Glutathione Reductase Rabbit Polyclonal Antibody, Unconjugated
Catalog Number:
HBO-ER1802-96
Product Overview
Article Name:
Glutathione Reductase Rabbit Polyclonal Antibody, Unconjugated
Biozol Catalog Number:
HBO-ER1802-96
Supplier Catalog Number:
ER1802-96
Alternative Catalog Number:
HBO-ER1802-96
Manufacturer:
HUABIO
Host:
Rabbit
Category:
Antikörper
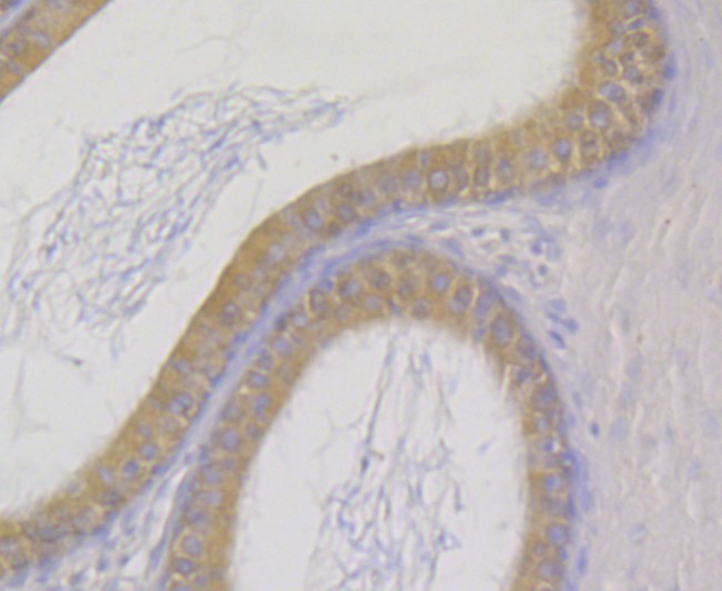
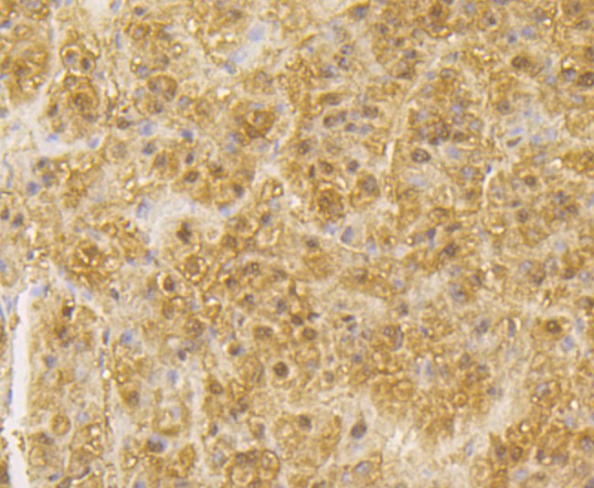
Application:
FC, IF, IHC-P, WB
Species Reactivity:
Human, Rat
Immunogen:
Recombinant protein within Human GLUR aa 273-446 / 522.
Conjugation:
Unconjugated
Alternative Names:
GLR1 antibody GLUR antibody Glutathione reductase antibody Glutathione reductase mitochondrial antibody Glutathione reductase, mitochondrial antibody GR antibody Gr1 antibody GRase antibody GRD 1 antibody GRD1 antibody GSHR_HUMAN antibody GSR antibody MG
Product Description
Glutathione plays a key role in maintaining proper function and preventing oxidative stress in human cells. It can act as a scavenger for hydroxyl radicals, singlet oxygen, and various electrophiles. Reduced glutathione reduces the oxidized form of the e
Product Properties
Clonality:
Polyclonal
Concentration:
1 mg/mL.
Molecular Weight:
Predicted band size: 56 kDa
Isotype:
IgG
UniProt:
P00390
Buffer:
1*PBS (pH7.4), 0.2% BSA, 50% Glycerol. Preservative: 0.05% Sodium Azide.
Purity:
Immunogen affinity purified.
Form:
Liquid
Target:
GR, GRase, GSR, GLUR, GRD1
Antibody Type:
Primary Antibody
Application Notes
Application Dilute:
WB: 1:1,000-1:2,000 ,IF-Cell: 1:50-1:200 ,IHC-P: 1:50-1:200 ,FC: 1:50-1:100
Images
ICC staining GLUR in A549 cells (green). The nuclear counter stain is DAPI (blue). Cells were