CD4 Rabbit Polyclonal Antibody, Unconjugated
Catalog Number:
HBO-ER1706-80
Product Overview
Article Name:
CD4 Rabbit Polyclonal Antibody, Unconjugated
Biozol Catalog Number:
HBO-ER1706-80
Supplier Catalog Number:
ER1706-80
Alternative Catalog Number:
HBO-ER1706-80
Manufacturer:
HUABIO
Host:
Rabbit
Category:
Antikörper
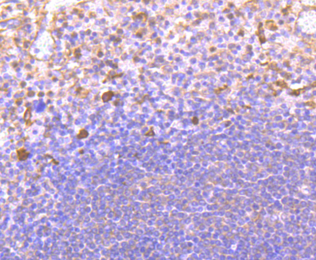
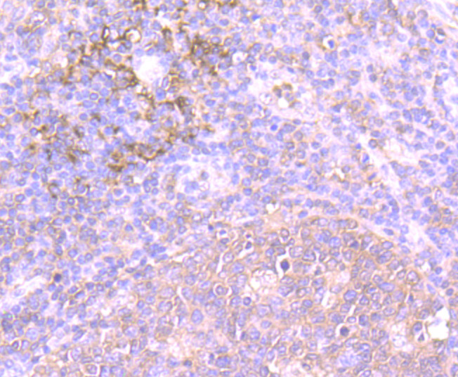
Application:
FC, IF, IHC-P, WB
Species Reactivity:
Human
Immunogen:
Synthetic peptide within human CD4 aa 45-109.
Conjugation:
Unconjugated
Alternative Names:
CD 4 antibody CD4 (L3T4) antibody CD4 antibody CD4 antigen (p55) antibody CD4 antigen antibody CD4 molecule antibody CD4 receptor antibody CD4+ Lymphocyte deficiency, included antibody CD4_HUMAN antibody CD4mut antibody L3T4 antibody Leu3 antibody Ly-4 a
Product Description
The T cell receptor (TCR) is a heterodimer composed of either alpha and beta or gamma and delta chains. CD3 chains and the CD4 or CD8 co-receptors are also required for efficient signal transduction through the TCR. The TCR is expressed on T helper and T cytotoxic cell
Product Properties
Clonality:
Polyclonal
Concentration:
1 mg/mL.
Molecular Weight:
Predicted band size: 51 kDa
Isotype:
IgG
UniProt:
P01730
Buffer:
1*PBS (pH7.4), 0.2% BSA, 50% Glycerol. Preservative: 0.05% Sodium Azide.
Purity:
Immunogen affinity purified.
Form:
Liquid
Target:
CD4
Antibody Type:
Primary Antibody
Application Notes
Application Dilute:
WB: 1:500 ,IF-Cell: 1:50-1:200 ,IHC-P: 1:50-1:200 ,FC: 1:50-1:100
Images
ICC staining CD4 in Hela cells (green). The nuclear counter stain is DAPI (blue). Cells