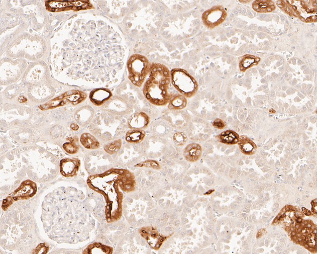
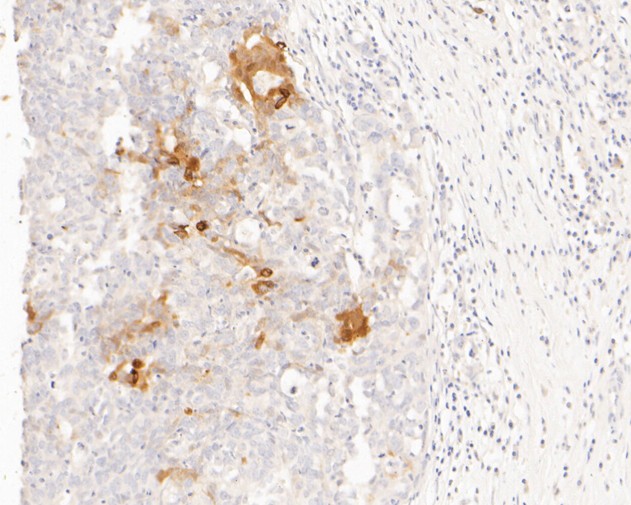
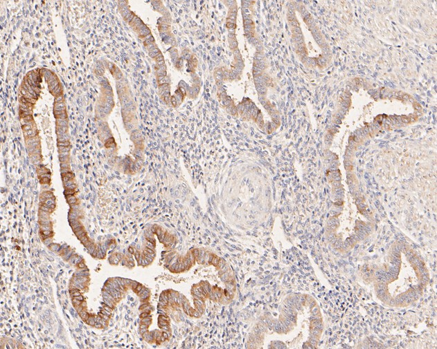
MUC1 Mouse Monoclonal Antibody [A4D9], IgG1, Unconjugated

Catalog Number: HBO-EM1902-32
Article Name: MUC1 Mouse Monoclonal Antibody [A4D9], IgG1, Unconjugated
Biozol Catalog Number: HBO-EM1902-32
Supplier Catalog Number: EM1902-32
Alternative Catalog Number: HBO-EM1902-32
Manufacturer: HUABIO
Host: Mouse
Category: Antikörper
Application: FC, IF, IHC-P
Species Reactivity: Human
Immunogen: Synthetic peptide of core peptide domain of human MUC1.
Conjugation: Unconjugated
Alternative Names: ADMCKD antibody ADMCKD1 antibody Breast carcinoma associated antigen DF3 antibody Breast carcinoma-associated antigen DF3 antibody CA 15-3 antibody CA15 3 antibody CA15 3 antigen antibody CA15-3 antibody CA15.3 antibody Cancer antigen 15-3 antibody Carci
This gene encodes a membrane-bound protein that is a member of the mucin family. Mucins are O-glycosylated proteins that play an essential role in forming protective mucous barriers on epithelial surfaces. These proteins also play a role in intracellular
Clonality: Monoclonal
Concentration: 2 mg/mL.
Clone Designation: [A4D9]
Molecular Weight: Predicted band size 122 kDa.
Isotype: IgG1
UniProt: P15941
Buffer: 1*PBS (pH7.4), 0.2% BSA, 50% Glycerol. Preservative: 0.05% Sodium Azide.
Purity: Protein G affinity purified.
Form: Liquid
Target: MUC1
Antibody Type: Primary Antibody
Application Dilute: IHC-P: 1:50-1:500 ,FC: 1:50-1:100 ,IF-Cell: 1:500