NrCAM Rabbit Polyclonal Antibody, Unconjugated

Catalog Number: HBO-ER1803-64
Article Name: NrCAM Rabbit Polyclonal Antibody, Unconjugated
Biozol Catalog Number: HBO-ER1803-64
Supplier Catalog Number: ER1803-64
Alternative Catalog Number: HBO-ER1803-64
Manufacturer: HUABIO
Host: Rabbit
Category: Antikörper
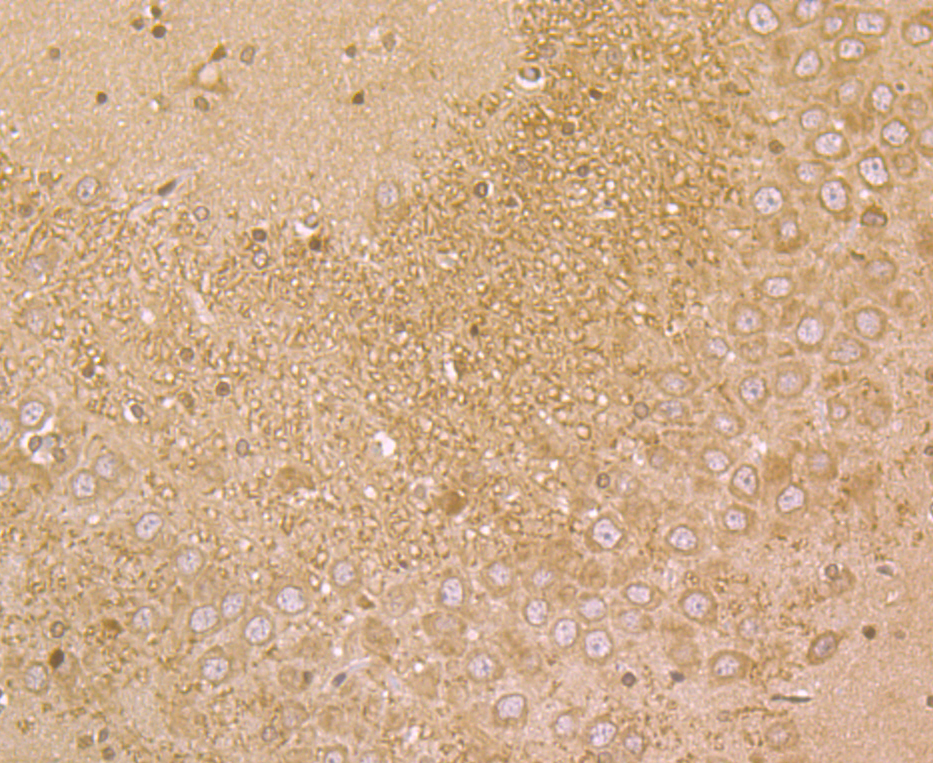
Application: IF, IHC-P, WB
Species Reactivity: Human, Mouse, Rat
Immunogen: Recombinant protein within Human NRCAM aa 723-903 / 1,304.
Conjugation: Unconjugated
Alternative Names: Bravo antibody hBravo antibody Neuronal cell adhesion molecule antibody Neuronal surface protein Bravo antibody Ng CAM related antibody Ng-CAM-related antibody NgCAM related cell adhesion molecule antibody NgCAM-related cell adhesion molecule antibody Nr
Cell adhesion protein that is required for normal responses to cell-cell contacts in brain and in the peripheral nervous system. Plays a role in neurite outgrowth in response to contactin binding. Plays a role in mediating cell-cell contacts between Schw
Clonality: Polyclonal
Concentration: 1 mg/mL.
Molecular Weight: Predicted band size: 144 kDa
Isotype: IgG
UniProt: Q92823
Buffer: 1*PBS (pH7.4), 0.2% BSA, 50% Glycerol. Preservative: 0.05% Sodium Azide.
Purity: Immunogen affinity purified.
Form: Liquid
Target: Nr-CAM, hBravo, Ng-CAM-related, NRCAM, KIAA0343
Antibody Type: Primary Antibody
Application Dilute: WB: 1:500-1:1,000 ,IF-Cell: 1:50-1:200 ,IHC-P: 1:50 -1:200
Western blot analysis of NRCAM on SH-SY5Y cell lysate using anti-NRCAM antibody at 1/1,000 dilution.