G-protein coupled receptor 30 Rabbit Polyclonal Antibody, Unconjugated
Catalog Number:
HBO-ER1803-90
Product Overview
Article Name:
G-protein coupled receptor 30 Rabbit Polyclonal Antibody, Unconjugated
Biozol Catalog Number:
HBO-ER1803-90
Supplier Catalog Number:
ER1803-90
Alternative Catalog Number:
HBO-ER1803-90
Manufacturer:
HUABIO
Host:
Rabbit
Category:
Antikörper
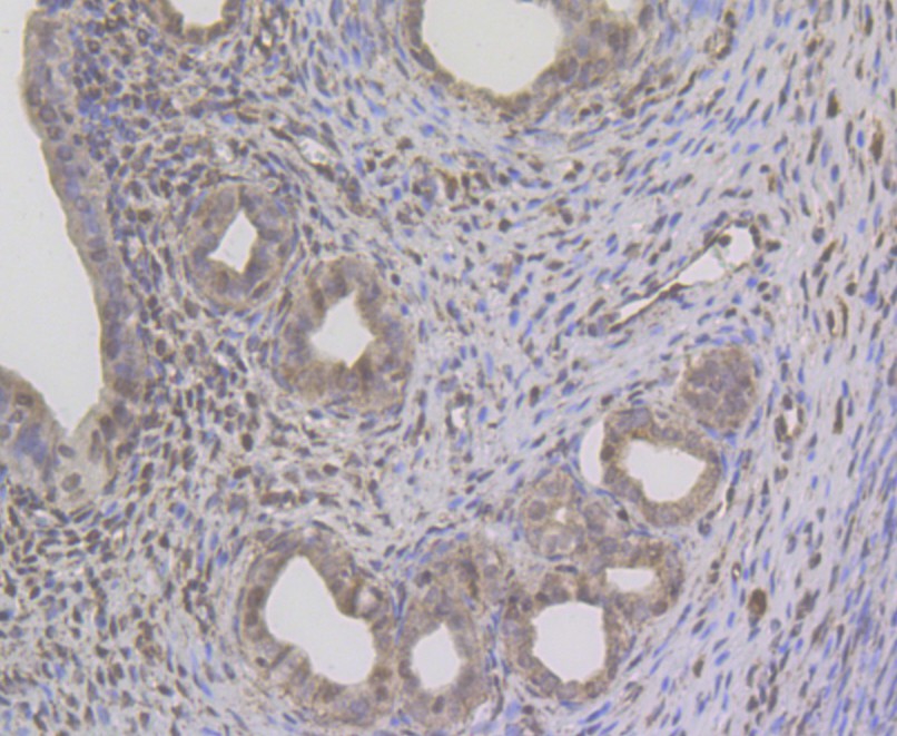
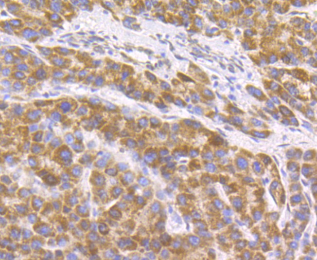
Application:
FC, IF, IHC-P, WB
Species Reactivity:
Human, Mouse, Rat
Immunogen:
Recombinant protein within Human G-protein coupled receptor 30 aa 236-375 / 375.
Conjugation:
Unconjugated
Alternative Names:
CEPR antibody Chemoattractant receptor-like 2 antibody Chemokine receptor-like 2 antibody CMKRL2 antibody Constitutively expressed peptide like receptor antibody DRY12 antibody FEG 1 antibody FEG-1 antibody Flow-induced endothelial G protein-coupled rece
Product Description
G-protein coupled estrogen receptor that binds to 17-beta-estradiol (E2) with high affinity, leading to rapid and transient activation of numerous intracellular signaling pathways. Stimulates cAMP production, calcium mobilization and tyrosine kinase Src
Product Properties
Clonality:
Polyclonal
Concentration:
1 mg/mL.
Molecular Weight:
Predicted band size: 42 kDa
Isotype:
IgG
UniProt:
Q99527
Buffer:
1*PBS (pH7.4), 0.2% BSA, 50% Glycerol. Preservative: 0.05% Sodium Azide.
Purity:
Immunogen affinity purified.
Form:
Liquid
Target:
FEG-1, LYGPR, mER, GPER1, CEPR, CMKRL2, DRY12, GPER, GPR30
Antibody Type:
Primary Antibody
Application Notes
Application Dilute:
WB: 1:500-1:1,000 ,IF-Cell: 1:100 ,IHC-P: 1:50-1:200 ,FC: 1:1,000