CYP3A4 Antibody, Unconjugated, Rabbit, Polyclonal

Catalog Number: PRS-18-699
Article Name: CYP3A4 Antibody, Unconjugated, Rabbit, Polyclonal
Biozol Catalog Number: PRS-18-699
Supplier Catalog Number: 18-699
Alternative Catalog Number: PRS-18-699-100
Manufacturer: ProSci
Host: Rabbit
Category: Antikörper
Application: IF, IHC, WB
Species Reactivity: Human, Mouse, Rat
Immunogen: Recombinant fusion protein containing a sequence corresponding to amino acids 244-503 of human CYP3A4 (NP_059488.2).
Conjugation: Unconjugated
Alternative Names: CYP3A4, cytochrome P450, family 3, subfamily A, polypeptide 4, HGNC:2637, CP33, CP34, CYP3A, CYP3A3, HLP, NF-25, P450C3, P450PCN1, P450-III, steroid inducible, subfamily IIIA (niphedipine oxidase), polypeptide 3, subfamily IIIA, glucocorticoid-inducible P450, nifedipine oxidase
Clonality: Polyclonal
Concentration: batch dependent
Molecular Weight: Observed: 80kDa
NCBI: 1576
UniProt: P08684
Buffer: PBS with 0.02% sodium azide, pH7.3.
Form: Liquid
Application Dilute: Optimal dilutions for each application to be determined by the researcher.
Application Notes: WB: 1:500 - 1:1000IHC: 1:20 - 1:50IF: 1:20 - 1:100
Western blot analysis of extracts of various cell lines, using CYP3A4 antibody (18-699) at 1:1000 dilution.
Secondary antibody: HRP Goat Anti-Rabbit IgG (H+L) at 1:10000 dilution.
Lysates/proteins: 25ug per lane.
Blocking buffer: 3% nonfat dry milk in TBST.
Detection: ECL Basic Kit.
Exposure time: 15s.
Immunohistochemistry of paraffin-embedded rat ovary using CYP3A4 antibody (18-699) at dilution of 1:100 (40x lens).
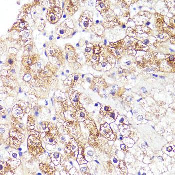
Immunohistochemistry of paraffin-embedded human liver using CYP3A4 antibody (18-699) at dilution of 1:100 (40x lens).
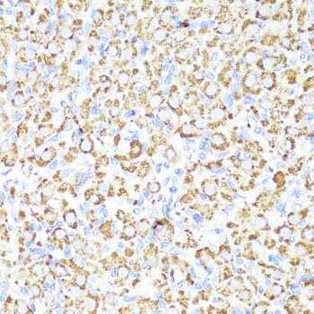
Immunohistochemistry of paraffin-embedded mouse liver using CYP3A4 antibody (18-699) at dilution of 1:100 (40x lens).
Immunofluorescence analysis of U2OS cells using CYP3A4 antibody (18-699) at dilution of 1:100. Blue: DAPI for nuclear staining.
Immunofluorescence analysis of mouse liver using CYP3A4 antibody (18-699) at dilution of 1:100. Blue: DAPI for nuclear staining.