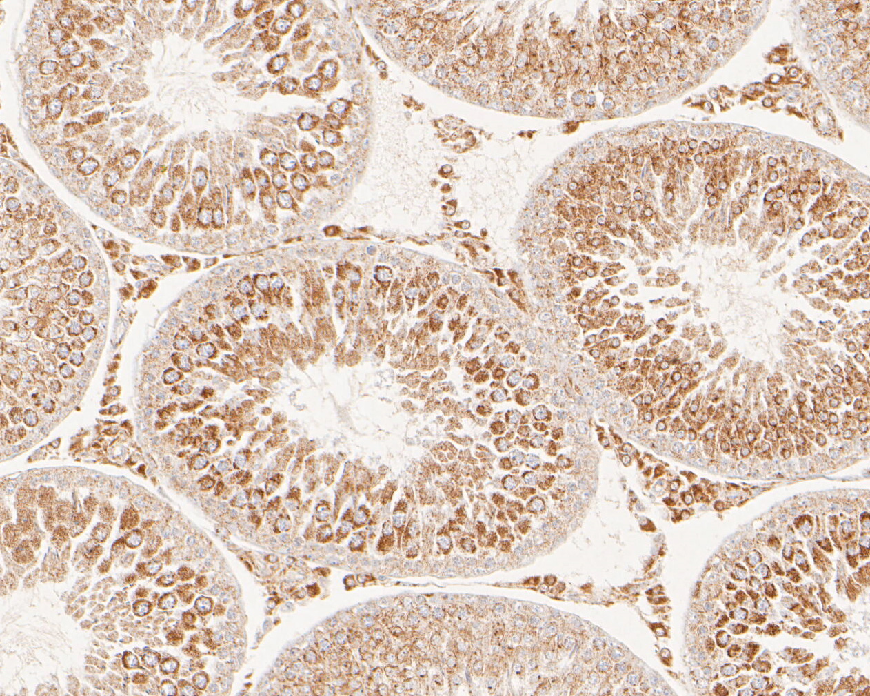
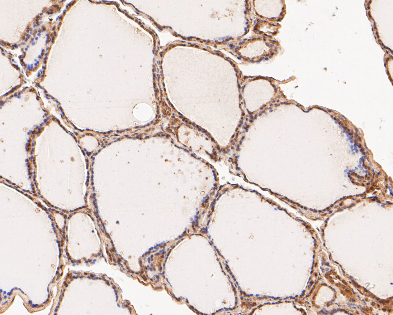
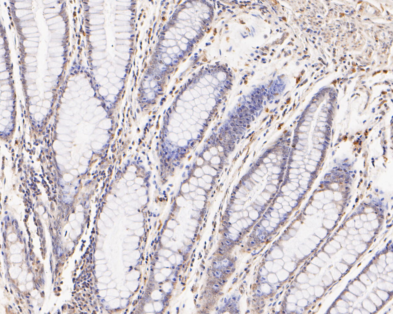
FYCO1 Rabbit Polyclonal Antibody, Unconjugated

Catalog Number: HBO-ER2001-04
Article Name: FYCO1 Rabbit Polyclonal Antibody, Unconjugated
Biozol Catalog Number: HBO-ER2001-04
Supplier Catalog Number: ER2001-04
Alternative Catalog Number: HBO-ER2001-04
Manufacturer: HUABIO
Host: Rabbit
Category: Antikörper
Application: FC, IHC-P, WB
Species Reactivity: Human, Mouse, Rat
Immunogen: Recombinant protein within human FYCO1 aa 1-200.
Conjugation: Unconjugated
Alternative Names: CATC2 antibody CTRCT18 antibody DKFZp779K1152 antibody FLJ13335 antibody FYCO1 antibody FYCO1_HUMAN antibody FYVE and coiled coil domain containing 1 antibody FYVE and coiled coil domain containing protein 1 antibody FYVE and coiled-coil domain-containin
This gene encodes a protein that contains a RUN domain, FYVE-type zinc finger domain and Golgi dynamics (GOLD) domain. The encoded protein plays a role in microtubule plus end-directed transport of autophagic vesicles through interactions with the small
Clonality: Polyclonal
Concentration: 1 mg/mL.
Molecular Weight: 167 kDa
Isotype: IgG
UniProt: Q9BQS8
Buffer: 1*TBS (pH7.4), 0.2% BSA, 50% Glycerol. Preservative: 0.05% Sodium Azide.
Purity: Immunogen affinity purified.
Form: Liquid
Target: FYCO1
Antibody Type: Primary Antibody
Application Dilute: WB:1:500 ,IHC-P:1:200-1:1,000 ,FC:1:50-1:100