Aldolase B Rabbit Polyclonal Antibody, Unconjugated

Catalog Number: HBO-ER1901-42
Article Name: Aldolase B Rabbit Polyclonal Antibody, Unconjugated
Biozol Catalog Number: HBO-ER1901-42
Supplier Catalog Number: ER1901-42
Alternative Catalog Number: HBO-ER1901-42
Manufacturer: HUABIO
Host: Rabbit
Category: Antikörper
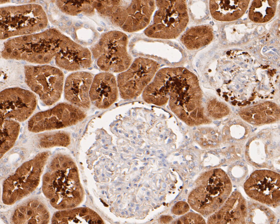
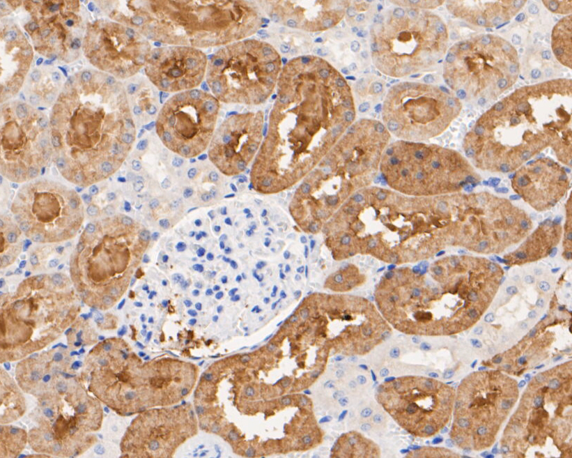
Application: FC, IHC-P, WB
Species Reactivity: Human, Mouse, Rat
Immunogen: Recombinant protein within Human Aldolase B aa 1-189 / 364.
Conjugation: Unconjugated
Alternative Names: ALDB antibody ALDO B antibody ALDO2 antibody ALDOB antibody ALDOB_HUMAN antibody Aldolase 2 antibody Aldolase B antibody Aldolase B fructose bisphosphate antibody Aldolase2 antibody AldolaseB antibody EC 4.1.2.13 antibody Fructose bisphosphate aldolase B
Aldolase B also known as fructose-bisphosphate aldolase B or liver-type aldolase is one of three isoenzymes (A, B, and C) of the class I fructose 1,6-bisphosphate aldolase enzyme (EC 4.1.2.13), and plays a key role in both glycolysis and gluconeogenesis.
Clonality: Polyclonal
Concentration: 1 mg/mL.
Molecular Weight: Predicted band size: 39 kDa
Isotype: IgG
UniProt: P05062
Buffer: 1*PBS (pH7.4), 0.2% BSA, 50% Glycerol. Preservative: 0.05% Sodium Azide.
Purity: Immunogen affinity purified.
Form: Liquid
Target: ALDOB
Antibody Type: Primary Antibody
Application Dilute: WB:1:500-1:2,000 ,IHC-P:1:50-1:200 ,FC:1:50-1:100