DAP Kinase 1 Mouse Monoclonal Antibody [12B1], IgG1, Unconjugated
Catalog Number:
HBO-EM1902-25
Product Overview
Article Name:
DAP Kinase 1 Mouse Monoclonal Antibody [12B1], IgG1, Unconjugated
Biozol Catalog Number:
HBO-EM1902-25
Supplier Catalog Number:
EM1902-25
Alternative Catalog Number:
HBO-EM1902-25
Manufacturer:
HUABIO
Host:
Mouse
Category:
Antikörper
Application:
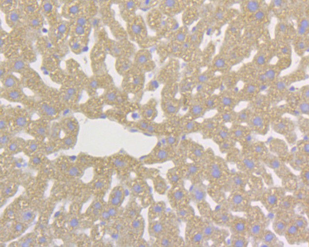
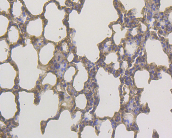
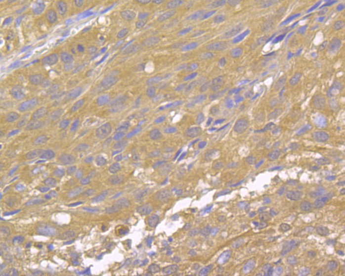
IF, IHC-P, WB
Species Reactivity:
Human, Mouse, Rat
Immunogen:
Recombinant protein within Human DAPK1 aa 447-683 / 1,430.
Conjugation:
Unconjugated
Alternative Names:
DAK1 antibody DAP K1 antibody DAP kinase 1 antibody DAPK 1 antibody DAPK antibody DAPK1 antibody DAPK1_HUMAN antibody Death Associated Protein Kinase 1 antibody Death-associated protein kinase 1 antibody DKFZp781I035 antibody
Product Description
Calcium/calmodulin-dependent serine/threonine kinase involved in multiple cellular signaling pathways that trigger cell survival, apoptosis, and autophagy. Regulates both type I apoptotic and type II autophagic cell deaths signal, depending on the cellul
Product Properties
Clonality:
Monoclonal
Concentration:
2mg/ml.
Clone Designation:
[12B1]
Molecular Weight:
Predicted band size: 160 kDa
Isotype:
IgG1
UniProt:
P53355
Buffer:
1*PBS (pH7.4), 0.2% BSA, 50% Glycerol. Preservative: 0.05% Sodium Azide.
Purity:
Protein A affinity purified.
Form:
Liquid
Target:
DAP kinase 1,DAPK1,Death-associated protein kinase 1
Antibody Type:
Primary Antibody
Application Notes
Application Dilute:
WB: 1:500-1:2,000 ,IHC-P: 1:50-1:200 ,IF-Cell: 1:50-1:100