Recombinant CFTR (Cystic Fibrosis Transmembrane Conductance Regulator) Antibody, IgG1, Clone: [rCFTR/8047], Mouse, Monoclonal

Catalog Number: NBT-1080-MSM16-P0
Article Name: Recombinant CFTR (Cystic Fibrosis Transmembrane Conductance Regulator) Antibody, IgG1, Clone: [rCFTR/8047], Mouse, Monoclonal
Biozol Catalog Number: NBT-1080-MSM16-P0
Supplier Catalog Number: 1080-MSM16-P0
Alternative Catalog Number: NBT-1080-MSM16-P0-20
Manufacturer: NeoBiotechnologies
Host: Mouse
Category: Antikörper
Application: IHC
Species Reactivity: Human
Immunogen: Recombinant fragment (around aa550-850) of human CFTR protein (exact sequence is proprietary)
Alternative Names: ABC35, ATP Binding Cassette Superfamily C Member 7 (ABCC7), cAMP-dependent chloride channel, CFTR/MRP, Channel conductance-controlling ATPase, Cystic Fibrosis Transmembrane Conductance Regulator, MRP7, TNR CFTR
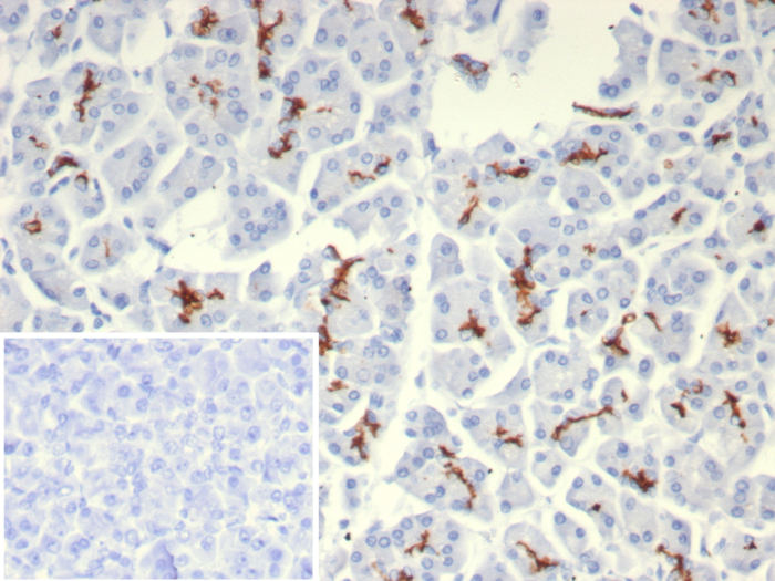
Recognizes a protein of 165-170kDa, identified as cystic fibrosis transmembrane conductance regulator (CFTR). CFTR is composed of two membrane-spanning domains (MSD), two nucleotide-binding domains (NBD), and an R domain. It is structurally similar to multidrug resistance (Mdr1) protein and both are members of the superfamily of ATP-binding cassette (ABC) transporters, also known as traffic ATPases, which are implicated in the movement of various substrates. The CFTR protein is a small conductance adenosine 3,5-cyclic monophosphate (cAMP)-activated chloride ion channel found in the apical membranes of epithelia within the pancreas, airway, intestine, bile duct, sweat gland, and male genital ducts. CFTR is a valuable marker of human pancreatic duct cell development and differentiation.
Clonality: Monoclonal
Clone Designation: [rCFTR/8047]
Molecular Weight: 165-170kDa
Isotype: IgG1
NCBI: 1080
UniProt: P13569
Form: 200ug/ml of Ab purified from Bioreactor Concentrate by Protein A/G. Prepared in 10mM PBS with 0.05% BSA & 0.05% azide. Also available WITHOUT BSA & azide at 1.0mg/ml.
IHC analysis of formalin-fixed, paraffin-embedded human pancreas. CFTR Recombinant Mouse Monoclonal Antibody (rCFTR/8047). Inset: PBS instead of primary antibody, secondary only negative control.