AMBP Rabbit Polyclonal Antibody, Unconjugated

Catalog Number: HBO-ER1803-35
Article Name: AMBP Rabbit Polyclonal Antibody, Unconjugated
Biozol Catalog Number: HBO-ER1803-35
Supplier Catalog Number: ER1803-35
Alternative Catalog Number: HBO-ER1803-35
Manufacturer: HUABIO
Host: Rabbit
Category: Antikörper
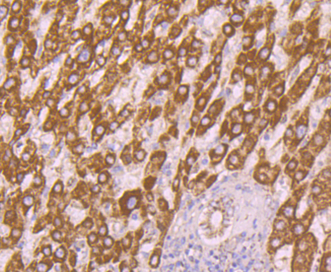
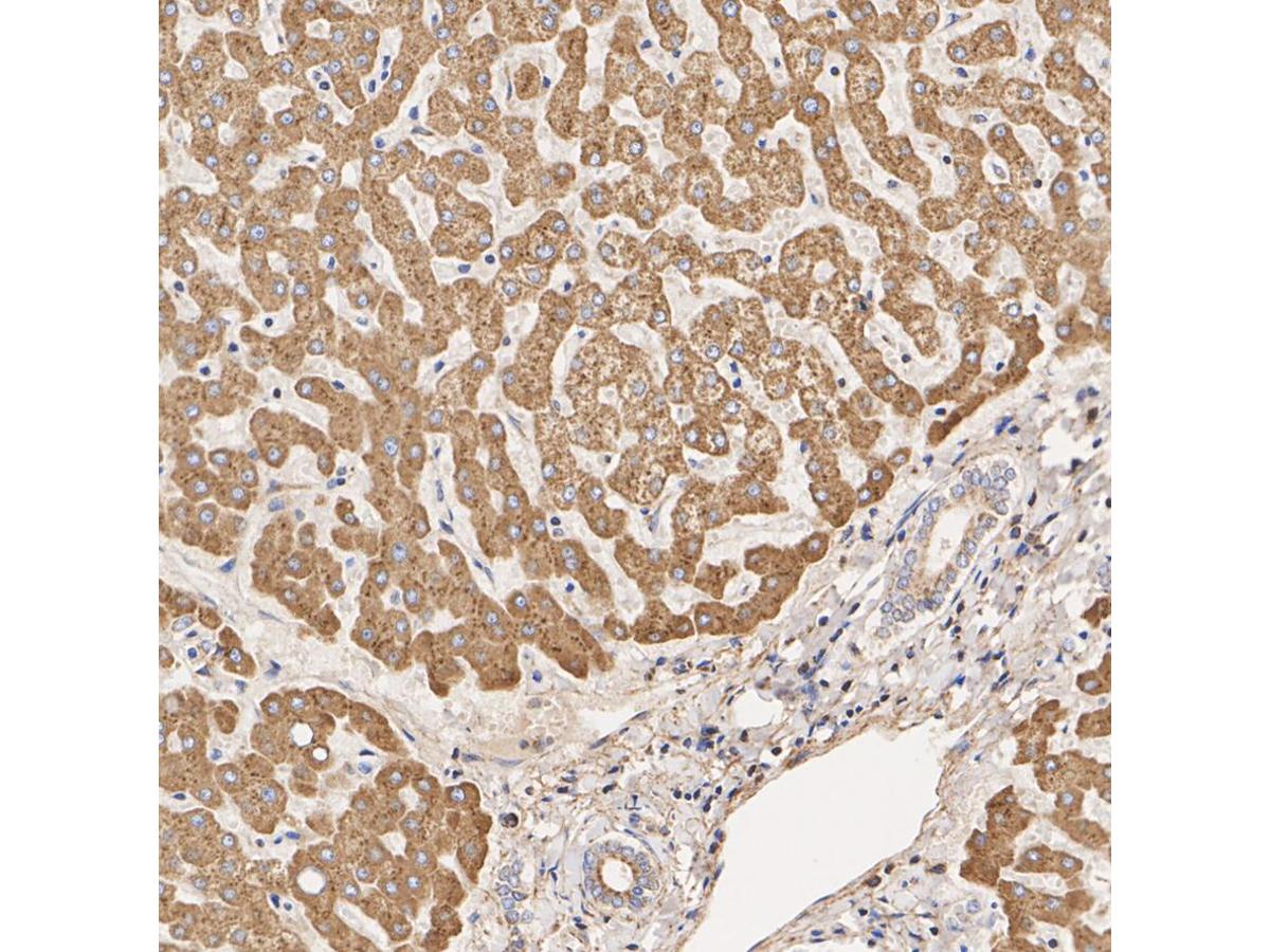
Application: FC, IF, IHC-P, WB
Species Reactivity: Human, Mouse, Rat
Immunogen: Recombinant protein within Human AMBP aa 120-320.
Conjugation: Unconjugated
Alternative Names: Alpha 1 microglobulin/bikunin precursor antibody Alpha-1 microglycoprotein antibody AMBP antibody AMBP_HUMAN antibody Bikunin antibody Complex-forming glycoprotein heterogeneous in charge antibody EDC1 antibody Growth inhibiting protein 19 antibody HI 30
The AMBP (alpha-1-Microglobulin/bikunin precursor) gene encodes a protein precursor, known as AMBP, that is cleaved to produce two distinct proteins, designated a-1-Microglobulin and Bikunin. alpha-1-Microglobulin, also known as protein HC, is a member of the li
Clonality: Polyclonal
Concentration: 1 mg/mL.
Molecular Weight: Predicted band size: 39 kDa
Isotype: IgG
UniProt: P02760
Buffer: 1*PBS (pH7.4), 0.2% BSA, 50% Glycerol. Preservative: 0.05% Sodium Azide.
Purity: Protein A affinity purified.
Form: Liquid
Target: Protein HC, ITI-LC, AMBP, HCP, ITIL
Antibody Type: Primary Antibody
Application Dilute: WB: 1:2,000 ,IF-Cell: 1:500 ,IHC-P: 1:1,000 ,FC: 1:1,000
ICC staining AMBP in HepG2 cells (green). The nucl