Colipase / CLPS Antibody, IgG1, Clone: [CLPS/9025], Mouse, Monoclonal

Catalog Number: NBT-1208-MSM5-P1
Article Name: Colipase / CLPS Antibody, IgG1, Clone: [CLPS/9025], Mouse, Monoclonal
Biozol Catalog Number: NBT-1208-MSM5-P1
Supplier Catalog Number: 1208-MSM5-P1
Alternative Catalog Number: NBT-1208-MSM5-P1-100
Manufacturer: NeoBiotechnologies
Host: Mouse
Category: Antikörper
Application: IHC
Species Reactivity: Human
Immunogen: Recombinant fragment (around aa1-112) of human CLPS protein (exact sequence is proprietary)
Alternative Names: COL_HUMAN, Colipase, Colipase pancreatic, Pancreatic colipase preproprotein
The lipase gene family belongs to one of the most robust genetic superfamilies found in living organisms, which includes esterases and thioesterases. Members of the AB hydrolase subfamily include Hepatic Lipase (HL), Endothelial Lipase (EL), Lipoprotein Lipase (LPL), Pancreatic Lipase (PL), Gastric Lipase (GL) and LCAT. These family members play a crucial role in the metabolism of lipids. Pancreatic lipase, also designated pancreatic triacylglycerol acyl hydrolase, is important for dietary fat absorption as it hydrolyses triglycerides into diglycerides, monoglycerides and free fatty acids. Colipase, also known as CLPS or pancreatic colipase preproprotein, is a 112 amino acid secreted protein that functions as a cofactor of pancreatic lipase. Necessary for dietary lipid hydrolysis and localizing to pancreatic acinar cells, colipase allows pancreatic lipase to anchor itself to the lipid-water interface of lipid micelles, thereby preventing intestinal bile salts from washing it off.
Clonality: Monoclonal
Clone Designation: [CLPS/9025]
Molecular Weight: 12kDa
Isotype: IgG1
NCBI: 1208
UniProt: P04118
Form: 200ug/ml of Ab purified from Bioreactor Concentrate by Protein A/G. Prepared in 10mM PBS with 0.05% BSA & 0.05% azide. Also available WITHOUT BSA & azide at 1.0mg/ml.
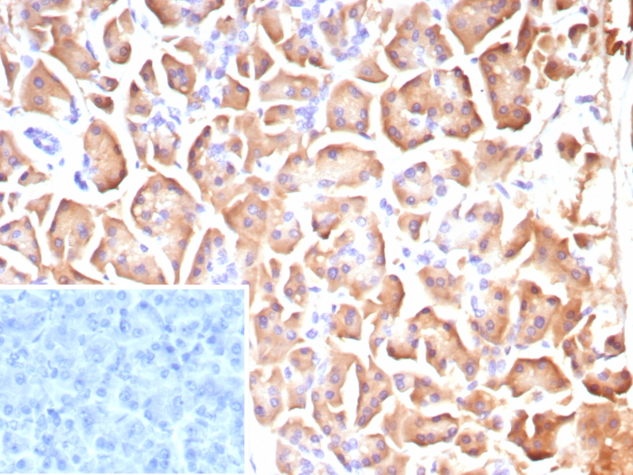
Formalin-fixed, paraffin-embedded human pancreas stained with Colipase / CLPS Mouse Monoclonal Antibody (CLPS/9025). Inset: PBS instead of primary antibody, secondary only negative control.
SDS-PAGE Analysis of Purified Colipase / CLPS Mouse Monoclonal Antibody (CLPS/9025). Confirmation of Purity and Integrity of Antibody.