Orai1 Rabbit Polyclonal Antibody, Unconjugated
Catalog Number:
HBO-ER1803-11
Product Overview
Article Name:
Orai1 Rabbit Polyclonal Antibody, Unconjugated
Biozol Catalog Number:
HBO-ER1803-11
Supplier Catalog Number:
ER1803-11
Alternative Catalog Number:
HBO-ER1803-11
Manufacturer:
HUABIO
Host:
Rabbit
Category:
Antikörper
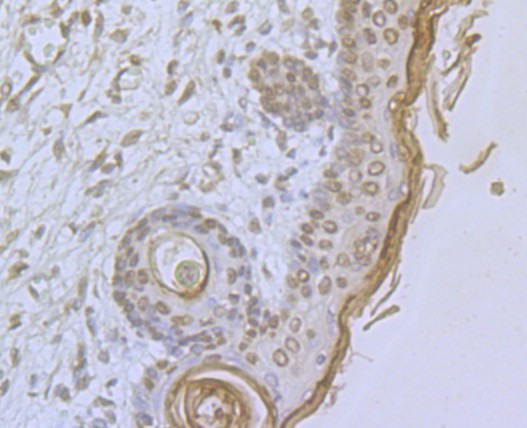
Application:
FC, IF, IHC-P, WB
Species Reactivity:
Human, Mouse
Immunogen:
Synthetic peptide within mouse Orai1 aa 181-230 / 304.
Conjugation:
Unconjugated
Alternative Names:
Calcium release activated calcium channel protein 1 antibody Calcium release activated calcium modulator 1 antibody Calcium release-activated calcium channel protein 1 antibody CRACM 1 antibody CRACM1 antibody CRCM1 antibody CRCM1_HUMAN antibody FLJ14466
Product Description
Orai1 (ORAI calcium release-activated calcium modulator 1), also known as ORAT1, CRACM1 (calcium release-activated calcium modulator 1) or TMEM142A (transmembrane protein 142A), is a 301 amino acid multi-pass membrane protein that belongs to the Orai fam
Product Properties
Clonality:
Polyclonal
Concentration:
1 mg/mL.
Molecular Weight:
33 kDa
Isotype:
IgG
UniProt:
Q96D31
Buffer:
1*PBS (pH7.4), 0.2% BSA, 50% Glycerol. Preservative: 0.05% Sodium Azide.
Purity:
Immunogen affinity purified.
Form:
Liquid
Target:
ORAI1, CRACM1, TMEM142A
Antibody Type:
Primary Antibody
Application Notes
Application Dilute:
WB: 1:500-1:2,000 ,IF-Cell: 1:50-1:200 ,IHC-P: 1:50-1:200 ,FC: 1:50-1:100
Images
Western blot analysis of Orai1 on PC-3M cell lysate using anti-Orai1 antibody at 1/500 dilution.