CD13 Rabbit Polyclonal Antibody, Unconjugated

Catalog Number: HBO-ER1803-74
Article Name: CD13 Rabbit Polyclonal Antibody, Unconjugated
Biozol Catalog Number: HBO-ER1803-74
Supplier Catalog Number: ER1803-74
Alternative Catalog Number: HBO-ER1803-74
Manufacturer: HUABIO
Host: Rabbit
Category: Antikörper
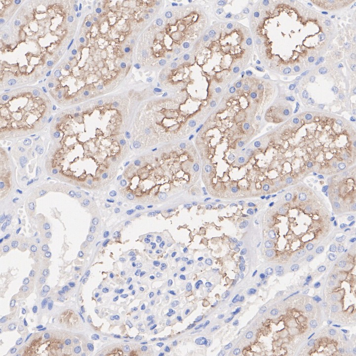
Application: FC, IF, IHC-P, WB
Species Reactivity: Human, Mouse, Rat
Immunogen: Recombinant protein within Human CD13 aa 273-448 / 967.
Conjugation: Unconjugated
Alternative Names: Alanyl (membrane) aminopeptidase antibody Alanyl aminopeptidase antibody Aminopeptidase M antibody Aminopeptidase N antibody AMPN_HUMAN antibody ANPEP antibody AP M antibody AP N antibody AP-M antibody AP-N antibody APN antibody CD 13 antibody CD13 antib
CD13, or aminopeptidase N, is a type II transmembrane glycoprotein that is expressed on most cells of Myeloid origin, including monocytes, basophils, eosinophils, neutrophils and Myeloid leukemias. CD13 is also found on certain epithelial cells, fibrobla
Clonality: Polyclonal
Concentration: 1 mg/ml.
Molecular Weight: Predicted band size: 110 kDa
Isotype: IgG
UniProt: P15144
Buffer: 1*PBS (pH7.4), 0.2% BSA, 50% Glycerol. Preservative: 0.05% Sodium Azide.
Purity: Immunogen affinity purified.
Form: Liquid
Target: AP-N, hAPN, AP-M, CD13, ANPEP, APN, CD13, PEPN
Antibody Type: Primary Antibody
Application Dilute: WB:1:500,IF-Cell:1:100-1:400,IHC-P:1:50-1:600,FC:1:50-1:100