Filter options
Categories
Species-Reactivity
- all (12)
- amphibian (3)
- aves (80)
- bacteria (188)
- bat (52)
- bovine (266)
- c. elegans (20)
- canine (1502)
- drosophila (67)
- duck (7)
- e. coli (24)
- elephant (4)
- equine (100)
- feline (69)
- ferret (4)
- firefly (1)
- fish (9)
- frog (51)
- fungi (16)
- gallus (276)
- goat (26)
- gorilla (168)
- guinea pig (47)
- h. pylori (2)
- hamster (119)
- human (30773)
- invertebrate (1)
- mammal (22)
- marmoset (9)
- mink (3)
- mole rat (1)
- mollusc (2)
- monkey (315)
- mouse (16611)
- mussel (1)
- opossum (2)
- other (47)
- parasite (15)
- plant (10)
- porcine (295)
- primate (361)
- protozoa (14)
- rabbit (184)
- rat (11061)
- reptile (5)
- rodent (10)
- seal (11)
- sheep (45)
- tag (15)
- virus (805)
- yeast (10)
- zebrafish (261)
Host
- bovine (6)
- camelus (62)
- canine (1)
- donkey (7)
- equine (1)
- gallus (234)
- goat (3384)
- guinea pig (2)
- hamster (241)
- human (99)
- mouse (3201)
- mouse and llama (2)
- porcine (2)
- rabbit (26709)
- rat (1070)
- sheep (67)
Label
- AP (14)
- APC (249)
- APC/Cy5.5 (10)
- APC/Cy7 (45)
- ATTO-488 (4)
- ATTO-590 (1)
- ATTO-647N (5)
- Agarose (1)
- BioWave Violet 450 (78)
- Biotin (656)
- Cy3 (4)
- Cy5 (21)
- Cy5.5 (2)
- Cy7 (2)
- FITC (503)
- Fluorescein (1)
- HRP (115)
- PE (441)
- PE/Cy5 (89)
- PE/Cy5.5 (18)
- PE/Cy7 (108)
- PE/Texas Red (8)
- PerCP/Cy5.5 (65)
- Rhodamine (1)
- Texas Red (4)
- Unconjugated (33991)
Manufacturer
- 2mag (80)
- 3D Bio-Tissues (13)
- 3Helix (12)
- 4basebio (27)
- A. Johnen Verpackungen (15)
- A. Rahf Laborbedarf (4)
- ABM (1)
- ABP Biosciences (694)
- ABclonal (19511)
- ADS Biotec Ltd (120)
- AHN Biotechnologie (18)
- AIT France (410)
- ALPCO (376)
- ARP American Research Products (7406)
- ATAGO (118)
- ATTO-TEC (921)
- Abbexa (355553)
- Abbkine Scientific (3418)
- Abcepta (122299)
- Abeomics (35037)
- Abiel (12)
- Abitec (5560)
- Abmole Bioscience (13198)
- Abnova (95389)
- Absolute Antibody (37308)
- Accelagen (29)
- AcroBiosystems (11652)
- Active Motif (3612)
- AddexBio (464)
- Adooq Bioscience (72532)
- Advantec (1595)
- Affinity Biosciences (33523)
- Agdia EMEA (2270)
- Agrisera (2555)
- Ahlstrom Falun (66)
- Ahlstrom-Munksjö (30)
- Alan and Co (3)
- Albert Kuhn (8)
- Almedica (6)
- Alpha Diagnostic (13915)
- Alpha Laboratories (8)
- AlphaScience (3)
- AlphaTecSystems (148)
- AlphaThera (122)
- Altmann Analytik (3)
- Amarell (168)
- Amcor (4)
- Ampersand Biosciences (130)
- Amplitech (1)
- AnaSpec (2236)
- Ananda Devices (2)
- Anatrace (1850)
- Anogen-Yes Biotech Laboratories (690)
- Antibodies Incorporated (2929)
- Antibodies.com (178728)
- Anton Paar (37)
- ApexBio (26040)
- Apollo Herkenrath (29)
- Apop Biosciences (10)
- Aptum Biologics (116)
- Arbor Assays (208)
- Arctiko (38)
- Arlington Scientific (141)
- As One (893)
- Assay Biotechnology (24651)
- Astra Biotech GmbH (56)
- Atlas Antibodies (45223)
- Aves Labs (379)
- Aviva (227223)
- Azenta (10)
- B-Safety (43)
- B. Braun (248)
- BANDELIN (314)
- BBI Solutions (636)
- BEN Biochemical (218)
- BINDER GmbH (295)
- BIO SB (4158)
- BIOMAT (381)
- BIOZOL (91)
- BMA Biomedicals (1027)
- BOCHEM Instrumente GmbH (808)
- BR Solution (36)
- BRAND (2628)
- BRinova (2)
- BT Lab (25395)
- Bachem (6294)
- Barnstead (11)
- BartelsRieger (60)
- Behr (330)
- Beijing Grinder (158)
- Bel-Art (228)
- BellBrook Labs (276)
- Benchmark Scientific (4)
- Bergmann Kartonagen (9)
- Bierbaum-Proenen (75)
- Bio X Cell (1700)
- BioActs (711)
- BioAssay Systems (477)
- BioAssay Works (103)
- BioChain Institute (2174)
- BioChem Fluidics (448)
- BioPorto Diagnostics (251)
- BioServUK (429)
- BioTeZ (205)
- BioVendor (1346)
- Biochrom (76)
- Bioconcept (456)
- Biogenex (641)
- Biolegend (35295)
- Biomatik Corporation (78744)
- Biomedica (21)
- Bionis (31)
- Biorbyt (1706990)
- Bioss (363849)
- Biosynex (118)
- Biosynth (209077)
- Biotium (47199)
- Bioworld Technology (41059)
- BlueGene (99616)
- Boettger (36)
- Bohemia Cristal (144)
- Bohlender (985)
- Boster Bio (188042)
- Brady (319)
- BrainXell (24)
- Buddeberg (60)
- BÜCHI (43)
- Bürkle (1294)
- C. Giese GmbH (52)
- CALPRO (9)
- CDN (3176)
- CETI (639)
- CH3 BioSystems (180)
- CIL (3243)
- Calibre Scientific (2)
- Cape Biologix Technologies (61)
- Caprico Biotechnologies (3585)
- Cedarlane (24834)
- Cell Biolabs (624)
- Cellcolabs (2)
- CeramTec (4)
- CertoClav (33)
- Charles River Laboratories (377)
- Chem Service (3790)
- ChemScene (88166)
- Chondrex (904)
- Chromatrap (868)
- Citotest (6)
- Clonit (276)
- Cloud-Clone (62445)
- Cole-Parmer (189)
- Columbia Biosciences (292)
- Concise Separations (171)
- Coolike (5)
- Cope (1)
- Corning (288)
- Cortez Diagnostics (7)
- Covalab (10816)
- Creative BioMart (48868)
- Creative Biolabs (46896)
- Cryonos (87)
- Crystal (39)
- Cusabio (109552)
- Cyagen Biosciences Inc. (913)
- Cygnus Technologies (567)
- Cytognos (68)
- Cytoskeleton (438)
- DACOS (10)
- DB-Biotech (483)
- DCS Diagnostics (924)
- DIA.PRO (119)
- DIAsource ImmunoAssays (480)
- DLAB (3)
- DLDEVELOP (30458)
- DOSTMANN electronic (109)
- DRG Instruments (585)
- DWK Life Sciences (1879)
- DYMO (117)
- Daresbury Proteins (55)
- Deutsch und Neumann (447)
- Dextra Laboratories (656)
- Diba (1341)
- Dietmar Knabe (2)
- Dojindo (474)
- Dominique Dutscher (4)
- Dr. Ehrenstorfer (9036)
- Dr. Weigert (54)
- Dräger (147)
- DuPont (28)
- ELITech (31)
- ELK Biotechnology (25552)
- ESCO Lifesciences GmbH (211)
- EXBIO (4775)
- EXCELITAS (20)
- EastCoast Bio (2077)
- Ebba Biotech (189)
- Echelon Biosciences (2198)
- Ecoli Dx, s.r.o. (270)
- EdgeBio (181)
- Elabscience (34681)
- Elkay (25)
- Elma Schmidbauer GmbH (129)
- Encapsula NanoSciences (17)
- Endotherm (785)
- EnkiLife (30424)
- Enzo Life Sciences (6666)
- Epredia (233)
- EuroClone (431)
- Eurocell (13)
- Everest (6948)
- Excelitas Noblelight GmbH (313)
- FRYKA (24)
- FabGennix (6741)
- Fahsig (3)
- Firebird Optics (52)
- Firefly (915)
- Focus Biomolecules (1685)
- Franz Mensch (19)
- Fritsch (296)
- Fritz Arndt (10)
- Fujifilm Irvine Scientific (1840)
- Fuller (175)
- Fuller Laboratories (10)
- Funke Gerber (110)
- Future Fields (7)
- GA INTERNATIONAL (41)
- GVS (49)
- Ganterie (4)
- Gebra (40)
- GeneDireX (241)
- GeneTex (48410)
- Generic Assays / Medipan (4)
- Genesee Scientific (5549)
- GenomeMe (535)
- Genscript (4240)
- Gentian (8)
- GenuIN Biotechnologies (4281)
- Gerber Instruments (120)
- Gerd Schneider (12)
- Gerhard Analytical Systems (2)
- Glindemann (8)
- Golden Gate Scientific (4)
- Gorr Transporttechnik (26)
- Grant (378)
- Grauer (14)
- Green Mountain Antibodies (110)
- Greiner Bio-One (74)
- Grün-Pumpen (10)
- Guangzhou JET Bio-Filtration (210)
- HCL (23)
- HK-Pack (23)
- HORO Dr. Hofmann (4)
- HUABIO (11327)
- HUMAN (222)
- HWS Labortechnik (71)
- Hahnemühle (327)
- Hailo (5)
- Hanhart Chronographen 1882 (15)
- HansaBioMed (174)
- Hardy Diagnostics (3093)
- Harry Gestigkeit (71)
- Hartmann (37)
- Heathrow Scientific (502)
- Hecht Glaswarenfabrik (236)
- Heidolph (64)
- Heinz Herenz Hamburg (55)
- Hellma (185)
- HelloBio (1480)
- Heraeus Noblelight (72)
- Hettich Benelux (93)
- Hielscher Ultrasonics (30)
- High Purity Standards (1780)
- Hilgenberg (50)
- Hirschmann Laborgeräte (844)
- Honeywell Safety Products (54)
- Hospidex (22)
- Huber (245)
- Huixia (13)
- Hycult (1368)
- Hülden (17)
- Hünersdorff (99)
- IBA (200)
- IBI Scientific (1613)
- ICL (1360)
- IDCP B.V. (55)
- IHC WORLD (635)
- IKA (1196)
- ION Biosciences (119)
- IPHASE Biosciences (1146)
- IQ Products (472)
- ISOHEAT GmbH (155)
- ISOLAB (703)
- Ideal-tek (66)
- Igefa (22)
- ImmuQuest (515)
- ImmunoChemistry Technologies (503)
- ImmunoReagents (1114)
- Immunostep (483)
- Industrial Physics (44)
- Ingenetix (497)
- Interstuhl (95)
- Invent BioTechnologies (80)
- Isca Biochemicals (444)
- JUTEC (23)
- Jackson ImmunoResearch (3942)
- Johann W. Schimmel (11)
- Juchheim Laborgeräte (54)
- Julabo (355)
- KD Scientific (18)
- KGW-Isotherm (195)
- KINEMATICA GmbH (114)
- Kaiser (2)
- Kamiya Biomedical Company (2277)
- Karl Hammacher (124)
- Kartell LABWARE (605)
- Kautex (295)
- Kementec (81)
- Kerafast (4150)
- Kern und Sohn (1465)
- Keter Luxembourg (1)
- Key Surgical (5)
- Kimberly-Clark (81)
- Kleinfeld Labortechnik (13)
- Klett Kunststofftechnik (12)
- Konus Italia Group (22)
- Korff (36)
- Krishgen Biosystems (24290)
- Kroschke (26)
- Krüss (49)
- Kundert Vario (10)
- Köttermann (56)
- LAUDA (127)
- LEHRICH (19)
- LEONHARDY VP (29)
- LGC Standards (60)
- LKT Labs (3157)
- LLG Labware (15028)
- LMS Consult (1)
- LOSCH (1)
- La-Pha-Pack (80)
- Lab-Club (5133)
- Laborgeräte Süd (18)
- Lampire Biological Labs (2118)
- Lamy Rheology (91)
- Langkavel Office + Lab (24)
- Larodan (478)
- Leadgene Biomedical (2422)
- Lenz Laborglas (1422)
- Licefa (1)
- Liebherr (93)
- LifeSpan Biosciences (1295455)
- LifeTein (24)
- Liga Trap Technologies (37)
- Linaris (5847)
- Linker Industrie-Technik (278)
- Liposoma research (100)
- List Biological Labs (81)
- Ludwig Schneider (384)
- Lutz Pumpen (35)
- Lybe Scientific (19)
- MABTECH (1656)
- MAPA (141)
- MBL (4806)
- MEDITE (3)
- MERCK Millipore (92)
- MP Biomedicals Germany (6645)
- MS Validated Antibodies (543)
- Maassen GmbH (17)
- Macherey-Nagel (2085)
- Manulatex (21)
- Marienfeld (158)
- Matriks Biotechnology (101)
- MaxVision Biosciences (112)
- MedNet (12)
- MedSchenker (14)
- MedchemExpress (206220)
- Medix Biochemica (1574)
- Memmert (286)
- Merck (68)
- MetallWarenfabrik Mühlacker (10)
- Mettler-Toledo (610)
- Micros Produktion (17)
- Miele (87)
- Mikromol (6939)
- Millipore (223)
- Mirus Bio (168)
- MoBiTec (325)
- Molecular Dimension (2138)
- Monosan (2572)
- Montana Molecular (189)
- Morgan Advanced Materials (217)
- MyBiosource (2436562)
- NABAS (24)
- NORMA (75)
- NSJ Bioreagents (37697)
- NZYtech (3492)
- Nabertherm (219)
- NanoHelix (186)
- NanoTag Biotechnologies (282)
- Nanoprobes (231)
- Nasco Sampling (49)
- NeXtal (381)
- NeoBiotechnologies (17253)
- Neuromics (2384)
- Nexotech (6)
- Nitritex (131)
- Nordic BioSite (473908)
- Nordic Lab (60)
- NordicMubio (2858)
- Normag (4)
- Normax (4)
- Normensand (1)
- Novelis Deutschland GmbH (16)
- OHAUS (915)
- OLM Diagnostics (3)
- OMNILAB (10)
- ORI (3)
- OSRAM (144)
- OZ Biosciences (605)
- OaCP (114)
- Oasis Diagnostics (14)
- Obermeier (7)
- OncoDianova (14)
- Operon (98)
- Oxford Biomedical Research (955)
- P/S Kunststoffwerke (18)
- PBL Assay Science (138)
- PGP (35)
- PMS TIP TEKNOLOJILERI (45)
- PanPath (692)
- Peak Scientific (7)
- Pfennig Reinigungstechnik GmbH (40)
- Phoenix Instrument (37)
- Phosphosolutions (7)
- Poly-Dtech (76)
- PolyScience (87)
- Pricella Biotechnology (372)
- PrimerDesign (1648)
- ProFoldin (497)
- ProSci (46610)
- ProSpec-Tany Technogene (7023)
- ProteinArk (1162)
- ProteoGenix (31040)
- Qkine (606)
- Quantimetrix (39)
- RD-Biotech (42)
- RJH Biosciences (30)
- ROBU (134)
- ROMMELSBACHER (3)
- RSG Rostfrei (84)
- Randox (2)
- Ratiolab (280)
- Rauschenberger Innovations (4)
- RayBiotech (113105)
- Reagecon (3493)
- Reagena (34)
- Reed Biotech (10523)
- Reitenspieß-Bürsten (97)
- Reliance Biosciences (3)
- Reprocell (266)
- Resch Laborglas (32)
- Retsch (930)
- Rettberg (37)
- RevMAb (461)
- Riken Keiki (30)
- Rische + Herfurth (46)
- Ritter (99)
- Roboscreen (181)
- Rockland Immunochemicals (12668)
- Roland Watzdorf (18)
- Rometsch GmbH (15)
- Rötzmeier Sicherheitsbehälter (76)
- S-Bio (240)
- SCAT Europe GmbH (390)
- SHP (50)
- SOCOREX (366)
- Saint-Gobain (586)
- Salimetrics (57)
- Sanyou Bio (1567)
- Saropack (1)
- Sarstedt (6)
- Sartorius (1819)
- Sceti (3915)
- Scherf Präzision (164)
- Schorpp (9)
- Schott (66)
- Schwan (35)
- Schwegmann Filtrations (31)
- Schweizer (5)
- Schülke und Mayr (13)
- Scientific Industries (83)
- ScyTek Laboratories (2879)
- SeLENOZYME (91)
- Selleck (24037)
- Semperit (67)
- Seramun Diagnostica (33)
- SiLI (17)
- Sievert (2)
- SignalChem (2274)
- SignalChem Diagnostics (776)
- Sileks (16)
- Silnova (20)
- Sino Biological (240903)
- Snoltherm (63)
- Somagenics (164)
- Sonation (4)
- Sonepar Deutschland (4)
- Sontara (9)
- SouthernBiotech (3537)
- Spherotech (1017)
- Starke Laborbedarf (32)
- Starna (25)
- Statens Serum Institut (321)
- StemBioSys (94)
- Sterilin (38)
- Surplus Systems (16)
- Svanova (38)
- Svar Life Science (67)
- Synabs (1241)
- SÖHNGEN (53)
- TENAK (662)
- TFA Dostmann (82)
- TNC Bio (8)
- TOKU-E (2867)
- TargetMol (154646)
- TdB Labs (135)
- The Native Antigen Company (1628)
- Thermax (14)
- Thermo Elect.LED GmbH (1060)
- Thies Clima (2)
- Thomas Pumpen (45)
- Tintometer (458)
- Toronto Bioscience (361)
- Toronto Research Chemicals (93948)
- Trevigen (338)
- Trinity Biotech (51)
- U-CyTech biosciences (341)
- UBPBio, LLC (810)
- UCS Diagnostics (1)
- US Biological (617864)
- USBECK (240)
- Umweltanalytik Holbach (12)
- Unigloves (271)
- Ushio (36)
- VIDIA (114)
- VITRO (2246)
- VMRD (275)
- VOLTRONIC (35)
- VWR (26)
- Vacuubrand (417)
- Vazyme Biotech (991)
- Vector Biolabs (536)
- Vector Laboratories (2564)
- VectorBuilder (537)
- Velp Scientifica (189)
- Vikan (90)
- Virax Biolabs (94)
- ViroStat (1323)
- Virusys (160)
- VmP (8)
- WEDO (38)
- Waldmann (2)
- Waring (17)
- Water-i.d. (105)
- Werner Arzneimittel (1)
- Wilhelm Schröder (9)
- Wolf Maschinenbau AG (4)
- Württ. Drahtwarenfabrik (66)
- Württembergische Allplastik (14)
- Xylem Analytics (660)
- Yashraj Biotechnology (55)
- YouSeq (681)
- ZIRBUS technology (62)
- ZVG Zellstoffvertrieb (38)
- ZellBio (809)
- Zytomed Systems (7764)
- asecos (100)
- baseclick (243)
- biomedis (2)
- dianova (1622)
- edding (140)
- eutecma (18)
- eversyn (8)
- helo (4)
- highQu (125)
- interscience (88)
- magtivio (227)
- messner emtronic (21)
- nanoComposix (530)
- nanoimmunotech (214)
- peptides and elephants (1871)
- proQuarz (49)
- reddot Biotech (34636)
- schuett-biotec (234)
- stakpure (79)
- tec-lab (17)
- tesa (5)
- trenzyme (194)
- uvex (370)
Clone Designation
- [0111] (1)
- [0112] (1)
- [0113] (1)
- [0115] (1)
- [0116] (1)
- [0119] (1)
- [0195] (1)
- [0221] (1)
- [0223] (1)
- [0231] (1)
- [0235] (1)
- [0256] (1)
- [0261] (1)
- [0371] (1)
- [0521] (1)
- [0531] (1)
- [0541] (1)
- [0551] (1)
- [0561] (1)
- [056b-214.2.4.2] (1)
- [0581] (1)
- [0631] (1)
- [0641] (1)
- [0651] (1)
- [0671] (1)
- [0681] (1)
- [0811] (1)
- [0826] (1)
- [0841] (1)
- [0851] (1)
- [0885] (1)
- [0887] (1)
- [0891] (1)
- [0896] (1)
- [0897] (1)
- [0898] (1)
- [1-35-1] (1)
- [1.1-5a9-2d05] (1)
- [1.1_1a7-2b7] (1)
- [1.1_2d3-2h3] (1)
- [1.1_2d4-1a3] (1)
- [1.1_3h10-1d11] (1)
- [1.1_6c7-2c5] (1)
- [1.2-2b11-2g10] (1)
- [1.2_2h5-1c10] (1)
- [1.2_3d7-1d11] (1)
- [1.2_3e8-2h6-2b6] (1)
- [1.2_4g1-1g4-1c9] (1)
- [1.2_5g3-1d7] (1)
- [1.2b6] (6)
- [1.3-13a05-2d09] (1)
- [1.3.3.22] (3)
- [1.3_17h09-02c06] (1)
- [1.3_1c6-1d3] (1)
- [1.3_4f11-2g3] (1)
- [1.g11b1] (4)
- [1/ 9] (1)
- [10.1.d2] (5)
- [10.1] (2)
- [10.32] (2)
- [100/d5] (1)
- [101-1d2] (1)
- [1011] (1)
- [104] (26)
- [1061] (1)
- [1063] (1)
- [107] (1)
- [108-2c5] (1)
- [108a429 ] (1)
- [10a1] (1)
- [10a2] (3)
- [10b12] (1)
- [10b1] (2)
- [10b1d7a9 / 10b1d7e12] (1)
- [10b2] (1)
- [10b3] (1)
- [10b3d3] (1)
- [10b7] (1)
- [10c10] (2)
- [10c4] (1)
- [10c5e11] (1)
- [10c5f12] (1)
- [10c5g1] (1)
- [10c6] (1)
- [10d4g7] (1)
- [10d5f4] (1)
- [10e5] (4)
- [10f.9g2] (5)
- [10f381 rituximab] (2)
- [10f8d7] (1)
- [10g6] (1)
- [10h6] (1)
- [10h7d2] (1)
- [10h] (1)
- [11-25] (2)
- [11-4.1] (1)
- [1108-1] (1)
- [111-1c5] (1)
- [111] (1)
- [113-1] (1)
- [1131] (1)
- [1133] (1)
- [1141ct26.2.1] (1)
- [1154] (1)
- [1161] (1)
- [1171] (1)
- [1181] (1)
- [11b11] (10)
- [11b4] (1)
- [11c1.3] (3)
- [11c12] (1)
- [11d1] (1)
- [11e3] (2)
- [11e4.] (1)
- [11g12c11] (1)
- [12-15] (5)
- [122.2] (1)
- [1221] (1)
- [1224] (1)
- [1226] (1)
- [1231] (1)
- [1233] (1)
- [123c3.d5] (1)
- [124-1d1] (1)
- [1241] (1)
- [1243] (1)
- [124] (1)
- [125-2h] (2)
- [1254] (1)
- [1256] (1)
- [1258] (1)
- [1259] (1)
- [12a7d7] (1)
- [12b2] (1)
- [12d1] (1)
- [12d3d5] (2)
- [12d3h9] (1)
- [12d9] (1)
- [12f6] (2)
- [12f7] (1)
- [12g5] (1)
- [12g6] (1)
- [12h6] (1)
- [133-1c6] (1)
- [1330] (1)
- [1331] (1)
- [1333] (1)
- [134-2c2] (4)
- [1341] (1)
- [1343] (1)
- [135-4c5] (1)
- [136-4b5] (1)
- [1361] (1)
- [1371] (1)
- [1373] (1)
- [1381] (1)
- [13a9] (1)
- [13b8.2] (2)
- [13c2] (3)
- [13c4] (1)
- [13d6] (2)
- [13e4] (1)
- [13e8d3] (1)
- [13f11] (1)
- [13f3] (2)
- [13f42-f6] (1)
- [13r4] (17)
- [14-4-4s] (5)
- [14.1] (2)
- [1415-1] (1)
- [143-30] (4)
- [1431] (1)
- [1433] (1)
- [145-2c11] (31)
- [1461] (1)
- [1463] (1)
- [1471] (1)
- [147] (1)
- [1481] (1)
- [1491] (1)
- [14b11] (4)
- [14b2d] (1)
- [14b3d] (1)
- [15-5-5 ] (1)
- [15-5-5] (3)
- [15.2] (15)
- [152-1d5] (1)
- [156-3c11] (1)
- [156-4h9] (2)
- [158-4d3] (1)
- [15b8] (1)
- [15b9-1-2] (1)
- [15f11] (1)
- [16-10a1] (9)
- [16-3-22s] (4)
- [161-2 53/2] (2)
- [1681] (1)
- [1683] (1)
- [1685] (1)
- [169-1b5.2] (1)
- [16b1] (2)
- [16c10] (2)
- [16e7] (2)
- [17-142f] (1)
- [17-3-3] (4)
- [1718] (1)
- [17a2] (15)
- [17a9] (1)
- [17b1.3] (2)
- [17b4] (7)
- [17b7] (3)
- [180-d-2] (1)
- [1825] (1)
- [1826] (1)
- [1827] (1)
- [1828] (1)
- [1834] (1)
- [1835] (1)
- [1836] (1)
- [1837] (1)
- [1838] (1)
- [1847] (1)
- [1848] (1)
- [185-1g2 b467] (2)
- [185-1g2] (1)
- [1851] (1)
- [1857] (1)
- [1858] (1)
- [1859] (1)
- [186-2g9] (1)
- [1862] (1)
- [1863] (1)
- [1864] (1)
- [1865] (1)
- [1866] (1)
- [1867] (1)
- [1868] (1)
- [1876] (1)
- [1877] (1)
- [1878] (1)
- [1879] (1)
- [1881] (1)
- [1885] (1)
- [1892] (1)
- [1893] (1)
- [1894] (1)
- [18b12] (2)
- [18d3] (4)
- [18d4] (1)
- [18h2] (1)
- [19-ole] (1)
- [190-2f2.5] (1)
- [1911] (1)
- [193-27] (3)
- [1941] (1)
- [1943] (1)
- [1946] (1)
- [1947] (1)
- [1948] (1)
- [1949] (1)
- [1981] (1)
- [19b640.1] (1)
- [1a-10] (2)
- [1a2e3] (1)
- [1a2g3] (1)
- [1a6] (1)
- [1a7b8] (1)
- [1a8] (17)
- [1a9] (1)
- [1b1.3a] (2)
- [1b10] (1)
- [1b10f3] (1)
- [1b1] (2)
- [1b1a9] (1)
- [1b2f2 / 1b2e5] (1)
- [1b4] (4)
- [1b4f1] (1)
- [1b6] (1)
- [1b7b4] (1)
- [1b8] (5)
- [1c10] (7)
- [1c10e8 / 9a3f2] (1)
- [1c11] (1)
- [1c1] (2)
- [1c2c8] (1)
- [1c2h4] (1)
- [1c3h9] (1)
- [1c6] (3)
- [1c7] (2)
- [1c7c7] (1)
- [1d11.16.8] (1)
- [1d1b12] (2)
- [1d2] (2)
- [1d3] (19)
- [1d4] (2)
- [1d4b] (3)
- [1d4h8] (1)
- [1d6] (2)
- [1d7] (1)
- [1e12e10] (2)
- [1e4] (1)
- [1e6] (2)
- [1e6a7] (1)
- [1e7d8] (1)
- [1e7e8.g4] (1)
- [1e8-g6] (1)
- [1e8.] (1)
- [1f11] (1)
- [1f3b3] (1)
- [1f4] (2)
- [1f5] (1)
- [1f8b10b7] (1)
- [1f8d11] (1)
- [1f9] (1)
- [1g10] (7)
- [1g12] (1)
- [1g12h5] (3)
- [1g1] (1)
- [1g4] (1)
- [1g5] (1)
- [1g5g9c] (1)
- [1g5h7] (3)
- [1g6a7] (1)
- [1g8d11] (1)
- [1g9] (4)
- [1g9h9] (1)
- [1h10d2] (1)
- [1h12] (1)
- [1h1] (1)
- [1h1b11] (1)
- [1h3] (1)
- [1h4] (2)
- [1h6] (1)
- [1h6h6] (1)
- [1h7a] (2)
- [1h8] (1)
- [1h9] (1)
- [1pn6n8] (1)
- [1q8g7] (1)
- [2.1_3c12-2d11] (1)
- [2.1_4e10-1h11] (1)
- [2.2-4h5-01a11] (1)
- [2.43] (13)
- [2.4g2] (10)
- [2.52] (1)
- [2.81] (1)
- [2001] (1)
- [2002] (1)
- [2003] (1)
- [2006] (1)
- [202.36] (1)
- [203.6] (1)
- [204.12] (1)
- [20d5] (4)
- [20g10] (1)
- [20rntc] (2)
- [21-1a4] (4)
- [21.6] (2)
- [2103] (1)
- [2121] (1)
- [2146] (3)
- [2165] (3)
- [2196] (3)
- [21a1] (1)
- [2213] (1)
- [2215] (1)
- [22a5] (3)
- [235-1] (1)
- [2355] (1)
- [2381] (1)
- [2386] (1)
- [23c6] (1)
- [246-b8.e7] (1)
- [24f] (3)
- [25-9-3] (3)
- [256-e] (1)
- [27-11-13s] (5)
- [27b1047.1] (1)
- [27b2] (1)
- [28-14-8] (6)
- [2838] (1)
- [28] (4)
- [29a1.4] (2)
- [2a10] (1)
- [2a10f3] (1)
- [2a11] (3)
- [2a1] (1)
- [2a1h5e1] (1)
- [2a3] (2)
- [2a3e6] (1)
- [2a6] (1)
- [2a7] (1)
- [2a8f6] (1)
- [2a9g5] (1)
- [2b11] (4)
- [2b12] (2)
- [2b2d1 / 2b2a11] (1)
- [2b3] (1)
- [2b4a1] (4)
- [2b5] (1)
- [2b6] (1)
- [2b7] (1)
- [2b8] (10)
- [2ba6] (1)
- [2c10] (1)
- [2c12] (2)
- [2c12h6] (1)
- [2c2c12] (3)
- [2c3] (2)
- [2c4] (4)
- [2c6] (1)
- [2c7] (1)
- [2c8b8 / 2c8e8] (1)
- [2c9.g3] (2)
- [2d10.4] (6)
- [2d10] (10)
- [2d11-h5 or ins05] (1)
- [2d1] (4)
- [2d3] (2)
- [2d4a5] (1)
- [2d4a7] (1)
- [2d6] (8)
- [2d7] (1)
- [2d8.d11] (1)
- [2d9] (1)
- [2d9a12] (1)
- [2e-10.] (1)
- [2e10] (1)
- [2e12] (1)
- [2e2b6b10] (1)
- [2e3] (2)
- [2e3g3 / 2g9g1] (1)
- [2e4] (2)
- [2e7] (5)
- [2e9c2] (1)
- [2f11] (5)
- [2f11g1] (3)
- [2f12] (1)
- [2f1] (15)
- [2f4-11-1] (1)
- [2f5] (1)
- [2f6] (1)
- [2f7] (7)
- [2f7b2] (1)
- [2g10] (1)
- [2g11] (4)
- [2g11d5] (1)
- [2g4] (1)
- [2g4e12] (1)
- [2g5.g3] (1)
- [2g7-25-3] (1)
- [2g8] (8)
- [2h11 or tgb04] (1)
- [2h12] (1)
- [2h12b8] (1)
- [2h2f10] (1)
- [2h2g9] (1)
- [2h3] (1)
- [2h3d1,8f6f9] (1)
- [2h5] (3)
- [2h5h2] (1)
- [2h7] (6)
- [2h8d7] (1)
- [2kri7] (1)
- [2m8m3] (1)
- [3-298] (5)
- [3-4f4] (4)
- [3.3-1g1-2g7-2f6] (1)
- [3.7c4] (2)
- [3.9] (15)
- [3/23] (2)
- [30-f11] (12)
- [30-f1] (7)
- [30-h12] (15)
- [314g8] (1)
- [31a3] (1)
- [31g7] (1)
- [32-g1] (2)
- [3217] (1)
- [323/a3] (1)
- [336] (1)
- [33ct11.40.3] (1)
- [34-1-2s] (7)
- [34-5-3] (1)
- [34-5-8s] (4)
- [341] (1)
- [346-11a] (2)
- [34be12] (1)
- [3531] (1)
- [3535] (1)
- [3571] (1)
- [3572] (1)
- [3573] (1)
- [3574] (1)
- [3575] (1)
- [3576] (1)
- [36-7-5] (4)
- [37.51] (10)
- [371-4] (1)
- [3801] (1)
- [3811] (1)
- [3851] (1)
- [3861] (1)
- [3862] (1)
- [3863] (1)
- [3864] (1)
- [3865] (1)
- [3866] (1)
- [3867] (1)
- [3868] (1)
- [3869] (1)
- [3871] (1)
- [3872] (1)
- [3873] (1)
- [3877] (1)
- [3878] (1)
- [3879] (1)
- [38] (7)
- [38f3] (1)
- [390] (8)
- [39c7] (1)
- [3a10a12] (1)
- [3a1] (2)
- [3a1e] (2)
- [3a2b8c] (1)
- [3a33] (10)
- [3a5] (1)
- [3a6f7c7] (1)
- [3b10-5b10] (1)
- [3b10] (1)
- [3b11e4] (1)
- [3b11h2] (1)
- [3b12f3f10 / 2d2b11b11 / 2d2b11h5] (1)
- [3b3.e11] (1)
- [3b3] (3)
- [3b5] (1)
- [3b6] (2)
- [3b6a9 / 3b6b11] (1)
- [3c10f7 / 3c10g5 / pmc01 / 4d12b3] (1)
- [3c12c12] (1)
- [3c1] (4)
- [3c1c3] (1)
- [3c4] (5)
- [3c5] (1)
- [3c7] (8)
- [3c8] (2)
- [3c8b1] (1)
- [3d10] (1)
- [3d12] (4)
- [3d12e10] (1)
- [3d2] (1)
- [3d2a4] (1)
- [3d3] (1)
- [3d5] (15)
- [3d6.112 recombinant version] (2)
- [3d7] (2)
- [3d9] (1)
- [3e12] (2)
- [3e2d10] (1)
- [3e2f1] (1)
- [3e3] (2)
- [3e4d8] (1)
- [3e8] (1)
- [3e8a5] (1)
- [3e9h5] (1)
- [3e] (1)
- [3f10a5 / 3f8a12] (1)
- [3f12.2d3] (2)
- [3f12f3] (1)
- [3f1] (3)
- [3f1e3] (1)
- [3f2] (2)
- [3f2c2] (1)
- [3f4-1d9] (1)
- [3f4] (2)
- [3f5] (1)
- [3f6h5] (1)
- [3f7b5] (1)
- [3f8] (1)
- [3f8d5] (1)
- [3g2e1d9] (1)
- [3g3] (7)
- [3g4] (1)
- [3g4b6] (1)
- [3g5c1] (1)
- [3g7] (3)
- [3g8] (5)
- [3h11] (1)
- [3h1g4] (1)
- [3h2] (2)
- [3h5] (2)
- [3h6d12 / 4h9c8 / 4h9f1] (1)
- [4-4-20 enhanced] (17)
- [4.62] (2)
- [4/12] (2)
- [40101] (1)
- [41b436] (1)
- [42g12] (1)
- [439-9b] (1)
- [44c143] (1)
- [45f9] (1)
- [45m1] (1)
- [48a10] (1)
- [4901] (2)
- [4911] (1)
- [4965] (1)
- [4966] (1)
- [4967] (1)
- [4a10] (1)
- [4a11] (1)
- [4a11a6g11] (1)
- [4a12] (1)
- [4a1w0] (1)
- [4a2] (2)
- [4a4a10] (3)
- [4a6] (3)
- [4a6f3] (2)
- [4b10] (1)
- [4b10b2] (1)
- [4b12] (2)
- [4b2-8] (1)
- [4b3] (1)
- [4b4-1-1] (2)
- [4b4d1] (1)
- [4b6g10] (1)
- [4c4.9] (1)
- [4c4] (2)
- [4c6-h8] (1)
- [4c7] (1)
- [4d10a6] (1)
- [4d12] (1)
- [4d1j6] (1)
- [4d2d9g8] (1)
- [4d4] (3)
- [4d5-8 trastuzumab] (2)
- [4d6] (1)
- [4e10] (1)
- [4e10c10] (1)
- [4e11] (1)
- [4e11e1] (1)
- [4e5c3] (1)
- [4e7e10] (1)
- [4f10] (5)
- [4f1f2] (1)
- [4f2] (1)
- [4f6] (4)
- [4f8e8h8] (1)
- [4f9c10] (1)
- [4g6e11] (1)
- [4g7] (2)
- [4g9] (1)
- [4h11] (4)
- [4h1c10] (1)
- [4h3] (3)
- [4h6h6] (1)
- [4h8 wh2] (2)
- [4h8] (1)
- [4h8e6] (6)
- [4h8h8e2c] (1)
- [4n2q9] (1)
- [4nmt-3] (1)
- [4s.b3] (5)
- [5-11g2] (4)
- [5-2h10] (1)
- [500-a2] (9)
- [500a2] (2)
- [5051] (1)
- [5061] (1)
- [5091] (1)
- [5095] (1)
- [51.1] (1)
- [5111] (1)
- [5131] (1)
- [5152] (1)
- [5153] (1)
- [5155] (1)
- [5156] (1)
- [5157] (1)
- [5158] (1)
- [5159] (1)
- [5161] (1)
- [5175] (1)
- [5176] (1)
- [5177] (1)
- [5178] (1)
- [5191] (1)
- [528] (2)
- [53-6.7] (38)
- [53-7.3] (5)
- [53ct32.19.3] (1)
- [57] (1)
- [57p06] (1)
- [5a11e9] (1)
- [5a11g5] (1)
- [5a1f5e12 / 5a1h7e12] (1)
- [5a3h5d5fc / 5a3b11b5] (1)
- [5a8a4 / 3g8d12] (1)
- [5b-12b7] (1)
- [5b-3b1] (1)
- [5b12] (1)
- [5b1b] (1)
- [5b3-d5] (1)
- [5b3] (1)
- [5b7] (1)
- [5b7b6] (1)
- [5b9-2-1] (1)
- [5c12] (2)
- [5c3] (4)
- [5c6 recombinant version] (2)
- [5c6c] (2)
- [5d12] (2)
- [5d2a4 / 5d2a10] (1)
- [5d2c4 / 8d8c12] (1)
- [5d3] (1)
- [5d5d2] (1)
- [5d7] (1)
- [5d9] (1)
- [5e10] (4)
- [5e11.] (1)
- [5e11] (1)
- [5e2] (1)
- [5e5e3] (1)
- [5e6] (1)
- [5e8-g9-b4] (4)
- [5e8] (1)
- [5f11] (1)
- [5g10] (1)
- [5g12g11] (1)
- [5g3] (2)
- [5g5h7] (2)
- [5g7] (5)
- [5g8] (1)
- [5h10.27] (4)
- [5h10] (2)
- [5h11] (1)
- [5h1] (1)
- [5h4] (8)
- [5h4c5] (1)
- [5h6] (1)
- [5t6c4] (1)
- [6-5e-10b] (1)
- [6-5e-3f] (1)
- [60.1] (1)
- [60.3] (2)
- [6006] (1)
- [6007] (1)
- [6008] (1)
- [6031] (1)
- [6041] (1)
- [608] (1)
- [61d3] (20)
- [6201] (1)
- [6203] (1)
- [6231] (1)
- [6241] (1)
- [6261] (1)
- [6271] (1)
- [6273] (1)
- [6331] (1)
- [6371] (1)
- [6381] (1)
- [6401] (1)
- [6402] (1)
- [6405] (1)
- [6507] (1)
- [6509] (1)
- [6541] (1)
- [6551] (1)
- [66.4.c2] (1)
- [6621] (1)
- [6631] (1)
- [6641] (1)
- [6651] (1)
- [6661] (1)
- [6671] (1)
- [66c1247.1] (1)
- [66ig10] (1)
- [66iic7] (1)
- [68-5a5] (1)
- [68c1039.2] (1)
- [695h1-9-9] (4)
- [6a5] (1)
- [6a6] (2)
- [6a7] (3)
- [6a8] (1)
- [6b12] (1)
- [6b3] (1)
- [6b4b5] (1)
- [6c1a8] (3)
- [6c4] (4)
- [6d11a11] (1)
- [6d1] (1)
- [6d2] (1)
- [6d5] (10)
- [6d8] (1)
- [6d9a16c12b1] (1)
- [6d9a1] (1)
- [6e1 or tgb05] (1)
- [6e10] (2)
- [6e4c4] (1)
- [6f4] (1)
- [6f4c8] (1)
- [6f7] (1)
- [6f9] (1)
- [6g12c2] (1)
- [6g2f1 / 6g2f2] (1)
- [6g9] (2)
- [6g9b9] (1)
- [6h10] (1)
- [6h2.b4] (1)
- [6h6] (2)
- [6l2x3] (1)
- [7.2] (3)
- [7.3] (1)
- [7111] (1)
- [72-1665] (2)
- [7217] (1)
- [7218] (1)
- [7341] (1)
- [7351] (1)
- [735] (2)
- [74-12-4] (6)
- [74-22-15] (4)
- [7514] (1)
- [7515] (1)
- [7582] (1)
- [7583] (1)
- [7585] (1)
- [75g5a] (1)
- [76-2-11] (6)
- [76-7-4] (4)
- [76-e6] (2)
- [763] (1)
- [7711] (1)
- [7721] (1)
- [7731] (1)
- [7801] (1)
- [7811] (1)
- [7821] (1)
- [7825] (1)
- [7826] (1)
- [7827] (1)
- [7931] (1)
- [7935] (1)
- [7937] (1)
- [7941] (1)
- [7a10] (1)
- [7a11b1] (1)
- [7a2] (1)
- [7a4d12] (1)
- [7a7] (2)
- [7b2.5] (4)
- [7b3] (1)
- [7b5] (1)
- [7b7] (1)
- [7b9b2] (1)
- [7b9e12] (1)
- [7b9f12] (1)
- [7b9h9] (1)
- [7c10] (1)
- [7c11h11] (1)
- [7c1] (1)
- [7c2b] (1)
- [7c5] (1)
- [7c5g1h6h10] (1)
- [7c7] (1)
- [7d10u4] (1)
- [7d11a8] (1)
- [7d3-e3] (1)
- [7d4] (8)
- [7d7b11] (1)
- [7e10] (2)
- [7e10d5 / 7e10e8] (1)
- [7e1b] (1)
- [7e3 abciximab] (2)
- [7e3c5] (1)
- [7e5] (1)
- [7e5g1] (1)
- [7f12h4] (1)
- [7f1] (2)
- [7f2d7] (1)
- [7f2g10] (1)
- [7f4] (3)
- [7f6-g5-a2 / 7f6] (1)
- [7g1c10] (1)
- [7g1g10] (1)
- [7g2r4] (1)
- [7g3b1] (1)
- [7g3h4] (1)
- [7g6] (3)
- [7h10b4] (1)
- [7h10b9] (1)
- [7h12f6] (1)
- [7h1g1] (1)
- [7h6] (2)
- [7h8.2c12] (1)
- [7h8c4] (1)
- [7le] (1)
- [8.7] (1)
- [8112] (1)
- [8114] (1)
- [8116] (1)
- [8118] (1)
- [83-14] (2)
- [83-7] (2)
- [84-3c1] (2)
- [84c4a] (1)
- [84d7] (1)
- [85b4] (1)
- [85c10] (1)
- [85c1] (1)
- [85e9] (1)
- [8a1] (2)
- [8a1a6] (3)
- [8a4] (1)
- [8a5] (1)
- [8b2f7] (1)
- [8b3a11] (1)
- [8b5] (1)
- [8b6] (2)
- [8c11] (1)
- [8c12] (3)
- [8c12g10g1] (1)
- [8c4c4] (1)
- [8c5] (1)
- [8c6d4b1] (1)
- [8d10c9] (1)
- [8d1h8f4] (1)
- [8d4-8] (2)
- [8d4] (1)
- [8d5b4c11] (1)
- [8d7b4 / 8d7d4 / 7h6b2 / 7h6b12] (1)
- [8d7e11] (3)
- [8e11] (1)
- [8e12] (2)
- [8e5.] (1)
- [8e5] (2)
- [8e5f9 / 4b2c7] (1)
- [8f12c6b8] (1)
- [8f1a7] (1)
- [8f5.1a9] (2)
- [8f8c0] (1)
- [8f9g2] (2)
- [8f9g7] (1)
- [8g10a1] (1)
- [8g10b1] (1)
- [8g10c8] (1)
- [8g12] (1)
- [8g1] (1)
- [8g1b12] (1)
- [8g3b6] (1)
- [8g7g3/1] (1)
- [8g8a] (2)
- [8g8e9 / 8g9h5] (1)
- [8g9] (3)
- [8h4] (1)
- [8l8t2] (1)
- [9.88] (1)
- [90] (7)
- [91] (7)
- [93-1b3] (1)
- [93] (9)
- [9a11b9] (1)
- [9a2f8] (1)
- [9a4b3] (1)
- [9b1] (2)
- [9b7e5] (1)
- [9b9] (4)
- [9c1a3] (1)
- [9d10b7] (1)
- [9d10b7h6 / 9d10a8f8] (1)
- [9d10d1] (1)
- [9d5g1] (1)
- [9d7] (2)
- [9d7r3] (1)
- [9d9] (2)
- [9e10] (17)
- [9e12d9] (1)
- [9e1] (1)
- [9e4] (1)
- [9e7e7 / 5g3f10] (1)
- [9e8] (2)
- [9f1b1] (1)
- [9f3d11] (1)
- [9f7e4] (1)
- [9f9] (1)
- [9g10] (1)
- [9g1] (1)
- [9g6c6] (1)
- [9g7f12] (1)
- [9h10] (4)
- [9h5a8] (1)
- [9h6b4] (1)
- [a-1] (4)
- [a.4.6.1] (1)
- [a103] (1)
- [a10] (3)
- [a11] (2)
- [a12] (2)
- [a20] (26)
- [a35] (1)
- [a53-b/a2.26] (1)
- [a54 scfv] (1)
- [a5b7] (2)
- [a6.4.12] (1)
- [a67-b/e3] (1)
- [a68-b/a11] (1)
- [a70-a/a9] (1)
- [a7c3] (1)
- [a7l6] (1)
- [a7r34] (17)
- [aa10] (1)
- [aa1] (1)
- [aact/1451] (1)
- [aact/1452] (1)
- [aat/1378] (1)
- [aat/1379] (1)
- [ab-1] (1)
- [abl-93] (3)
- [ac18f] (2)
- [ac384] (2)
- [acck1-1] (1)
- [accp/1338] (1)
- [ack2] (9)
- [acp5/1070] (1)
- [ad2] (2)
- [adct1-1] (1)
- [adfp/1366] (1)
- [adfp/1493] (1)
- [adfp/1494] (1)
- [adpn1-1] (1)
- [adpq-1] (1)
- [adri-1] (1)
- [ae-1] (1)
- [ae-2] (1)
- [ae1] (1)
- [aer-37 cra1] (2)
- [aer-37] (1)
- [af5] (2)
- [af6229] (1)
- [afl4] (1)
- [afs98] (10)
- [ag103] (1)
- [agr2105] (1)
- [ah26] (1)
- [ah9r2] (2)
- [ahdh1-1] (1)
- [ahe-1] (1)
- [aht107] (2)
- [aisb12] (2)
- [ait 158d] (1)
- [ak-4] (2)
- [alb/398] (1)
- [alme-1] (2)
- [alpl/597] (1)
- [alpp/870] (1)
- [amacr/1723] (1)
- [andrc-1] (1)
- [apn/514] (1)
- [apo-1-3] (1)
- [aprily-1] (1)
- [aprily-8] (1)
- [ar12] (1)
- [arbc2-1] (1)
- [arbx-1] (1)
- [arc1439] (1)
- [arc2372] (1)
- [arc2373] (1)
- [arcitumomab] (2)
- [arg1/1126] (1)
- [astro/789] (1)
- [at107-2] (1)
- [at10] (2)
- [at113-2] (2)
- [at13/5] (2)
- [at130-5] (2)
- [at161-10] (2)
- [at161-8] (2)
- [at1] (1)
- [at1d1] (1)
- [at3a2] (1)
- [at4e12] (1)
- [aurkb/1521] (1)
- [av20] (4)
- [av6] (6)
- [av7] (4)
- [avas12a1] (3)
- [b-b12] (1)
- [b-f10] (1)
- [b-f12] (1)
- [b-k9 c106-k9] (2)
- [b-ly1] (11)
- [b1-8] (17)
- [b11] (1)
- [b18.1] (1)
- [b19.1] (6)
- [b1d8] (1)
- [b27] (5)
- [b2m/961] (1)
- [b33/20] (1)
- [b38] (1)
- [b486a1] (1)
- [b5c1] (1)
- [b6.2] (1)
- [b6h12.2] (1)
- [b72.3 satumomab] (2)
- [b72.3] (1)
- [b8b0] (1)
- [b9e9] (1)
- [bag 75e5] (2)
- [bag-85d10] (2)
- [bamboo-1] (1)
- [bamboo-2] (2)
- [basiliximab] (2)
- [bb23-8e6] (4)
- [bb6-10a10] (4)
- [bb6-11c9.6] (4)
- [bbm.1] (2)
- [bc96] (9)
- [bcck1-1] (1)
- [bceip1] (1)
- [bcl6/1475] (1)
- [bcl6/1526] (1)
- [bcl6/1527] (1)
- [bclb1-1] (1)
- [bcld1-1] (1)
- [bcph1] (1)
- [ber-h2] (4)
- [bevacizumab] (2)
- [bgran9] (1)
- [bh1] (1)
- [bion-1] (2)
- [bl10/411] (1)
- [bm-1] (1)
- [bm-2] (1)
- [bm8.1] (14)
- [bni3] (7)
- [bp53-12] (1)
- [br96] (2)
- [bra-11] (1)
- [bra-4f1] (2)
- [brca1/1398] (1)
- [brca1/1472] (1)
- [brd469] (1)
- [brd494] (1)
- [brg-01] (1)
- [bt164] (2)
- [bu20a] (1)
- [bu45] (1)
- [bu63] (1)
- [buffy-1] (2)
- [buffy-2] (1)
- [bv13] (2)
- [bv16] (2)
- [bvd10-11c10] (2)
- [bvd10-40f6] (2)
- [bvd11-37g10] (2)
- [bvd13-3a5] (2)
- [bvd2-21c11] (3)
- [bvd2-23b6] (2)
- [bvd3-1f9] (2)
- [bvd4-1d11] (2)
- [bvd6-24g2] (2)
- [bvd8-3g11] (2)
- [bx006] (1)
- [bz194] (2)
- [bz2e3] (2)
- [bz5b8] (2)
- [c-04 or ks18.04] (1)
- [c-a11] (1)
- [c117/370] (1)
- [c11] (1)
- [c11l34] (2)
- [c15] (1)
- [c17.8] (4)
- [c19/366] (1)
- [c1a/1506r] (1)
- [c1a/711] (1)
- [c209/1781] (1)
- [c225 cetuximab] (2)
- [c257/1638] (1)
- [c264] (4)
- [c28/1636] (1)
- [c28/75] (1)
- [c28/77] (1)
- [c31.12] (1)
- [c31.3] (1)
- [c31.7] (1)
- [c31/1395r] (1)
- [c363.16a] (5)
- [c363.29b] (8)
- [c3e/1308] (1)
- [c4/206] (1)
- [c455.1f] (4)
- [c4d204] (1)
- [c5/473] (1)
- [c6/372] (1)
- [c66/1009] (1)
- [c66/1030] (1)
- [c66/1260] (1)
- [c66/195] (1)
- [c66/261] (1)
- [c68/684] (1)
- [c7/511] (1)
- [c71/16] (5)
- [c8/1035] (1)
- [c8/144b] (1)
- [c8/1779r] (1)
- [c8/468] (1)
- [c80/1608] (1)
- [c86/1146] (1)
- [c9b7w] (2)
- [ca19.9/1390r] (1)
- [ca2 infliximab] (2)
- [ca72/733] (1)
- [cagb/426] (1)
- [cald1/1424r] (1)
- [calp] (1)
- [campath-1h] (2)
- [camvir-1] (1)
- [canx/1541] (1)
- [cas3836] (1)
- [cat-13.1e10] (2)
- [cat-13.6e12] (1)
- [cat-13.9c1] (2)
- [cata-1] (1)
- [cb-calla] (4)
- [cb16] (3)
- [cb28] (1)
- [cb3-1] (6)
- [cb30] (1)
- [cb3] (3)
- [cb5.4] (1)
- [cbad9-1] (1)
- [cbrm1/5] (1)
- [cbt6] (2)
- [cc49] (1)
- [ccgd1] (1)
- [ccm661] (1)
- [ccnd1/809] (1)
- [cd28.2] (13)
- [cd30/412] (1)
- [cd44v4/1219] (1)
- [cd44v4/1700r] (1)
- [cd44v6/1246] (1)
- [cd44v9/1459] (1)
- [cd5/54/f6] (1)
- [cdh1/1525] (1)
- [cdh16/1071] (1)
- [cdh16/1532r] (1)
- [cdh2/1573] (1)
- [cdk1/873] (1)
- [cdla106] (1)
- [cdla146] (1)
- [cdla147] (1)
- [cdla15-1] (1)
- [cdla20-1] (1)
- [cdla271] (1)
- [cdla30-1] (1)
- [cdla34-1] (1)
- [cdla43] (1)
- [cdla45ra-1] (1)
- [cdla45rb-1] (1)
- [cdla45ro-1] (1)
- [cdla50-1] (1)
- [cdla56] (1)
- [cdla57] (1)
- [cdla59-1] (1)
- [cdla63-1] (1)
- [cdla68-1] (1)
- [cdla71] (1)
- [cdla74-1] (1)
- [cdla79a-1] (1)
- [cdla86] (1)
- [cdla99] (1)
- [cdp 571 humicade] (2)
- [cdsm-3] (1)
- [cdvc2-1] (1)
- [cdx2/1690] (1)
- [ce2.10] (1)
- [ce9.1 clenoliximab] (2)
- [cea31] (1)
- [cela3b/1218] (1)
- [cela3b/1257] (1)
- [cela3b/1757] (1)
- [cf-145] (1)
- [cftr/1341] (1)
- [cftr/1643] (1)
- [cftr/1775r] (1)
- [cftr/1785] (1)
- [cftr1-1] (1)
- [cga/413] (1)
- [cga/414] (1)
- [cga91-2] (1)
- [cgb63] (1)
- [chga/1773r] (1)
- [chga/765] (1)
- [chga/777] (1)
- [chga/798] (1)
- [chi220] (2)
- [cia] (4)
- [cip1/823] (1)
- [cl10] (1)
- [cl:a3-1 recombinant version] (2)
- [clc/1421] (1)
- [clda117] (1)
- [clda1a] (1)
- [clda5-1] (1)
- [clda6-1] (1)
- [clda8a-1] (1)
- [cldc20-1] (1)
- [clh5] (1)
- [cli-9] (1)
- [clint-1] (1)
- [clip/1407] (1)
- [clip/1418] (1)
- [clip/1449] (1)
- [clip/813] (1)
- [clone 25] (2)
- [clpn5-1] (1)
- [cltc/1431] (1)
- [cmrf14] (2)
- [cmssb] (4)
- [cmv100] (1)
- [cmv101] (1)
- [cnn1/1408r] (1)
- [cnn1/832] (1)
- [col-1] (1)
- [cp1-5] (1)
- [cps1/1022] (1)
- [cpt4d-1] (1)
- [cr1/802] (1)
- [cr213-2ag] (1)
- [cr3/43] (1)
- [cr3009 03-009] (4)
- [cr3018 03-018] (4)
- [cr3022] (8)
- [crash/1289] (1)
- [crfg1] (1)
- [cris-1] (1)
- [cris-3] (1)
- [cris-7] (1)
- [cryo-1] (1)
- [csf3/900] (1)
- [ct-3] (6)
- [ct-4] (5)
- [ct-8] (7)
- [ct1] (4)
- [cta53-1] (1)
- [ctkn10-1] (1)
- [ctkn14-1] (1)
- [ctkn17-1] (1)
- [ctkn18-1] (1)
- [ctkn19-1] (1)
- [ctkn7-1] (1)
- [ctng/1483] (1)
- [ctng/1664] (1)
- [ctnnb1/1507] (1)
- [ctnnb1/1508] (1)
- [ctnnb1/1509] (1)
- [cvid3/155] (1)
- [cvid3/429] (1)
- [cykn8-1] (1)
- [d1-4g2-4-15 4g2] (2)
- [d11] (2)
- [d1l165-6] (1)
- [d2e7 adalimumab] (2)
- [d2f6] (3)
- [d665] (2)
- [d7715a7] (2)
- [d7] (7)
- [d7c2] (2)
- [d9302c12] (2)
- [d9d10] (2)
- [da2] (1)
- [da4-4 sa-da4 or hb57] (1)
- [da7] (1)
- [daclizumab] (2)
- [datk32] (10)
- [dave-2] (1)
- [db81] (2)
- [dc10] (1)
- [dcs-60.2] (1)
- [dcs-6] (1)
- [dcs-72.f6] (1)
- [des/1711] (1)
- [desire-1] (2)
- [df-b1] (1)
- [df-t1] (7)
- [df1513] (1)
- [df1524] (1)
- [df1588] (1)
- [dg1/1484] (1)
- [dg1/1485] (1)
- [dg1/1486] (1)
- [dg1/447] (1)
- [dhtr/882] (1)
- [dl-101] (2)
- [dnt27] (1)
- [do-7] (1)
- [dpp4/910] (1)
- [dreg-56] (4)
- [drnc1-1] (1)
- [dsg1/1733] (1)
- [dsg3/1535] (1)
- [dta-1] (10)
- [dx2] (6)
- [dx3] (7)
- [dx5] (6)
- [dx9] (3)
- [e0d3] (1)
- [e10] (2)
- [e11/19] (2)
- [e11] (6)
- [e1e5] (1)
- [e2-e3 or ins04] (1)
- [e67] (1)
- [e9b10] (1)
- [eat-2 eat2] (1)
- [ecd1-2] (1)
- [ecm1/792] (1)
- [edar12] (2)
- [edlp70] (1)
- [edm45] (1)
- [edu-2 b486] (2)
- [edu-2] (1)
- [egp40/1384] (1)
- [egp40/1555r] (1)
- [egp40/1556r] (1)
- [egp40/1798] (1)
- [elts3b-1] (1)
- [elts3b-2] (1)
- [em92] (2)
- [eng/1326] (1)
- [eng/1327] (1)
- [eno2/1375] (1)
- [eno2/1462] (1)
- [eos9.1] (2)
- [ep42] (4)
- [ep72] (4)
- [ep96] (4)
- [epm17-1] (1)
- [epm17-2] (1)
- [epm17-4] (1)
- [epm4072] (1)
- [epo/1367] (1)
- [epo/1368] (1)
- [epo104] (1)
- [er505] (1)
- [er506] (1)
- [erb2/776] (1)
- [erb455] (1)
- [erb59-1] (1)
- [erb7-1] (1)
- [ersv8-1] (1)
- [etad3-1] (1)
- [f1-2a8] (1)
- [f10-44-2] (8)
- [f10-89-4] (9)
- [f10] (1)
- [f12] (2)
- [f13a1/1448] (1)
- [f13a1/1683] (1)
- [f15-42-1] (1)
- [f1a8] (3)
- [f2-5f4] (1)
- [f21-21] (4)
- [f21-2] (4)
- [f27p3a4] (1)
- [f2c] (2)
- [f2g2] (1)
- [f3-4c9] (1)
- [f3.3] (2)
- [f38-2e2] (2)
- [f3b0] (1)
- [f3c10] (1)
- [f4-29d9] (1)
- [f4-2d7] (1)
- [f4-31c2] (1)
- [f43] (4)
- [f5b11] (1)
- [f5d] (1)
- [f6a9] (1)
- [f7c2] (1)
- [f7e4] (1)
- [f8 2.2.9] (1)
- [f8-11-13] (4)
- [f8/86] (1)
- [fab 83-7] (2)
- [fab92] (1)
- [fan55-1] (1)
- [fbxp5] (1)
- [fcd8] (4)
- [fcer1] (7)
- [fg322-3] (1)
- [fg35.4] (4)
- [fg369-1] (1)
- [fg98-6] (1)
- [fgf23/638] (1)
- [fgk45] (2)
- [fhba1-1] (1)
- [fhbp3-1] (1)
- [fib27] (2)
- [fib504] (2)
- [flg/1561] (1)
- [flg/1562] (1)
- [flt1/658] (1)
- [fltpb-1] (1)
- [flua-np 2c9] (1)
- [flua-np 4f1] (2)
- [fluac] (2)
- [flvi1-1] (1)
- [fmc63] (2)
- [fn50] (4)
- [foxa1/1241] (1)
- [foxa1/1512] (1)
- [foxa1/1514] (1)
- [foxa1/1515] (1)
- [foxa1/1518] (1)
- [foxa1/1519] (1)
- [fr10b4] (1)
- [fr4d11] (2)
- [fr70] (3)
- [fshr/1400] (1)
- [ft62-6] (1)
- [ft86-4] (1)
- [ftl/1386] (1)
- [ftl/1388] (1)
- [ftl/1389] (1)
- [ftlc1-1] (1)
- [fut4/1478r] (1)
- [fut4/815] (1)
- [fwp51] (2)
- [fxp3/197] (1)
- [g-1] (4)
- [g-23] (1)
- [g10f5] (5)
- [g1_4b6.3] (1)
- [g28-1] (2)
- [g28.5] (2)
- [g3.1] (1)
- [g3_4g10.3] (1)
- [g3h5] (1)
- [g4.18] (7)
- [g4e4] (1)
- [g5_4e11.3] (1)
- [g6_5c7.3] (1)
- [g7] (7)
- [g7_89.3] (1)
- [gal1/1831] (1)
- [gap259] (1)
- [garp5] (6)
- [ge2] (1)
- [gfa12-3] (1)
- [gfr/1708] (1)
- [gfr1195] (1)
- [gfr450] (1)
- [gh/1371] (1)
- [gh/1450] (1)
- [ghc07-1] (1)
- [ghi/61] (1)
- [gipg013] (2)
- [gjb1/1753] (1)
- [gk1.5] (32)
- [gl-1 gl1] (9)
- [gl-3] (1)
- [gl1] (8)
- [gl24] (3)
- [glg1/970] (1)
- [gnrhr/768] (1)
- [gp1.4] (1)
- [gp2/1712] (1)
- [gpc3/1534r] (1)
- [gpiiib/654] (1)
- [gr20] (2)
- [grhp1-1] (1)
- [grm1] (5)
- [groel/730] (1)
- [gypa/1725r] (1)
- [gypa/280] (1)
- [h-r3 nimotuzumab] (2)
- [h1.2f3] (18)
- [h18a] (1)
- [h22] (2)
- [h35-17.2] (4)
- [h4a3] (13)
- [h4b4] (5)
- [h57-597] (18)
- [h5e4] (1)
- [h7e8] (1)
- [h8b1] (1)
- [h9b4] (1)
- [h9e5] (1)
- [hacp5-1] (1)
- [hadi 773] (1)
- [has-4] (3)
- [hb-8592] (2)
- [hb14] (1)
- [hb15e] (4)
- [hb5] (4)
- [hb7] (2)
- [hbf-719] (5)
- [hbj127] (2)
- [hbnk2-1] (1)
- [hc1/1] (1)
- [hc2] (2)
- [hcam/918] (1)
- [hcga/53] (1)
- [hcgab/52] (1)
- [hcgb/211] (1)
- [hcgb/459] (1)
- [hcgb/54] (1)
- [hcm15-1] (1)
- [hd37] (2)
- [hd77] (2)
- [he-14] (1)
- [he-193] (1)
- [hea125] (2)
- [hea164] (2)
- [heb-20] (1)
- [heb-29] (1)
- [heca-452] (1)
- [hely-1] (1)
- [henv-10] (1)
- [henv-18] (1)
- [henv-1] (1)
- [henv-21] (1)
- [henv-26] (1)
- [henv-2] (1)
- [henv-32] (1)
- [henv-43] (1)
- [henv-9] (1)
- [heppar1] (1)
- [hermes -3] (1)
- [hermes-1] (2)
- [hfn7.1] (1)
- [hgr-2 f6] (1)
- [hh1/1784r] (1)
- [hhf35] (1)
- [hi100] (10)
- [hi111] (2)
- [hi149] (2)
- [hi30] (15)
- [hi98] (5)
- [hib19] (12)
- [hif1a-84] (1)
- [hip8] (2)
- [hisa43] (1)
- [hit2] (6)
- [hit3a] (7)
- [hit8a] (9)
- [hiv1-24/661] (1)
- [hj21] (1)
- [hk1.4] (4)
- [hk5.3] (2)
- [hl22 epratuzumab] (2)
- [hlt2736] (1)
- [hm40-3] (8)
- [hm47/a9] (1)
- [hm48-1] (3)
- [hm57] (1)
- [hm79-12] (5)
- [hm79-16] (2)
- [hma2] (2)
- [hmb1-1] (5)
- [hmb45] (1)
- [hmbt-6b2] (2)
- [hmfg2] (2)
- [hmg314] (1)
- [hmhv-1b18] (2)
- [hmj1-29] (2)
- [hmn3-133] (2)
- [hmpv] (1)
- [hnk-1 or leu-7] (1)
- [ho-80] (1)
- [ho36-1.1] (1)
- [hp-3g10] (11)
- [hp/212] (1)
- [hp6054] (1)
- [hp67.6 gemtuzumab] (2)
- [hpca1/1171] (1)
- [hpca1/1806r] (1)
- [hpca1/763] (1)
- [hpv16/1296] (1)
- [hrb2/258] (1)
- [hrb2/273] (1)
- [hrb2/282] (1)
- [hrb2/451] (1)
- [hrb2/718] (1)
- [hs101] (6)
- [hs201] (6)
- [hs301] (1)
- [hs402] (1)
- [hs501] (1)
- [hsa133] (1)
- [hsp90b1/1192] (1)
- [hspd1/875] (1)
- [hta125] (3)
- [hu1124 efalizumab] (2)
- [hu5c8 ruplizumab] (2)
- [hubr9.1] (4)
- [huly-m1] (1)
- [huly-m2] (1)
- [hunk2] (1)
- [hyb-8] (1)
- [i21/7] (6)
- [i3/2.3] (11)
- [ia761] (1)
- [ib10] (2)
- [ic14-30] (2)
- [icam3/1019] (1)
- [ico-106] (1)
- [ico-115] (1)
- [ico-116] (1)
- [ico-97] (1)
- [icrf44] (15)
- [id 177] (1)
- [idec-114 galiximab] (2)
- [idec-131 toralizumab] (2)
- [ie273] (1)
- [ie7] (2)
- [ifng/466] (1)
- [ig1707r] (1)
- [ig217] (1)
- [ig266] (1)
- [ig2838] (1)
- [ig507r] (1)
- [iga/1688r] (1)
- [iga/1790r] (1)
- [iga/515] (1)
- [iga/764] (1)
- [igel/1497r] (1)
- [igel/773] (1)
- [igf1/1020] (1)
- [ighg4/1345] (1)
- [ihcg4-1] (1)
- [ik22-5] (2)
- [ikb355] (1)
- [il33026b] (1)
- [il33305b] (2)
- [im260] (1)
- [im373] (1)
- [im7] (22)
- [in-1] (2)
- [invo49] (1)
- [ipo-24 zc37-24] (2)
- [ipo-24] (1)
- [ipo-38] (1)
- [ipo-t10] (1)
- [irdn/805] (1)
- [isa-3] (4)
- [it2.2] (2)
- [itgax/1284] (1)
- [itgb3/1713] (1)
- [ivrn/827] (1)
- [j1g53-3] (2)
- [j2d10] (1)
- [j43.1] (4)
- [j43] (2)
- [jc 159] (1)
- [jc12] (2)
- [jcb117] (1)
- [jes1-39d10] (3)
- [jes1-5a10] (2)
- [jes10-2e10] (2)
- [jes10-35g12] (1)
- [jes10-5a2] (2)
- [jes3-12g8] (2)
- [jes3-9d7] (2)
- [jes5-16e3] (4)
- [jes5-2a5] (4)
- [jes6-1a12] (3)
- [jes6-5h4] (10)
- [jj316] (2)
- [jj319] (2)
- [k1h7] (1)
- [k20] (2)
- [k2d5] (1)
- [k8.8] (1)
- [k8/383] (1)
- [kairos 108-4] (1)
- [kairos-1] (1)
- [kairos4-397g] (1)
- [kc3l-1] (1)
- [kdr721] (1)
- [ki-1/1505r] (1)
- [ki-1/1747r] (1)
- [ki-3] (2)
- [ki-4] (2)
- [kimmy-1] (1)
- [kimmy-2] (1)
- [kip1/769] (1)
- [kip2/880] (1)
- [kip27-1] (1)
- [kip57-1] (1)
- [kit2c75] (4)
- [klc1278] (1)
- [klc264] (1)
- [klc709] (1)
- [klk3/1248] (1)
- [klk3/801] (1)
- [km-2] (2)
- [km201] (7)
- [kn-03] (1)
- [kp10] (1)
- [krt10/1275] (1)
- [krt10/844] (1)
- [krt15/1699] (1)
- [krt18/1190] (1)
- [krt18/834] (1)
- [krt18/836] (1)
- [krt19/799] (1)
- [krt6/1702] (1)
- [krt7/1198] (1)
- [krt7/1499r] (1)
- [krt7/903] (1)
- [krt8.18/1346] (1)
- [krth/1076] (1)
- [krth/1576r] (1)
- [krtl/1077 + krth/1076] (1)
- [krtl/1577r] (1)
- [ks1/4] (2)
- [kscp2] (1)
- [ksul-1] (1)
- [ksup-1] (1)
- [ku729] (1)
- [kul01] (4)
- [kw-0761 mogamulizumab] (1)
- [l-1] (4)
- [l1-14.10] (2)
- [l1c1] (1)
- [l243] (1)
- [l55-81] (2)
- [lam03] (1)
- [lam34-1] (1)
- [lamp3/529] (1)
- [lchr37] (1)
- [lcn-2] (1)
- [ld2 sab] (2)
- [ld4 sab] (2)
- [lem-2/15] (1)
- [leu-m1 or mma] (1)
- [lg.3a10] (4)
- [lg.7f9] (1)
- [lh2] (1)
- [lha/756] (1)
- [lhcgr/1415] (1)
- [lhcgr/1416] (1)
- [lhcgr/1417] (1)
- [lhk15] (1)
- [lhk6] (1)
- [lise-1] (1)
- [liv3g11] (1)
- [lk1] (1)
- [lk2] (1)
- [lkap1-1] (1)
- [ll002] (1)
- [ll1 epb1] (2)
- [llc/1738] (1)
- [ln-2] (3)
- [ln-5] (1)
- [ln2] (5)
- [ln3] (7)
- [lnkb-2] (2)
- [lob12.3] (2)
- [lpsr/553] (1)
- [lpsr/654] (1)
- [lpsr/927] (1)
- [lt40] (6)
- [lt95] (1)
- [lu30] (2)
- [luke-1] (1)
- [lwy/1463] (1)
- [m-1] (6)
- [m-4] (2)
- [m/k-2] (5)
- [m0418] (2)
- [m1/69] (1)
- [m1/70.15] (1)
- [m1/70] (32)
- [m102.3] (1)
- [m102.4] (1)
- [m12.13] (1)
- [m123-11a] (1)
- [m15/8] (2)
- [m17/4] (3)
- [m18/2] (2)
- [m195] (2)
- [m2-7c10] (1)
- [m2-9e3] (1)
- [m2.1] (2)
- [m200 volociximab] (2)
- [m23] (1)
- [m2a1] (2)
- [m5/114.15.2] (11)
- [m66-4b] (1)
- [m85-2b] (1)
- [m9.d6] (2)
- [maaz2] (1)
- [mab 192] (1)
- [mab11] (6)
- [mab66] (1)
- [macif/1193] (1)
- [madi 04] (1)
- [madi 1147] (1)
- [mam82] (2)
- [mar-1] (2)
- [matuzumab] (2)
- [mb-1] (2)
- [mb19-1] (8)
- [mbs-12] (1)
- [mc5] (2)
- [mca-bh7] (1)
- [mcapl1] (1)
- [mcd30.1] (8)
- [mcm7/1466] (1)
- [mcm7/1467] (1)
- [mcm7/1468] (1)
- [mcm7/1469] (1)
- [mcn01-1] (1)
- [mda/929] (1)
- [mel-14] (21)
- [mem 188] (6)
- [mem-111] (1)
- [mem-48] (2)
- [mem-m6/2] (1)
- [mf23] (4)
- [mf9] (1)
- [mfg-06] (1)
- [mgbp2-1] (1)
- [mgn185] (1)
- [mh5a] (2)
- [mh9a4] (2)
- [mhdrb2] (1)
- [mhm24] (2)
- [mic2/1495r] (1)
- [mic2/877] (1)
- [michel17] (2)
- [mih26] (1)
- [mih4] (2)
- [minretumomab cc49 ] (2)
- [mj18] (2)
- [mj7/18] (6)
- [mlana/1409r] (1)
- [mlana/1761r] (1)
- [mlana/788] (1)
- [mm17f3] (2)
- [mm2/174] (7)
- [mm2/57] (4)
- [mmlp2-1] (1)
- [mmlp3-1] (1)
- [mmp2/1501] (1)
- [mn1a] (2)
- [mnac13] (2)
- [moc-52] (1)
- [mof11] (2)
- [mopc-21] (17)
- [mp1-22e9] (2)
- [mp1-31g6] (2)
- [mp2-43d11] (2)
- [mp2-8f8] (2)
- [mp4-25d2] (9)
- [mp5-20f3] (3)
- [mp5-32c11] (2)
- [mp6-xt22] (4)
- [mp6-xt3] (3)
- [mpaf3] (1)
- [mq2-13a5] (2)
- [mq2-39c3] (2)
- [mr1] (13)
- [mrb 46l] (1)
- [mres 06] (1)
- [mrk16] (2)
- [mrt3v] (1)
- [msi27-1] (1)
- [msn/491] (1)
- [msn/492] (1)
- [mssg95] (1)
- [mt-08] (1)
- [mt1/410] (1)
- [mt2.7] (2)
- [mt310] (2)
- [mtc02] (1)
- [mtc719] (1)
- [mtc754] (1)
- [mtl56] (1)
- [mts510] (2)
- [mtw-1] (2)
- [mubc10] (1)
- [muc1/845] (1)
- [muc1/955] (1)
- [muc1/967] (1)
- [muc3/1154] (1)
- [mucn2-1] (1)
- [mucn3-1] (1)
- [mucn5ac] (1)
- [mucn6-1] (1)
- [muhc2] (1)
- [mvh39-1] (1)
- [mwreg30] (4)
- [mx-49.129.5] (1)
- [my10] (2)
- [myc275] (1)
- [myg13] (1)
- [myup1] (1)
- [mz2e/838] (1)
- [n001] (1)
- [n002] (1)
- [n003] (1)
- [n004] (1)
- [n005] (1)
- [n006] (1)
- [n007] (1)
- [n008] (1)
- [n009] (1)
- [n010] (1)
- [n012] (1)
- [n013] (1)
- [n014] (1)
- [n015] (1)
- [n016] (1)
- [n10/2] (1)
- [n27] (1)
- [n39] (1)
- [n418] (21)
- [nah1.3] (1)
- [naipa-1] (1)
- [nalpy3-b] (2)
- [nap4] (1)
- [napsa/1239] (1)
- [natalizumab] (2)
- [ncam12.19] (2)
- [ncm102-1] (1)
- [ne.na] (1)
- [nf421] (1)
- [nf6] (2)
- [nfk8436] (1)
- [nib42] (6)
- [nick-1] (1)
- [nimp-r14] (3)
- [nimr-4] (7)
- [nimr-5] (7)
- [nk-1-c3] (2)
- [nk-1] (5)
- [nk2tf-1] (1)
- [nki-beteb] (1)
- [nl-1] (2)
- [nm106] (1)
- [nm95] (1)
- [nm97] (1)
- [nok-1] (6)
- [nox4/1245] (1)
- [np1189] (1)
- [np642] (1)
- [npc23-2] (1)
- [npsna-1] (1)
- [nr3ga-1] (1)
- [nr3ga-3] (1)
- [nr3gb-1] (1)
- [nras285] (1)
- [nsel1-1] (1)
- [nucm1-1] (1)
- [nx2.1/690] (1)
- [nx2/1422r] (1)
- [nx2/1523] (1)
- [nx2/1524] (1)
- [nx2/294] (1)
- [nyr-hi7] (1)
- [o10] (1)
- [o323] (13)
- [oca1/812] (1)
- [och1e5] (1)
- [odc1/485] (1)
- [odc1/486] (1)
- [odc1/487] (1)
- [oj79c] (1)
- [okt-3 muromonab] (2)
- [okt10] (2)
- [okt3] (15)
- [okt4] (14)
- [okt8] (15)
- [omni379] (2)
- [orn255-1] (1)
- [osht-2] (1)
- [oth-74d4] (1)
- [ov-tl 12/30] (2)
- [ov-tl12/30] (1)
- [ov9a2] (2)
- [ox-21] (1)
- [ox-24] (1)
- [ox108] (2)
- [ox117] (2)
- [p-gf.44c] (1)
- [p14] (1)
- [p1a6] (1)
- [p1a7] (1)
- [p1a9] (1)
- [p1b8] (1)
- [p1g5] (1)
- [p1h12] (2)
- [p282] (1)
- [p6007] (1)
- [p6017] (1)
- [p7/7] (2)
- [pab 122] (1)
- [pab 1801] (1)
- [pab421] (2)
- [pax6/1166] (1)
- [pax6/498] (1)
- [pax7/497] (1)
- [pax8/1491] (1)
- [pax8/1492] (1)
- [pbpx6] (1)
- [pbpx7] (1)
- [pc-61.5.3] (2)
- [pc10] (1)
- [pc3/188a] (1)
- [pc61.5] (15)
- [pcm25-1] (1)
- [pd203-1] (1)
- [pd7/26] (1)
- [pdcd1/1410r] (1)
- [pdpn/1433] (1)
- [pepy042_hmcp3] (1)
- [pepy051_hnt-4] (1)
- [pf105b] (1)
- [pf13-3] (1)
- [pf299-1] (1)
- [pgsr17] (1)
- [phe5] (1)
- [pip/1571] (1)
- [pk136] (21)
- [plgf/93] (1)
- [plgf94] (1)
- [plk1] (2)
- [pm441-1] (1)
- [pm6/13] (3)
- [pmab-1] (2)
- [pmac1-1] (1)
- [pmel/1825r] (1)
- [pnl2] (1)
- [po.3] (2)
- [po3.1] (2)
- [pp13/1161] (1)
- [pp13/1162] (1)
- [pp13/1164] (1)
- [pp13/1165] (1)
- [ppt3] (6)
- [pr484] (1)
- [pr500] (1)
- [pr501] (1)
- [prlr742] (1)
- [prpn2-1] (1)
- [prtm1-3] (1)
- [ps/2] (5)
- [ps1a9-1] (1)
- [ps1b1-1] (1)
- [psak3-1] (1)
- [psel.ko.2.5] (1)
- [psel.ko2.3] (2)
- [psgl1/1601] (1)
- [pspn1-1] (1)
- [pth/1717r] (1)
- [ptprc/1131] (1)
- [ptprc/1132] (1)
- [ptprc/1147] (1)
- [ptprc/1148] (1)
- [ptprc/1460] (1)
- [ptprc/1461] (1)
- [ptprc/1783r] (1)
- [ptprc/818] (1)
- [pv-1] (4)
- [py20] (7)
- [r-125224] (2)
- [r1-21.2] (2)
- [r1-2] (2)
- [r1-9.6] (2)
- [r10/99] (1)
- [r11/e1] (2)
- [r17 217.1.3] (2)
- [r1jhl] (1)
- [r4930 oxelumab] (2)
- [r5.21c] (1)
- [r57] (1)
- [r6his/6423] (1)
- [ra3-6b2] (35)
- [rab-c131] (2)
- [rab-c133] (2)
- [rab-c136] (2)
- [rab-c145] (2)
- [rab-c213] (2)
- [rab-c220] (2)
- [rab-c223] (2)
- [rab-c238] (2)
- [rab-c367] (2)
- [rab-c370] (2)
- [rab-c372] (2)
- [rab-c396] (2)
- [rab-c409] (2)
- [rab-c419] (2)
- [rab-s249] (2)
- [rab-s37] (2)
- [rab-s40] (2)
- [rac1] (1)
- [radi 264] (1)
- [ranky-1] (1)
- [ravb3] (1)
- [rb1/1754] (1)
- [rb6-8c5] (32)
- [rbd-2b9] (1)
- [rc-10] (2)
- [rck105] (1)
- [rck108] (1)
- [rdr34] (4)
- [rdr5] (2)
- [rft4] (12)
- [rft8] (13)
- [rg9-35] (2)
- [rh95] (1)
- [rho 1d4] (2)
- [rhpm-1 tocilizumab] (2)
- [ri7217] (5)
- [rippy-3] (1)
- [riv11] (3)
- [riv12] (1)
- [riv9] (1)
- [rl388] (2)
- [rlbd1] (1)
- [rm134l] (4)
- [rm153] (2)
- [rm2-5] (6)
- [rm27-3e5] (2)
- [rm4-5] (15)
- [rm80] (2)
- [rm9a4] (2)
- [rmak1-1] (1)
- [rmc20-1] (1)
- [rmcd31-1] (1)
- [rmcdn1-1] (1)
- [rmcn1-1] (1)
- [rmmrt1-1] (1)
- [rmnk2-1] (1)
- [rmoc-31] (1)
- [rmp1-14] (2)
- [rmpd1-1] (1)
- [rmt2-14] (2)
- [rmtnfa-1] (1)
- [rmwt1-1] (1)
- [rnf406] (1)
- [rnx864] (1)
- [rocky-2] (1)
- [rp159-1] (1)
- [rpa-2.10] (2)
- [rpa-t4] (18)
- [rpa-t8] (18)
- [rres 07] (1)
- [rshz19 felvizumab] (2)
- [rt97] (1)
- [rvs-10] (7)
- [rvu-1d9] (1)
- [s1-61] (1)
- [s100a1/1942] (1)
- [s100a4/1481] (1)
- [s100a4/1482] (1)
- [s100a9/1075] (1)
- [s100b/1012] (1)
- [s100b/1706r] (1)
- [s11b] (2)
- [s15g10] (1)
- [s1mt-2] (1)
- [s23mt-1] (1)
- [s2mt-1] (1)
- [s2r233-1] (1)
- [s3 12d] (2)
- [s309] (1)
- [s3c79] (1)
- [s3h2] (1)
- [s5/1] (2)
- [sa2-8] (3)
- [sa6279] (1)
- [sabn1-1] (1)
- [sacha-1] (1)
- [sacha-2] (1)
- [saic-01b-4d8] (1)
- [saic-02a-7] (1)
- [saic-07b-14] (1)
- [saic-07e-1] (1)
- [saic-13b-19] (1)
- [saic-14c-10f12] (1)
- [saic-16d-6b9] (1)
- [saic-19d-1f4] (1)
- [saic-21c-4] (1)
- [saic-22d-22] (1)
- [saic-23b-22] (1)
- [saic-23c-35] (1)
- [saic-23e-30] (1)
- [saic-24b-4] (2)
- [saic-25b-112] (1)
- [saic-26c-15] (2)
- [saic-27c-101] (2)
- [saic-28a-29] (1)
- [saic-28b-8] (1)
- [saic-30c-18] (1)
- [saic-31a-10] (1)
- [saic-32c-205] (1)
- [saic-33b-129] (1)
- [saic-34b-124] (1)
- [saic-34d-11] (1)
- [saic-36a-9] (1)
- [saic-37c-23] (1)
- [saic-40a-24] (1)
- [saic-40c-8] (1)
- [saic-41a-1] (1)
- [saic-42b-10] (1)
- [saic-43b-8] (1)
- [sarmy-1] (2)
- [sb-647] (1)
- [sb-84-8] (1)
- [sb118b] (2)
- [sb125a] (1)
- [sb126d] (2)
- [sb127j] (2)
- [sb129a] (1)
- [sb129e] (1)
- [sb134b] (1)
- [sb134f] (2)
- [sb15c] (1)
- [sb168a] (2)
- [sb37b] (3)
- [sb38b] (4)
- [sb39g] (3)
- [sb58c] (5)
- [sb61a] (1)
- [sb61b] (3)
- [sb91c] (1)
- [sb93a] (2)
- [sbstaga] (5)
- [sbx10-1] (1)
- [sbzap] (2)
- [sc05] (1)
- [scfv 180] (2)
- [se2] (2)
- [sema4d/933] (1)
- [ser4] (1)
- [sfl23.6] (1)
- [sgpa35] (1)
- [sgpn3-1] (1)
- [sj25-c1] (16)
- [sk7] (6)
- [sm1/495] (1)
- [sm23/496] (1)
- [sm3] (2)
- [smat2-1] (1)
- [smf] (2)
- [smm11-1] (1)
- [smms-1] (1)
- [smp22a] (1)
- [sn3] (4)
- [sn6] (6)
- [sox10/1074] (1)
- [sox10/991] (1)
- [sox2/1791] (1)
- [sox2/1792] (1)
- [sp10] (1)
- [sp12] (2)
- [sp185] (1)
- [sp18] (2)
- [sp422] (1)
- [sp6] (2)
- [sp8] (1)
- [spm106] (1)
- [spm107] (1)
- [spm125] (1)
- [spm128] (1)
- [spm129] (1)
- [spm130] (1)
- [spm132] (1)
- [spm139] (1)
- [spm141] (1)
- [spm142] (1)
- [spm144] (1)
- [spm145] (1)
- [spm148] (1)
- [spm150] (1)
- [spm160] (1)
- [spm165] (1)
- [spm166] (1)
- [spm169] (1)
- [spm174] (1)
- [spm176] (1)
- [spm180] (1)
- [spm181] (1)
- [spm187] (1)
- [spm188] (1)
- [spm190] (1)
- [spm192] (1)
- [spm198] (1)
- [spm201] (1)
- [spm203] (1)
- [spm213] (1)
- [spm217] (1)
- [spm221] (1)
- [spm222] (1)
- [spm223] (1)
- [spm246] (1)
- [spm248] (1)
- [spm250] (1)
- [spm252] (1)
- [spm253] (1)
- [spm256] (1)
- [spm257] (1)
- [spm259] (1)
- [spm260] (1)
- [spm261] (1)
- [spm262] (1)
- [spm263] (1)
- [spm265] (1)
- [spm268] (1)
- [spm269] (1)
- [spm279] (1)
- [spm282] (1)
- [spm286] (1)
- [spm291] (1)
- [spm296] (1)
- [spm297] (1)
- [spm298] (1)
- [spm306] (1)
- [spm308] (1)
- [spm310] (1)
- [spm312] (1)
- [spm313] (1)
- [spm314] (1)
- [spm320] (1)
- [spm322] (1)
- [spm330] (1)
- [spm332] (1)
- [spm333] (1)
- [spm334] (1)
- [spm335] (1)
- [spm336] (1)
- [spm339] (1)
- [spm342] (1)
- [spm347] (1)
- [spm348] (1)
- [spm350] (1)
- [spm352] (1)
- [spm353] (1)
- [spm354] (1)
- [spm356] (1)
- [spm357] (1)
- [spm360] (1)
- [spm375] (1)
- [spm379] (1)
- [spm381] (1)
- [spm395] (1)
- [spm405] (1)
- [spm406] (1)
- [spm427] (1)
- [spm442] (1)
- [spm453] (1)
- [spm468] (1)
- [spm487] (1)
- [spm489] (1)
- [spm492] (1)
- [spm501] (1)
- [spm503] (1)
- [spm504] (1)
- [spm505] (1)
- [spm506] (1)
- [spm507] (1)
- [spm508] (1)
- [spm510] (1)
- [spm512] (1)
- [spm513] (1)
- [spm515] (1)
- [spm520] (1)
- [spm522] (1)
- [spm523] (1)
- [spm524] (1)
- [spm528] (1)
- [spm529] (1)
- [spm530] (1)
- [spm531] (1)
- [spm532] (1)
- [spm533] (1)
- [spm536] (1)
- [spm537] (1)
- [spm538] (1)
- [spm539] (1)
- [spm540] (1)
- [spm541] (1)
- [spm542] (1)
- [spm543] (1)
- [spm544] (1)
- [spm545] (1)
- [spm546] (1)
- [spm547] (1)
- [spm548] (1)
- [spm549] (1)
- [spm550] (1)
- [spm551] (1)
- [spm552] (1)
- [spm553] (1)
- [spm554] (1)
- [spm555] (1)
- [spm556] (1)
- [spm557] (1)
- [spm558] (1)
- [spm559] (1)
- [spm560] (1)
- [spm561] (1)
- [spm562] (1)
- [spm563] (1)
- [spm564] (1)
- [spm565] (1)
- [spm566] (1)
- [spm567] (1)
- [spm568] (1)
- [spm569] (1)
- [spm570] (1)
- [spm571] (1)
- [spm572] (1)
- [spm573] (1)
- [spm574] (1)
- [spm575] (1)
- [spm576] (1)
- [spm577] (1)
- [spm578] (1)
- [spm579] (1)
- [spm580] (1)
- [spm581] (1)
- [spm582] (1)
- [spm583] (1)
- [spm584] (1)
- [spm585] (1)
- [spm587] (1)
- [spm588] (1)
- [spm589] (1)
- [spm590] (1)
- [spm591] (1)
- [spm594] (1)
- [spm596] (1)
- [spm598] (1)
- [spm600] (1)
- [spm603] (1)
- [spm607] (1)
- [spm609] (1)
- [spm610] (1)
- [spm611] (1)
- [spm612] (1)
- [spm615] (1)
- [spm617] (1)
- [spm618] (1)
- [spm622] (1)
- [spm623] (1)
- [spn/1766r] (1)
- [sptbn2/1582] (1)
- [sptbn2/1583] (1)
- [sptbn2/1584] (1)
- [spv-l3] (1)
- [srgp85] (1)
- [srpr27] (1)
- [srpr60] (1)
- [srpr90b] (1)
- [st33868] (1)
- [sta] (2)
- [sv5-p-k] (17)
- [sx53g8] (1)
- [syk-01] (1)
- [t1arg-1] (1)
- [t200/797] (1)
- [t21/8] (3)
- [t3-3a1] (1)
- [t3p1-c8] (1)
- [t3p1c4] (1)
- [t3p1d2] (1)
- [t3p1e1] (1)
- [t3p2d11] (1)
- [t3p3f4] (1)
- [t4p3-b5] (1)
- [t4p3-b7] (1)
- [t4p5-h12] (1)
- [t5p4-a12] (1)
- [t5p7-g10] (1)
- [t5p7-g12] (1)
- [t5p8-f9] (1)
- [t7-241] (1)
- [ta99] (3)
- [tab2] (2)
- [tagp-4] (1)
- [tan1-6] (2)
- [tan2-2] (2)
- [tau-5] (2)
- [tb21] (1)
- [tb28-2] (1)
- [tbo1] (4)
- [tc11-18h10] (3)
- [tc11-8h4] (3)
- [tcr-1] (4)
- [tcr-2] (4)
- [tcr-3] (5)
- [tdan4] (1)
- [tdp2/1258] (1)
- [tdr31.1] (1)
- [ter-119] (13)
- [tes-c21] (2)
- [tfgfa-1] (1)
- [tfrc/1396] (1)
- [tfrc/1817] (1)
- [tfrc/1818] (1)
- [tg157-2] (1)
- [tg86] (1)
- [tgb24] (1)
- [tgfa/1119] (1)
- [thbd/1591] (1)
- [thbd/1782] (1)
- [ti 142f] (1)
- [tk8-14] (2)
- [tks-1] (2)
- [tl2.1] (6)
- [tlr2/221] (1)
- [tlr3.7] (2)
- [tlr4/230] (1)
- [tlrm1-1] (1)
- [tmda1-1] (1)
- [tms715] (1)
- [top1mt/488] (1)
- [top2a/1361] (1)
- [top2a/1362] (1)
- [tox3/1123] (1)
- [tp53/1799r] (1)
- [tpimt-1] (1)
- [tpm2a-1] (1)
- [tpm2a-2] (1)
- [tpmp29-1] (1)
- [tr1.02] (1)
- [tr2.21] (1)
- [tr3.06] (1)
- [tr9541] (1)
- [tra-8] (2)
- [trfk4] (2)
- [trfk5] (2)
- [tria1-1] (1)
- [trim29/1041] (1)
- [trp/816] (1)
- [trsn1-1] (1)
- [ts106] (1)
- [ts1] (1)
- [ts2/16] (4)
- [tshra/1402] (1)
- [tshrb/1405] (1)
- [tteb3] (1)
- [tu-20] (1)
- [tv-1] (1)
- [tw4.20] (2)
- [ty25] (3)
- [tyrp1/807] (1)
- [tyrr1-1] (1)
- [tysy9] (1)
- [tü1] (3)
- [uaca/1222] (1)
- [ubce-l1] (1)
- [uc10-4f10-11] (8)
- [uc7-13d5] (5)
- [uchl-1] (1)
- [uchl1] (10)
- [uchm-1] (5)
- [ucht1] (35)
- [ucht2] (12)
- [ucht4] (4)
- [uic2] (2)
- [uj127] (1)
- [um-a9] (1)
- [um4d4] (1)
- [um7f8] (1)
- [umcd2] (1)
- [ut41] (1)
- [v14/2] (2)
- [v92.1] (1)
- [vegf/1063] (1)
- [vegi/1283] (1)
- [vg76e] (2)
- [vgfa-1] (1)
- [vgr1t-1] (1)
- [vi-pl2] (6)
- [vicky-1] (1)
- [vil1/1314] (1)
- [vil1/1325] (1)
- [vim66-1] (1)
- [vldlr/1337] (1)
- [vlpr-1] (1)
- [vp63] (1)
- [vwf/1465] (1)
- [vwf/1767] (1)
- [vwf/1859r] (1)
- [vwf635] (1)
- [wa-1] (1)
- [waf21-1] (1)
- [wfa52-2] (1)
- [wlmt1-1] (1)
- [wm15] (2)
- [wm53] (9)
- [wm59] (9)
- [wo2] (1)
- [wr17] (2)
- [wt1/1434r] (1)
- [wt1/857] (1)
- [xmg1.2] (18)
- [y2/51] (1)
- [yb5.b8] (2)
- [ydbyt 208.3] (1)
- [ydc 127.1.1] (2)
- [ygitr 860.103.5] (1)
- [ygitr765] (2)
- [ygl386] (2)
- [yil7r323] (2)
- [yli-90] (4)
- [ymf323.6] (2)
- [yn1/1.7.4] (6)
- [ynb46.1.8 campath-9h] (2)
- [yth 12.5] (2)
- [yth 34.5-g2b campath-1g] (3)
- [yth 655] (2)
- [yts 105.18] (2)
- [yts 156.7.7] (2)
- [yts 169.4] (2)
- [zagy-1] (1)
- [zippy-1] (1)
- [zl7-4] (2)
- [ztp70-1] (1)
Application
- AM (5)
- Activation (20)
- Activity Assay (25)
- Adhesion (14)
- Blocking (5494)
- CLIA (157)
- CM (3)
- CMCD (27)
- COSTIM (26)
- Cell Separation (41)
- ChIP (99)
- Control (95)
- Crystallography (21)
- Cytotoxic Assay (17)
- DOT (4)
- Depletion (54)
- EIA (51)
- ELISA (14692)
- EM (25)
- Enzyme Assay (1)
- Epitope Tagging (2)
- Ex vivo (2)
- FA (316)
- FC (6140)
- FLISA (88)
- FSEC (2)
- Functional Studies (18)
- IA (6)
- IB (4)
- ICC (1044)
- IEM (3)
- IF (6936)
- IHC (7246)
- IHC-Fr (636)
- IHC-P (5596)
- IP (1301)
- In vivo (16)
- LF (159)
- MS (19)
- Multiplex Assay (35)
- NeA (265)
- Nucleotide Array (1)
- PLA (1)
- Pull-down Assay (1)
- RIA (38)
- RID (1)
- RNA-I (1)
- SBR (1)
- SDS-PAGE (15)
- SPR (4)
- Stim (20)
- TLC (2)
- WB (32435)
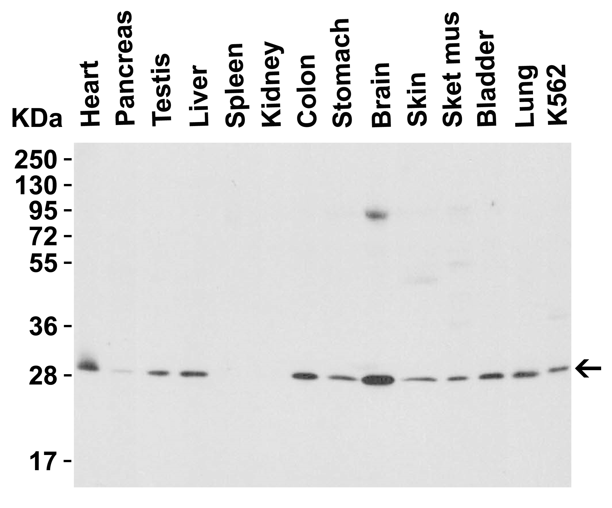
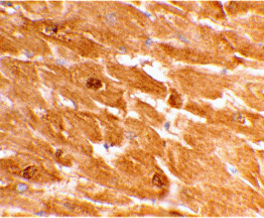
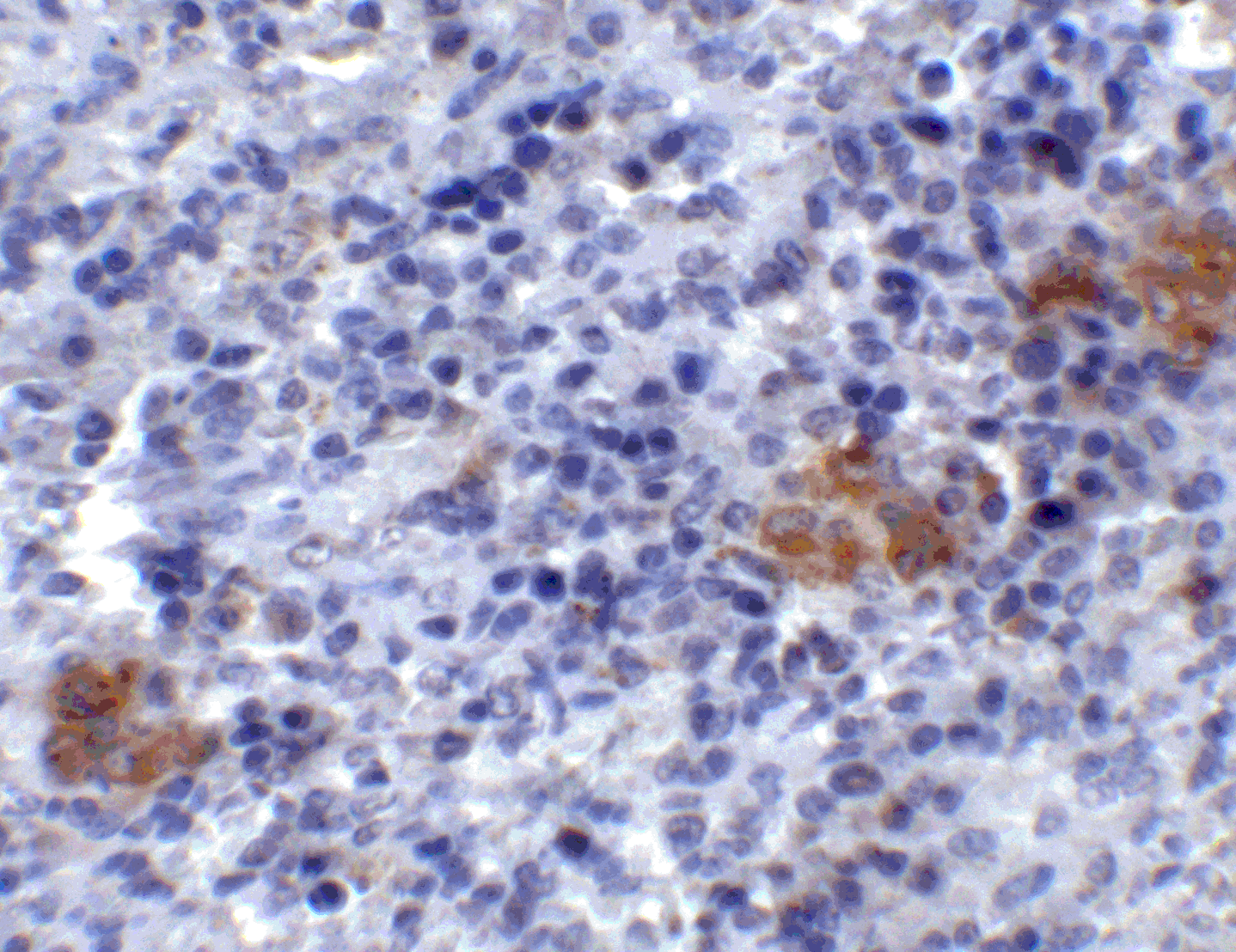
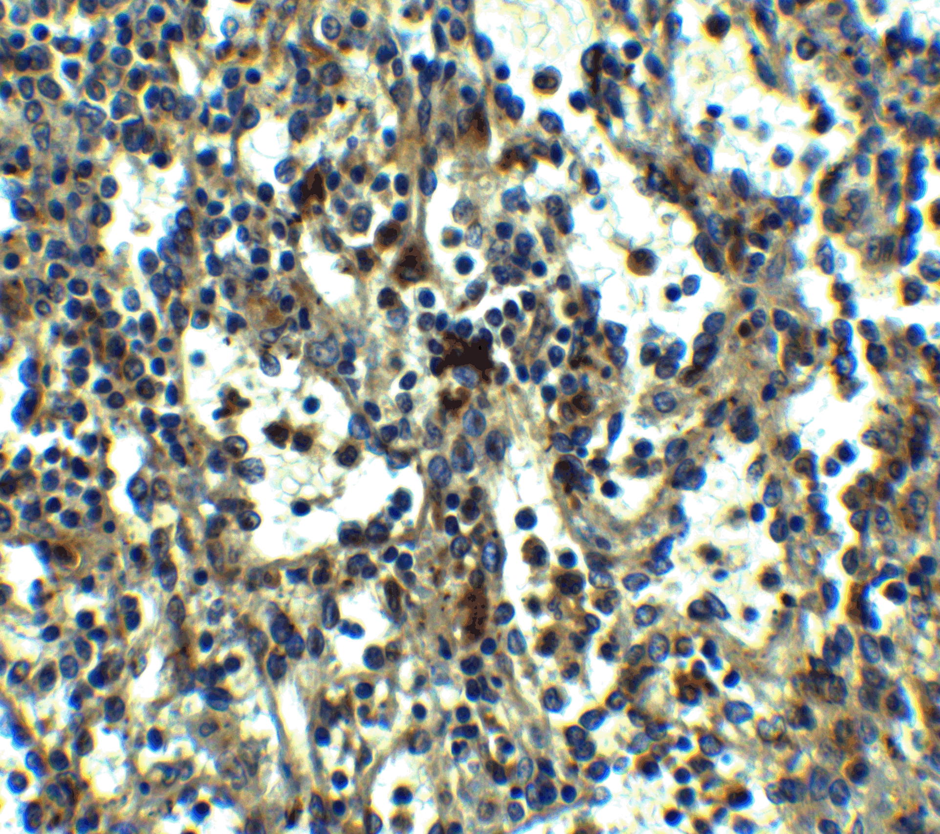
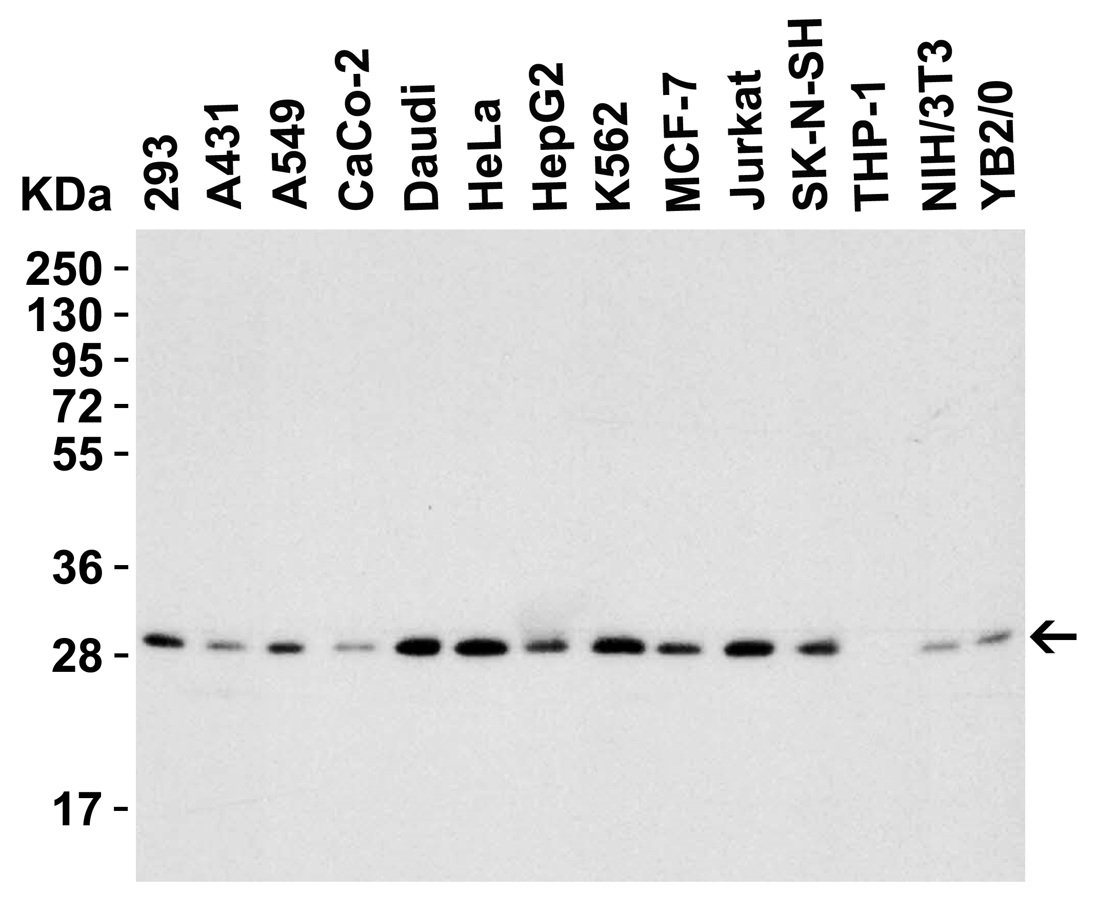
TRIM10 Antibody, Unconjugated, Rabbit, Polyclonal
- Images: 9
- Applications: 2
| Biozol Catalog Number: | PRS-28-088 |
| Manufacturer: | ProSci |
| Application: | ELISA, WB |
| Category: | Antikörper |
| Size: | 100 µl |
| Show Prices | |
(9) Images
LAS1L Antibody, Unconjugated, Rabbit, Polyclonal
- Images: 9
- Applications: 2
| Biozol Catalog Number: | PRS-28-149 |
| Manufacturer: | ProSci |
| Application: | ELISA, WB |
| Category: | Antikörper |
| Size: | 100 µl |
| Show Prices | |
(9) Images
PUMA Antibody, Unconjugated, Rabbit, Polyclonal
- Images: 9
- Applications: 4
| Biozol Catalog Number: | PRS-3041 |
| Manufacturer: | ProSci |
| Application: | ELISA, ICC, IF, WB |
| Category: | Antikörper |
| Size: | 0.02 mg, 0.1 mg |
| Show Prices | |
(9) Images
PHAP I Antibody, Unconjugated, Rabbit, Polyclonal
- Images: 9
- Applications: 4
| Biozol Catalog Number: | PRS-3145 |
| Manufacturer: | ProSci |
| Application: | ELISA, ICC, IF, WB |
| Category: | Antikörper |
| Size: | 0.02 mg, 0.1 mg |
| Show Prices | |
(9) Images
PHAP I Antibody, Unconjugated, Rabbit, Polyclonal
- Images: 9
- Applications: 4
| Biozol Catalog Number: | PRS-3151 |
| Manufacturer: | ProSci |
| Application: | ELISA, IF, IHC-P, WB |
| Category: | Antikörper |
| Size: | 0.02 mg, 0.1 mg |
| Show Prices | |
(9) Images
Caspase-12 Antibody (Large), Unconjugated, Rabbit, Polyclonal
- Images: 9
- Applications: 4
| Biozol Catalog Number: | PRS-3195 |
| Manufacturer: | ProSci |
| Application: | ELISA, IF, IHC-P, WB |
| Category: | Antikörper |
| Size: | 0.02 mg, 0.1 mg |
| Show Prices | |
(9) Images
ACE2 Antibody, Unconjugated, Rabbit, Polyclonal
- Images: 9
- Applications: 4
| Biozol Catalog Number: | PRS-3215 |
| Manufacturer: | ProSci |
| Application: | ELISA, IF, IHC-P, WB |
| Category: | Antikörper |
| Size: | 0.02 mg, 0.1 mg |
| Show Prices | |
(9) Images
TLR3 Antibody, Unconjugated, Rabbit, Polyclonal
- Images: 9
- Applications: 5
| Biozol Catalog Number: | PRS-3643 |
| Manufacturer: | ProSci |
| Application: | ELISA, ICC, IF, IHC-P, WB |
| Category: | Antikörper |
| Size: | 0.02 mg, 0.1 mg |
| Show Prices | |
(9) Images
TIP47 Antibody, Unconjugated, Rabbit, Polyclonal
- Images: 9
- Applications: 3
| Biozol Catalog Number: | PRS-3883 |
| Manufacturer: | ProSci |
| Application: | ELISA, IHC-P, WB |
| Category: | Antikörper |
| Size: | 0.02 mg, 0.1 mg |
| Show Prices | |
(9) Images
TSLP Antibody, Unconjugated, Rabbit, Polyclonal
- Images: 9
- Applications: 4
| Biozol Catalog Number: | PRS-4023 |
| Manufacturer: | ProSci |
| Application: | ELISA, IF, IHC-P, WB |
| Category: | Antikörper |
| Size: | 0.02 mg, 0.1 mg |
| Show Prices | |
(9) Images
