ERK2 Rabbit Polyclonal Antibody, Unconjugated
Catalog Number:
HBO-ER131218
Product Overview
Article Name:
ERK2 Rabbit Polyclonal Antibody, Unconjugated
Biozol Catalog Number:
HBO-ER131218
Supplier Catalog Number:
ER131218
Alternative Catalog Number:
HBO-ER131218
Manufacturer:
HUABIO
Host:
Rabbit
Category:
Antikörper
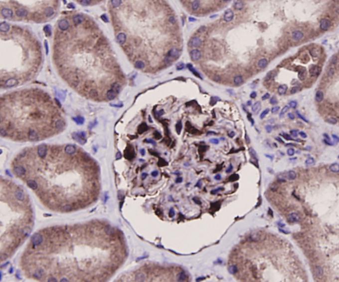
Application:
FC, IF, IHC-P, WB
Species Reactivity:
Human, Mouse, Rat
Immunogen:
Synthetic peptide within C-terminal human ERK2.
Conjugation:
Unconjugated
Alternative Names:
ERK 1 antibody ERK 2 antibody ERK-2 antibody ERK1 antibody erk1/2 antibody ERK2 antibody ERT1 antibody ERT2 antibody Extracellular signal regulated kinase 1 antibody Extracellular signal-regulated kinase 2 antibody MAP kinase 1 antibody MAP kinase 2 anti
Product Description
Serine/threonine kinase which acts as an essential component of the MAP kinase signal transduction pathway. MAPK1/ERK2 and MAPK3/ERK1 are the 2 MAPKs which play an important role in the MAPK/ERK cascade. They participate also in a signaling cascade initi
Product Properties
Clonality:
Polyclonal
Concentration:
1 mg/mL.
Molecular Weight:
Predicted band size: 41 kDa
Isotype:
IgG
UniProt:
P28482
Buffer:
1*PBS (pH7.4), 0.2% BSA, 40% Glycerol. Preservative: 0.05% Sodium Azide.
Purity:
Immunogen affinity purified.
Form:
Liquid
Target:
MAP kinase 1,MAPK 1,ERK-2,p42-MAPK,MAP kinase 2,MAPK 2
Antibody Type:
Primary Antibody
Application Notes
Application Dilute:
WB:1:1,000-1:2,000 ,IF-Cell:1:200 ,IHC-P:1:200 ,FC:1:100-1:200