TMPO Antibody, KO Validated, Unconjugated, Rabbit, Polyclonal

Catalog Number: PRS-18-696
Article Name: TMPO Antibody, KO Validated, Unconjugated, Rabbit, Polyclonal
Biozol Catalog Number: PRS-18-696
Supplier Catalog Number: 18-696
Alternative Catalog Number: PRS-18-696-100
Manufacturer: ProSci
Host: Rabbit
Category: Antikörper
Application: IF, IHC, WB
Species Reactivity: Human, Mouse, Rat
Immunogen: Recombinant fusion protein containing a sequence corresponding to amino acids 1-410 of human TMPO (NP_001027454.1).
Conjugation: Unconjugated
Alternative Names: Thymopoietin Antibody: TP, LAP2, CMD1T, LEMD4, PRO0868, Lamina-associated polypeptide 2, isoform alpha, Thymopoietin isoform alpha, TP alpha
Clonality: Polyclonal
Concentration: batch dependent
Molecular Weight: Observed: 51kDa/80kDa
NCBI: 7112
UniProt: P42166
Buffer: PBS with 0.02% sodium azide, 50% glycerol, pH7.3.
Form: Liquid
Application Dilute: Optimal dilutions for each application to be determined by the researcher.
Application Notes: WB: 1:500 - 1:2000IHC: 1:50 - 1:200IF: 1:50 - 1:200
Western blot analysis of extracts of various cell lines, using TMPO antibody (18-696) at 1:1000 dilution.
Secondary antibody: HRP Goat Anti-Rabbit IgG (H+L) at 1:10000 dilution.
Lysates/proteins: 25ug per lane.
Blocking buffer: 3% nonfat dry milk in TBST.
Detection: ECL Basic Kit.
Exposure time: 30s.
Western blot analysis of extracts from normal (control) and TMPO knockout (KO) 293T cells, using TMPO antibody (18-696) at 1:1000 dilution.
Secondary antibody: HRP Goat Anti-Rabbit IgG (H+L) at 1:10000 dilution.
Lysates/proteins: 25ug per lane.
Blocking buffer: 3% nonfat dry milk in TBST.
Detection: ECL Basic Kit.
Exposure time: 15s.
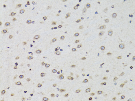
Immunohistochemistry of paraffin-embedded rat brain using TMPO Antibody (18-696) at dilution of 1:100 (40x lens).
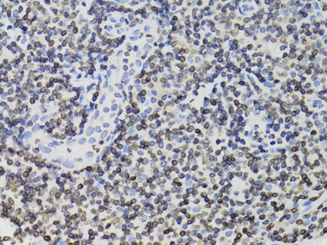
Immunohistochemistry of paraffin-embedded human tonsil using TMPO Antibody (18-696) at dilution of 1:100 (40x lens).
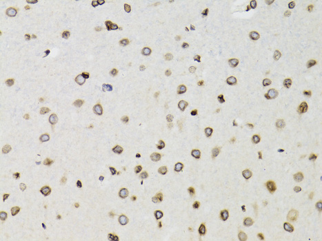
Immunohistochemistry of paraffin-embedded mouse brain using TMPO Antibody (18-696) at dilution of 1:100 (40x lens).
Immunofluorescence analysis of U2OS cells using TMPO antibody (18-696).