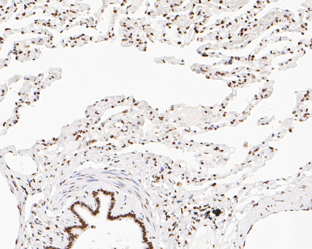
NuMA Mouse Monoclonal Antibody [A3A2], IgG1, Unconjugated

Catalog Number: HBO-EM1902-16
Article Name: NuMA Mouse Monoclonal Antibody [A3A2], IgG1, Unconjugated
Biozol Catalog Number: HBO-EM1902-16
Supplier Catalog Number: EM1902-16
Alternative Catalog Number: HBO-EM1902-16
Manufacturer: HUABIO
Host: Mouse
Category: Antikörper
Application: FC, IF, IHC-P, WB
Species Reactivity: Human
Immunogen: Recombinant protein within Human NuMA aa 1-200 / 2,115.
Conjugation: Unconjugated
Alternative Names: Centrophilin stabilizes mitotic spindle in mitotic cells antibody NMP 22 antibody Nuclear matrix protein 22 antibody Nuclear mitotic apparatus protein 1 antibody Nuclear mitotic apparatus protein antibody NUMA 1 antibody NUMA antibody NuMA protein antibo
Microtubule (MT)-binding protein that plays a role in the formation and maintenance of the spindle poles and the alignement and the segregation of chromosomes during mitotic cell division. Functions to tether the minus ends of MTs at the spindle poles, w
Clonality: Monoclonal
Concentration: 2 mg/mL.
Clone Designation: [A3A2]
Molecular Weight: Predicted band size: 238 kDa kDa
Isotype: IgG1
UniProt: Q14980
Buffer: 1*PBS (pH7.4), 0.2% BSA, 50% Glycerol. Preservative: 0.05% Sodium Azide.
Purity: Protein G affinity purified.
Form: Liquid
Target: Nuclear mitotic apparatus protein 1 Nuclear matrix protein-22 Nuclear mitotic apparatus protein SP-H antigen NUMA1 NMP22 NUMA
Antibody Type: Primary Antibody
Application Dilute: WB:1:500-1:2,000 ,IF-Cell:1:50-1:100 ,IHC-P:1:500-1:2,000 ,FC:1:50-1:100