Anti-ATP5B

Catalog Number: ATA-HPA001528
Article Name: Anti-ATP5B
Biozol Catalog Number: ATA-HPA001528
Supplier Catalog Number: HPA001528
Alternative Catalog Number: ATA-HPA001528-100,ATA-HPA001528-25
Manufacturer: Atlas Antibodies
Host: Rabbit
Category: Sonstiges
Application: ICC, IHC, WB
Species Reactivity: Human, Mouse, Rat
Immunogen: Recombinant Protein Epitope Signature Tag (PrEST) antigen sequence
Conjugation: Unconjugated
Alternative Names: ATPSB
ATP synthase, H+ transporting, mitochondrial F1 complex, beta polypeptide
Anti-ATP5B
Clonality: Polyclonal
Concentration: 0.1 mg/ml
Isotype: IgG
NCBI: 506
UniProt: P06576
Buffer: 40% glycerol and PBS (pH 7.2). 0.02% sodium azide is added as preservative.
Purity: Affinity purified using the PrEST antigen as affinity ligand
Sequence: LTGLTVAEYFRDQEGQDVLLFIDNIFRFTQAGSEVSALLGRIPSAVGYQPTLATDMGTMQERITTTKKGSITSVQAIYVPADDLTDPAPATTFAHLDATTVLSRAIAELGIYPAVDPLDSTSRIMDPNIVGSEHYDVAR
Storage: Store at +4°C for short term storage. Long time storage is recommended at -20°C.
Target: ATP5B
Antibody Type: Monoclonal Antibody
Application Dilute: ICC-IF: 0.25-2 µg/ml, IHC: 1:200 - 1:500, WB: 0.04-0.4 µg/ml
Immunofluorescent staining of human cell line U-2 OS shows localization to mitochondria.
Immunohistochemical staining of human kidney, liver, prostate and small intestine using Anti-ATP5B antibody HPA001528 (A) shows similar protein distribution across tissues to independent antibody HPA001520 (B).
Immunohistochemical staining of human prostate shows strong granular cytoplasmic positivity in glandular cells.
Immunohistochemical staining of human kidney shows strong granular cytoplasmic positivity in cells in tubules.
Immunohistochemical staining of human liver shows strong granular cytoplasmic positivity in hepatocytes.
Immunohistochemical staining of human small intestine shows moderate granular cytoplasmic positivity in glandular cells.
Western blot analysis in A-549 cells transfected with control siRNA, target specific siRNA probe #1 and #2, using Anti-ATP5B antibody. Remaining relative intensity is presented. Loading control: Anti-PPIB.
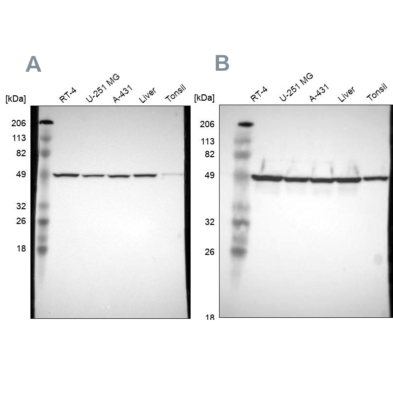
Western blot analysis using Anti-ATP5B antibody HPA001528 (A) shows similar pattern to independent antibody HPA001520 (B).
Western blot analysis in mouse cell line NIH-3T3 and rat cell line NBT-II.
HPA001528-100ul
HPA001528-100ul
HPA001528-100ul