APC Rabbit Polyclonal Antibody, Unconjugated

Catalog Number: HBO-ER1802-39
Article Name: APC Rabbit Polyclonal Antibody, Unconjugated
Biozol Catalog Number: HBO-ER1802-39
Supplier Catalog Number: ER1802-39
Alternative Catalog Number: HBO-ER1802-39
Manufacturer: HUABIO
Host: Rabbit
Category: Antikörper
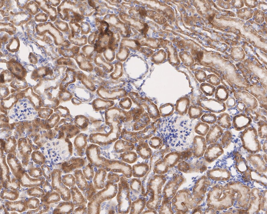
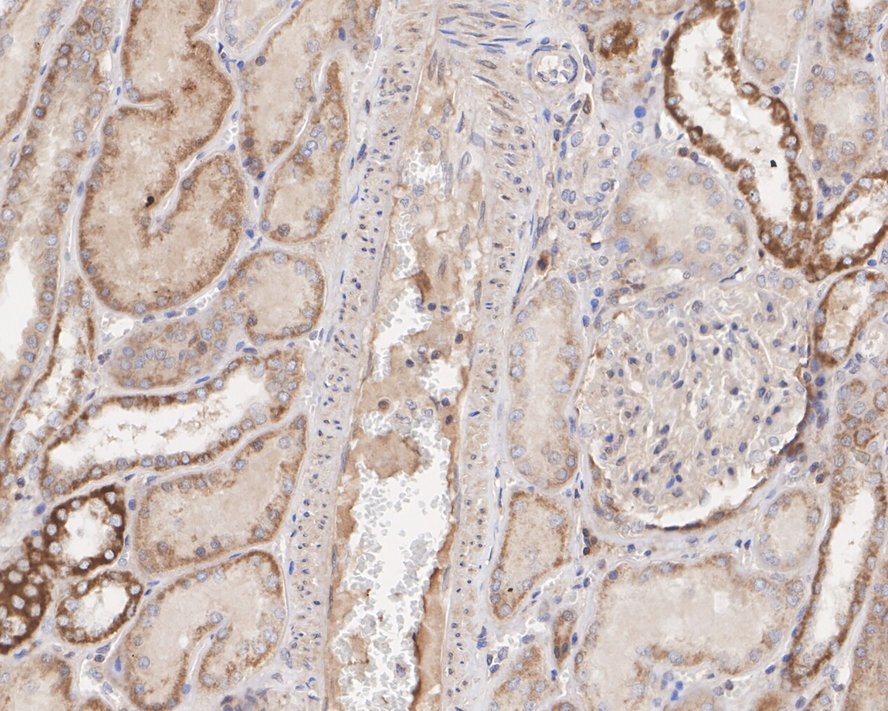
Application: FC, IF, IHC-Fr, IHC-P, WB
Species Reactivity: Human, Mouse, Rat
Immunogen: Synthetic peptide within C-terminal human Ifna1.
Conjugation: Unconjugated
Alternative Names: Adenomatous Polyposis Coli antibody Adenomatous polyposis coli protein antibody Apc antibody APC_HUMAN antibody CC1 antibody Deleted in polyposis 2.5 antibody DP2 antibody DP2.5 antibody DP3 antibody FAP antibody FPC antibody GS antibody Protein APC anti
The adenomatous polyposis syndromes, familial adenomatous polyposis (FAP) and Gardners syndrome (GS), are characterized by numerous adenomatous polyps throughout the entire colon. These polyps invariably progress to colon cancer in addition to other extr
Clonality: Polyclonal
Concentration: 1 mg/mL.
Molecular Weight: Predicted band size: 312 kDa
Isotype: IgG
UniProt: P25054
Buffer: 1*PBS (pH7.4), 0.2% BSA, 50% Glycerol. Preservative: 0.05% Sodium Azide.
Purity: Immunogen affinity purified.
Form: Liquid
Target: APC, DP2.5
Antibody Type: Primary Antibody
Application Dilute: IF-Cell: 1:50-1:200 ,IHC-P: 1:1,000 ,FC: 1:50-1:100 ,WB: 1:500 ,IF-Tissue: 1:200 ,IHC-Fr: 1:200
ICC staining APC in SH-SY-5Y cells (green). The nuclear counter stain is DAPI (blue). Cells